Telefon:
+49 (0)241 95 163 153
Fax:
+49 (0)241 95 163 155
E-Mail:
orders@antikoerper-online.de

AMACR Antikörper

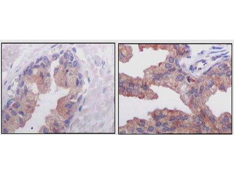
Es sind 2+ Publikationen für dieses Produkt verfügbar. Der Maus Monoklonal anti-AMACR Antikörper wird verwendet zum Nachweis von AMACR in Proben von Human und Maus. Er wurde validiert für WB, IHC, ELISA und ICC.
Produktnummer ABIN968957
713,38 €
Zzgl. Versandkosten 20,00 € und MwSt
100 μL
Lieferung nach: Deutschland
Lieferung in 7 bis 10 Werktagen

Kurzübersicht für AMACR Antikörper (ABIN968957)

Target

Alle AMACR Antikörper anzeigen
AMACR (alpha-Methylacyl-CoA Racemase (AMACR))

Reaktivität

  • 147
  • 17
  • 14
  • 3
  • 3
  • 2
  • 1
  • 1
  • 1
Human, Maus

Wirt

  • 89
  • 58
  • 2
Maus

Klonalität

  • 94
  • 55
Monoklonal

Konjugat

  • 72
  • 11
  • 7
  • 6
  • 6
  • 6
  • 6
  • 6
  • 6
  • 6
  • 3
  • 3
  • 2
  • 1
  • 1
  • 1
  • 1
  • 1
  • 1
  • 1
  • 1
  • 1
Dieser AMACR Antikörper ist unkonjugiert

Applikation

  • 105
  • 87
  • 36
  • 35
  • 35
  • 18
  • 17
  • 12
  • 12
  • 8
  • 6
  • 6
  • 5
  • 2
  • 1
  • 1
  • 1
  • 1
Western Blotting (WB), Immunohistochemistry (IHC), ELISA, Immunocytochemistry (ICC)

Klon

2A10F3
  • Verwendungszweck

    AMACR Antibody

    Aufreinigung

    Ascitic fluid

    Immunogen

    Purified recombinant fragment of human AMACR expressed in E. Coli.

    Isotyp

    IgG2b
  • Applikationshinweise

    ELISA: 1/10000

    ICC: 1/200 - 1/1000

    Beschränkungen

    Nur für Forschungszwecke einsetzbar
  • Format

    Liquid

    Buffer

    Ascitic fluid containing 0.03 % sodium azide.

    Konservierungsmittel

    Sodium azide

    Vorsichtsmaßnahmen

    This product contains Sodium azide: a POISONOUS AND HAZARDOUS SUBSTANCE which should be handled by trained staff only.

    Lagerung

    4 °C,-20 °C

    Informationen zur Lagerung

    Store at 4°C short term. Aliquot and store at -20°C long term. Avoid freeze/thaw cycles.
  • Chen, Watson, Marengo, Decker, Coleman, Nelson, Sikes: "Gene expression in the LNCaP human prostate cancer progression model: progression associated expression in vitro corresponds to expression changes associated with prostate cancer progression in vivo." in: Cancer letters, Vol. 244, Issue 2, pp. 274-88, (2006) (PubMed).

    Epstein, Herawi: "Prostate needle biopsies containing prostatic intraepithelial neoplasia or atypical foci suspicious for carcinoma: implications for patient care." in: The Journal of urology, Vol. 175, Issue 3 Pt 1, pp. 820-34, (2006) (PubMed).

  • Target

    AMACR (alpha-Methylacyl-CoA Racemase (AMACR))

    Andere Bezeichnung

    AMACR

    Hintergrund

    AMACR (alpha-methylacyl-CoA racemase) has been recently described as prostate cancer-specific gene that encodes a protein involved in the beta-oxidation of branched chain fatty acids. Expression of AMACR protein is found in prostatic adenocarcinoma but not in benign prostatic tissue. It stains premalignant lesions of prostate: high-grade prostatic intraepithelial neoplasia (PIN) and atypical adenomatous hyperplasia. AMACR can be used as a positive marker for PIN. Defects in AMACR are the cause of congenital bile acid synthesis defect type 4 (CBAS4), also known as cholestasis, intrahepatic, with defective conversion of trihydroxycoprostanic acid to cholic acid or trihydroxycoprostanic acid in bile. Clinical features include neonatal jaundice, intrahepatic cholestasis, bile duct deficiency and absence of cholic acid from bile.

    Molekulargewicht

    42 kDa

    UniProt

    Q9UHK6

    Pathways

    Monocarboxylic Acid Catabolic Process
Sie sind hier:
Chat with us!