Telefon:
+49 (0)241 95 163 153
Fax:
+49 (0)241 95 163 155
E-Mail:
orders@antikoerper-online.de

EPH Receptor B4 Antikörper

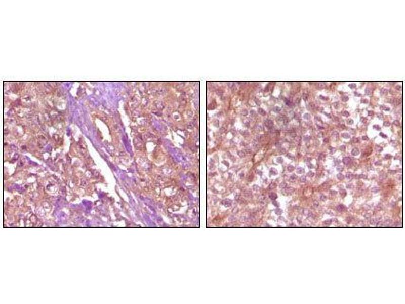
Es sind 2+ Publikationen für dieses Produkt verfügbar. Der Maus Monoklonal anti-EPH Receptor B4 Antikörper wird verwendet zum Nachweis von EPH Receptor B4 in Proben von Human. Er wurde validiert für ELISA und IHC.
Produktnummer ABIN969107
267,01 €
Zzgl. Versandkosten 20,00 € und MwSt
100 μL
Lieferung nach: Deutschland
Lieferung in 7 bis 10 Werktagen

Kurzübersicht für EPH Receptor B4 Antikörper (ABIN969107)

Target

Alle EPH Receptor B4 (EPHB4) Antikörper anzeigen
EPH Receptor B4 (EPHB4)

Reaktivität

  • 56
  • 30
  • 2
  • 2
  • 1
Human

Wirt

  • 42
  • 24
  • 5
Maus

Klonalität

  • 39
  • 32
Monoklonal

Konjugat

  • 46
  • 4
  • 3
  • 2
  • 2
  • 2
  • 2
  • 2
  • 2
  • 2
  • 2
  • 2
Dieser EPH Receptor B4 Antikörper ist unkonjugiert

Applikation

  • 47
  • 30
  • 16
  • 10
  • 6
  • 4
  • 3
  • 2
  • 2
  • 1
  • 1
  • 1
  • 1
ELISA, Immunohistochemistry (IHC)

Klon

5B8F7
  • Verwendungszweck

    EphB4 Antibody

    Aufreinigung

    Ascitic fluid

    Immunogen

    Purified recombinant fragment of EphB4 expressed in E. Coli.

    Isotyp

    IgG2a
  • Applikationshinweise

    ELISA: 1/10000

    Beschränkungen

    Nur für Forschungszwecke einsetzbar
  • Format

    Liquid

    Buffer

    Ascitic fluid containing 0.03 % sodium azide.

    Konservierungsmittel

    Sodium azide

    Vorsichtsmaßnahmen

    This product contains Sodium azide: a POISONOUS AND HAZARDOUS SUBSTANCE which should be handled by trained staff only.

    Lagerung

    4 °C,-20 °C

    Informationen zur Lagerung

    Store at 4°C short term. Aliquot and store at -20°C long term. Avoid freeze/thaw cycles.
  • Chrencik, Brooun, Recht, Kraus, Koolpe, Kolatkar, Bruce, Martiny-Baron, Widmer, Pasquale, Kuhn: "Structure and thermodynamic characterization of the EphB4/Ephrin-B2 antagonist peptide complex reveals the determinants for receptor specificity." in: Structure (London, England : 1993), Vol. 14, Issue 2, pp. 321-30, (2006) (PubMed).

    Wu, Suo, Risberg, Karlsson, Villman, Nesland: "Expression of Ephb2 and Ephb4 in breast carcinoma." in: Pathology oncology research : POR, Vol. 10, Issue 1, pp. 26-33, (2004) (PubMed).

  • Target

    EPH Receptor B4 (EPHB4)

    Andere Bezeichnung

    EphB4

    Hintergrund

    EPH receptor B4 (EphB4), with 987-amino acid protein (about 108 kDa), belongs to the ephrin receptor subfamily of the protein-tyrosine kinase family. The Eph receptor tyrosine kinases and their ligands, the ephrins, regulate numerous biological processes in developing and adult tissues and have been implicated in cancer progression and in pathological forms of angiogenesis. EphB4 acts as a negative regulator of blood vessel branching and vascular network formation, switching the vascularization program from sprouting angiogenesis to circumferential vessel growth. EphB4 and its ligand ephrinB2 express in several kinds of tumor cells and correlate with tumorigenesis. EphB4 is thus a potential candidate as a predictor of disease outcome in several kinds of tumor and as target for novel therapy.

    UniProt

    P54760

    Pathways

    RTK Signalweg
Sie sind hier:
Chat with us!