Telefon:
+49 (0)241 95 163 153
Fax:
+49 (0)241 95 163 155
E-Mail:
orders@antikoerper-online.de

FXYD1 Antikörper

(FXYD Domain Containing Ion Transport Regulator 1 (FXYD1))

Wählen Sie einen von 85 FXYD1-Antikörpern aus unserem Produktangebot basierend auf 1 Publikation und 13 Validierungsbilder.

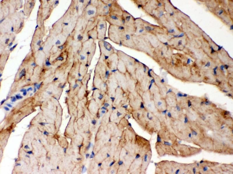
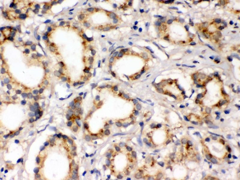
Entdecken Sie zuverlässige FXYD1-Antikörper von einer großen Zahl namhafter Hersteller. Unser Portfolio ermöglicht eine präzise FXYD1-Detektion in verschiedenen Spezies, darunter Human, Mouse, Rat, Cow, Dog, Pig, Guinea Pig, Horse, Rabbit, und unterstützt vielfältige Forschungsanwendungen wie WB, IF (cc), IF (p), ELISA, IHC (fro).

Finden Sie schnell den passenden Antikörper mit unseren Such-, Filter- und Vergleichsfunktionen. Auf jeder Produktseite stehen Ihnen detaillierte Validierungsdaten, Literaturreferenzen und Kundenbewertungen zur Verfügung. Im Gegensatz zu reinen Vergleichsportalen können Sie Ihre Antikörper direkt über unsere Plattform erwerben. Wählen Sie aus polyklonalen, monoklonalen oder rekombinanten FXYD1-Antikörpern aus verschiedenen Wirtsarten wie Rabbit, Mouse. Durchstöbern Sie unten unsere Auswahl an FXYD1-Antikörpern und bestellen Sie direkt, um Ihre Forschung effizient voranzubringen.

Alternative Bezeichnungen für FXYD1 sind FXYD1, Fxyd1.

85 Treffer

FXYD1 Reaktivität: Human, Maus, Ratte WB, ELISA, IHC Wirt: Kaninchen Polyclonal unconjugated
Produktnummer ABIN7236228
449,00 €
Zzgl. Versandkosten 20,00 € und MwSt
200 μL (Weitere Mengeneinheiten)
Lieferung nach: Deutschland
Lieferung in 9 bis 13 Werktagen
 
FXYD1 Reaktivität: Human, Maus, Ratte WB, IHC Wirt: Kaninchen Polyclonal unconjugated
Produktnummer ABIN3043831
500,50 €
Zzgl. Versandkosten 20,00 € und MwSt
100 μg
Lieferung nach: Deutschland
Lieferung in 8 bis 12 Werktagen
 
FXYD1 Reaktivität: Maus WB Wirt: Kaninchen Polyclonal RB0857 unconjugated
Pubmed 1 reference
Produktnummer ABIN1882173
434,77 €
Zzgl. Versandkosten 20,00 € und MwSt
400 μL (Weitere Mengeneinheiten)
Lieferung nach: Deutschland
Lieferung in 14 bis 17 Werktagen
 
FXYD1 Reaktivität: Ratte WB Wirt: Kaninchen Polyclonal RB49520 unconjugated
Produktnummer ABIN6242339
434,77 €
Zzgl. Versandkosten 20,00 € und MwSt
400 μL (Weitere Mengeneinheiten)
Lieferung nach: Deutschland
Lieferung in 14 bis 17 Werktagen
 
FXYD1 Reaktivität: Maus WB Wirt: Maus Monoclonal 41AT858-235 unconjugated
Produktnummer ABIN387765
434,77 €
Zzgl. Versandkosten 20,00 € und MwSt
400 μL (Weitere Mengeneinheiten)
Lieferung nach: Deutschland
Lieferung in 14 bis 17 Werktagen
 
FXYD1 Reaktivität: Human WB Wirt: Kaninchen Polyclonal unconjugated
Produktnummer ABIN7267278
320,00 €
Zzgl. Versandkosten 20,00 € und MwSt
100 μL (Weitere Mengeneinheiten)
Lieferung nach: Deutschland
Lieferung in 7 bis 9 Werktagen
 
FXYD1 Reaktivität: Human WB, IF (cc), IF (p) Wirt: Kaninchen Polyclonal AbBy Fluor® 750
Produktnummer ABIN5002980
426,37 €
Zzgl. Versandkosten 20,00 € und MwSt
100 μL
Lieferung nach: Deutschland
Lieferung in 20 bis 25 Werktagen
 
