Telefon:
+49 (0)241 95 163 153
Fax:
+49 (0)241 95 163 155
E-Mail:
orders@antikoerper-online.de

SKP1 Antikörper

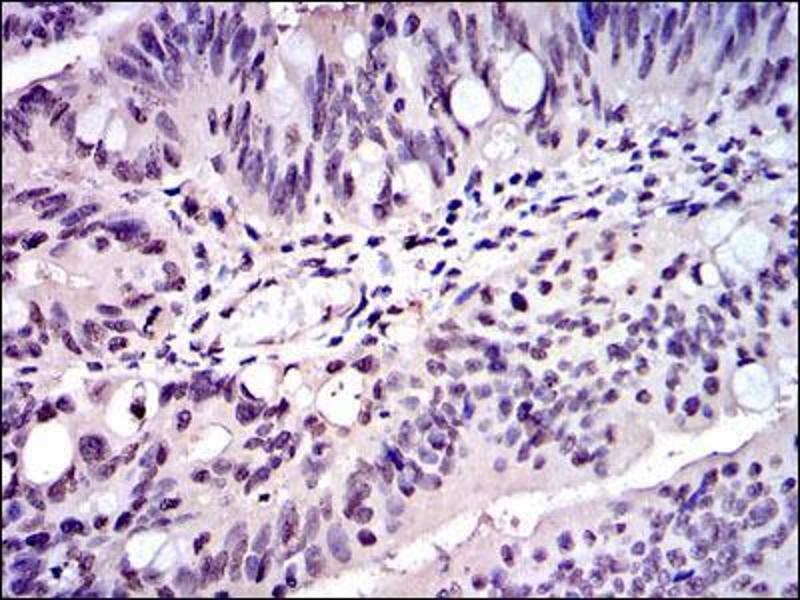
Dieser Maus Monoklonal Antikörper detektiert spezifisch SKP1 in WB, ELISA, IHC, ICC und FACS. Es zeigt Reaktivität gegenüber Proben von Human.Es wurde in 1 Publikation zitiert.
Produktnummer ABIN969397
657,84 €
Zzgl. Versandkosten 20,00 € und MwSt
100 μL
Lieferung nach: Deutschland
Lieferung in 7 bis 10 Werktagen

Kurzübersicht für SKP1 Antikörper (ABIN969397)

Target

Alle SKP1 Antikörper anzeigen
SKP1 (S-Phase Kinase-Associated Protein 1 (SKP1))

Reaktivität

  • 72
  • 61
  • 59
  • 5
  • 4
  • 3
  • 2
  • 2
  • 1
  • 1
  • 1
  • 1
  • 1
  • 1
Human

Wirt

  • 82
  • 5
Maus

Klonalität

  • 53
  • 34
Monoklonal

Konjugat

  • 32
  • 7
  • 4
  • 4
  • 4
  • 4
  • 4
  • 4
  • 4
  • 3
  • 2
  • 2
  • 1
  • 1
  • 1
  • 1
  • 1
  • 1
  • 1
  • 1
  • 1
  • 1
  • 1
  • 1
  • 1
Dieser SKP1 Antikörper ist unkonjugiert

Applikation

  • 66
  • 26
  • 24
  • 13
  • 13
  • 12
  • 12
  • 11
  • 7
  • 3
  • 2
  • 1
  • 1
  • 1
  • 1
Western Blotting (WB), ELISA, Immunohistochemistry (IHC), Immunocytochemistry (ICC), Flow Cytometry (FACS)

Klon

4E11
  • Verwendungszweck

    SKP1 Antibody

    Aufreinigung

    Ascitic fluid

    Immunogen

    Purified recombinant fragment of human SKP1 expressed in E. Coli.

    Isotyp

    IgG1
  • Applikationshinweise

    ELISA: 1/10000

    FCM: 1/200 - 1/400

    ICC: 1/200 - 1/1000

    Beschränkungen

    Nur für Forschungszwecke einsetzbar
  • Format

    Liquid

    Buffer

    Ascitic fluid containing 0.03 % sodium azide.

    Konservierungsmittel

    Sodium azide

    Vorsichtsmaßnahmen

    This product contains Sodium azide: a POISONOUS AND HAZARDOUS SUBSTANCE which should be handled by trained staff only.

    Lagerung

    4 °C,-20 °C

    Informationen zur Lagerung

    Store at 4°C short term. Aliquot and store at -20°C long term. Avoid freeze/thaw cycles.
  • Werden, Lanchbury, Shattuck, Neff, Dufford, McFadden: "The myxoma virus m-t5 ankyrin repeat host range protein is a novel adaptor that coordinately links the cellular signaling pathways mediated by Akt and Skp1 in virus-infected cells." in: Journal of virology, Vol. 83, Issue 23, pp. 12068-83, (2009) (PubMed).

  • Target

    SKP1 (S-Phase Kinase-Associated Protein 1 (SKP1))

    Andere Bezeichnung

    SKP1

    Hintergrund

    This gene encodes a component of SCF complexes, which are composed of this protein, cullin 1, a ring-box protein, and one member of the F-box family of proteins. This protein binds directly to the F-box motif found in F-box proteins. SCF complexes are involved in the regulated ubiquitination of specific protein substrates, which targets them for degradation by the proteosome. Specific F-box proteins recognize different target protein(s), and many specific SCF substrates have been identified including regulators of cell cycle progression and development. Studies have also characterized the protein as an RNA polymerase II elongation factor. Alternative splicing of this gene results in two transcript variants. A related pseudogene has been identified on chromosome 7.

    Molekulargewicht

    19 kDa

    UniProt

    P63208

    Pathways

    Zellzyklus, Hedgehog Signalweg, Mitotic G1-G1/S Phases
Sie sind hier:
Chat with us!