Telefon:
+49 (0)241 95 163 153
Fax:
+49 (0)241 95 163 155
E-Mail:
orders@antikoerper-online.de

EGF Antikörper

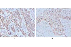
Dieser Maus Monoklonal Antikörper detektiert spezifisch EGF in IHC und ELISA. Es zeigt Reaktivität gegenüber Proben von Human. Es wurde in 2+ Publikationen zitiert.
Produktnummer ABIN969091
602,28 €
Zzgl. Versandkosten 20,00 € und MwSt
100 μL
Lieferung nach: Deutschland
Lieferung in 7 bis 10 Werktagen

Kurzübersicht für EGF Antikörper (ABIN969091)

Target

Alle EGF Antikörper anzeigen
EGF (Epidermal Growth Factor (EGF))

Reaktivität

  • 158
  • 90
  • 49
  • 12
  • 12
  • 6
  • 4
  • 1
  • 1
Human

Wirt

  • 224
  • 34
  • 10
  • 2
  • 2
  • 1
Maus

Klonalität

  • 217
  • 55
Monoklonal

Konjugat

  • 124
  • 34
  • 19
  • 13
  • 8
  • 6
  • 4
  • 4
  • 4
  • 4
  • 4
  • 4
  • 4
  • 4
  • 4
  • 4
  • 4
  • 3
  • 3
  • 3
  • 3
  • 3
  • 3
  • 2
  • 1
  • 1
  • 1
  • 1
  • 1
Dieser EGF Antikörper ist unkonjugiert

Applikation

  • 208
  • 85
  • 71
  • 53
  • 53
  • 34
  • 33
  • 28
  • 27
  • 15
  • 15
  • 13
  • 10
  • 8
  • 4
  • 3
  • 3
  • 3
  • 2
  • 1
  • 1
Immunohistochemistry (IHC), ELISA

Klon

9D7F11
Sie sind hier:
Chat with us!