FXYD1 Reaktivität: Human WB, IF (cc), IF (p) Wirt: Kaninchen Polyclonal AbBy Fluor® 680
Produktnummer ABIN5002979
426,37 €
Zzgl. Versandkosten 20,00 € und MwSt
100 μL
Lieferung nach: Deutschland
Lieferung in 20 bis 25 Werktagen
 
FXYD1 Reaktivität: Human WB, IF (cc), IF (p) Wirt: Kaninchen Polyclonal AbBy Fluor® 750
Produktnummer ABIN5002978
426,37 €
Zzgl. Versandkosten 20,00 € und MwSt
100 μL
Lieferung nach: Deutschland
Lieferung in 20 bis 25 Werktagen
 
FXYD1 Reaktivität: Human WB, IF (cc), IF (p) Wirt: Kaninchen Polyclonal AbBy Fluor® 680
Produktnummer ABIN5002977
426,37 €
Zzgl. Versandkosten 20,00 € und MwSt
100 μL
Lieferung nach: Deutschland
Lieferung in 20 bis 25 Werktagen
 
FXYD1 Reaktivität: Human WB, IF (cc), IF (p) Wirt: Kaninchen Polyclonal AbBy Fluor® 680
Produktnummer ABIN5002975
426,37 €
Zzgl. Versandkosten 20,00 € und MwSt
100 μL
Lieferung nach: Deutschland
Lieferung in 20 bis 25 Werktagen
 
FXYD1 Reaktivität: Human WB, IF (cc), IF (p) Wirt: Kaninchen Polyclonal AbBy Fluor® 750
Produktnummer ABIN5002976
426,37 €
Zzgl. Versandkosten 20,00 € und MwSt
100 μL
Lieferung nach: Deutschland
Lieferung in 20 bis 25 Werktagen
 
FXYD1 Reaktivität: Human WB, FACS, IF Wirt: Kaninchen Polyclonal unconjugated
Produktnummer ABIN7666798
636,00 €
Zzgl. Versandkosten 20,00 € und MwSt
100 μg
Lieferung nach: Deutschland
Lieferung in 8 bis 9 Werktagen
 
FXYD1 Reaktivität: Human WB, ELISA, IHC Wirt: Kaninchen Polyclonal unconjugated
Produktnummer ABIN7569394
527,38 €
Zzgl. Versandkosten 20,00 € und MwSt
100 μg
Lieferung nach: Deutschland
Lieferung in 10 bis 13 Werktagen
 
FXYD1 Reaktivität: Human WB, ELISA, IHC (p), IHC (fro) Wirt: Kaninchen Polyclonal HRP
Produktnummer ABIN800772
437,53 €
Zzgl. Versandkosten 20,00 € und MwSt
100 μL
Lieferung nach: Deutschland
Lieferung in 20 bis 25 Werktagen
 
FXYD1 Reaktivität: Human WB, IF (cc), IF (p) Wirt: Kaninchen Polyclonal FITC
Produktnummer ABIN800770
437,53 €
Zzgl. Versandkosten 20,00 € und MwSt
100 μL
Lieferung nach: Deutschland
Lieferung in 20 bis 25 Werktagen
 
FXYD1 Reaktivität: Human WB, IF (cc), IF (p) Wirt: Kaninchen Polyclonal Cy5.5
Produktnummer ABIN800768
437,53 €
Zzgl. Versandkosten 20,00 € und MwSt
100 μL
Lieferung nach: Deutschland
Lieferung in 20 bis 25 Werktagen
 
FXYD1 Reaktivität: Human WB, IF (cc), IF (p) Wirt: Kaninchen Polyclonal Cy5
Produktnummer ABIN800767
437,53 €
Zzgl. Versandkosten 20,00 € und MwSt
100 μL
Lieferung nach: Deutschland
Lieferung in 20 bis 25 Werktagen
 
FXYD1 Reaktivität: Human WB, IF (cc), IF (p) Wirt: Kaninchen Polyclonal Cy7
Produktnummer ABIN800769
437,53 €
Zzgl. Versandkosten 20,00 € und MwSt
100 μL
Lieferung nach: Deutschland
Lieferung in 20 bis 25 Werktagen
 
FXYD1 Reaktivität: Human WB, ELISA, IF (cc), IF (p), IHC (p), IHC (fro) Wirt: Kaninchen Polyclonal unconjugated
Produktnummer ABIN800763
357,70 €
Zzgl. Versandkosten 20,00 € und MwSt
100 μL
Lieferung nach: Deutschland
Lieferung in 8 bis 12 Werktagen
 
  • Typ Primary
    • Primary
  • Anwendung
    • Western Blotting (WB)
    • Immunofluorescence (Cultured Cells) (IF (cc))
    • Immunofluorescence (Paraffin-embedded Sections) (IF (p))
    • ELISA
    • Immunohistochemistry (Frozen Sections) (IHC (fro))
    • Immunohistochemistry (Paraffin-embedded Sections) (IHC (p))
    • Immunohistochemistry (IHC)
    • Immunoprecipitation (IP)
    • Enzyme Immunoassay (EIA)
    • Flow Cytometry (FACS)
    • Immunocytochemistry (ICC)
    • Immunodiffusion (ID)
    • Immunofluorescence (IF)
  • Reaktivität
    • Human
    • Mouse
    • Rat
    • Cow
    • Dog
    • Pig
    • Guinea Pig
    • Horse
    • Rabbit
  • In Publikationen zitiert
  • Abbildungen verfügbar
  • Nur ohne Konservierungsmittel
  • Carrier free only
  • Wirt
    • Rabbit
    • Mouse
  • Klonalität
    • Polyclonal
    • Monoclonal
  • Klon
    • 41AT858-235
    • RB0857
    • RB49520
  • Bindungsspezifität
    • pSer88
    • AA 21-75
    • pSer83
    • AA 57-92
    • Ser68
    • AA 21-92
    • N-Term
    • pSer68
    • AA 69-101
    • AA 1-92
    • AA 21-57
    • C-Term
    • Center
    • Phosphospecific
  • Konjugat
    • Unkonjugiert
    • Biotin
    • FITC
    • HRP
    • AbBy Fluor® 350
    • AbBy Fluor® 488
    • AbBy Fluor® 555
    • AbBy Fluor® 594
    • AbBy Fluor® 647
    • AbBy Fluor® 680
    • AbBy Fluor® 750
    • Cy3
    • Cy5
    • Cy5.5
    • Cy7
    • PE
    • APC
    • Alexa Fluor 488
    • Alexa Fluor 555
    • Alexa Fluor 594
    • Alexa Fluor 647
    • Alexa Fluor 680
    • Alexa Fluor 750
    • PE-Cy5
    • PE-Cy5.5
    • PE-Cy7
  • Isotyp
    • IgG
    • IgG1
    • Ig Fraction
  • Format
    • Liquid
    • Lyophilized
  • Hersteller
    • antibodies-online
    • Signalway
    • Cohesion Biosciences
    • Abbexa
    • Acris
    • Aviva Systems Biology
    • Boster Bio
    • ProteoGenix
    • USBio
    • Wuhan Fine biotech

Aktuelle Publikationen für unsere FXYD1 Antikörper

Wang, Gao, Song, Zhang, Li, Koch, Tucker, Philipson, Chan, Feldman, Cheung: "Phospholemman and beta-adrenergic stimulation in the heart." in: American journal of physiology. Heart and circulatory physiology, Vol. 298, Issue 3, pp. H807-15, (2010) (PubMed).

Garcia-Rudaz, Deng, Matagne, Ronnekleiv, Bosch, Han, Percy, Ojeda: "FXYD1, a modulator of Na,K-ATPase activity, facilitates female sexual development by maintaining gonadotrophin-releasing hormone neuronal excitability." in: Journal of neuroendocrinology, Vol. 21, Issue 2, pp. 108-22, (2009) (PubMed).

Han, Tucker, Lingrel, Despa, Bers: "Extracellular potassium dependence of the Na+-K+-ATPase in cardiac myocytes: isoform specificity and effect of phospholemman." in: American journal of physiology. Cell physiology, Vol. 297, Issue 3, pp. C699-705, (2009) (PubMed).

Nakajima-Takenaka, Zhang, Obata, Tohne, Matsuyoshi, Nagai, Nishiyama, Takaki: "Left ventricular function of isoproterenol-induced hypertrophied rat hearts perfused with blood: mechanical work and energetics." in: American journal of physiology. Heart and circulatory physiology, Vol. 297, Issue 5, pp. H1736-43, (2009) (PubMed).

Aliase für FXYD1 Antikörper

FXYD domain containing ion transport regulator 1 (FXYD1) Antikörper
FXYD domain-containing ion transport regulator 1 (Fxyd1) Antikörper
0610012C17Rik Antikörper
1110006M24Rik Antikörper
PLM Antikörper
Plm Antikörper
Pml Antikörper
Sie sind hier:
Chat with us!