Telefon:
+49 (0)241 95 163 153
Fax:
+49 (0)241 95 163 155
E-Mail:
orders@antikoerper-online.de

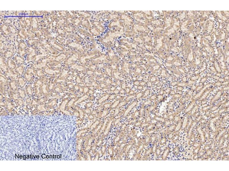
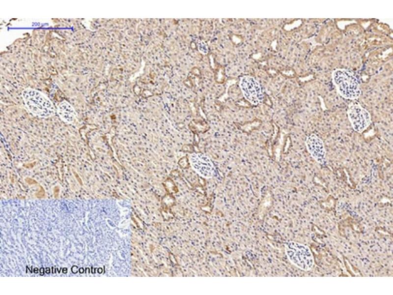
AMACR Antikörper

Der Maus Monoklonal anti-AMACR Antikörper wird verwendet zum Nachweis von AMACR in Proben von Human, Maus und Ratte. Er wurde validiert für WB, IF und IHC (p).
Produktnummer ABIN7201086
613,62 €
Zzgl. Versandkosten 20,00 € und MwSt
100 μL
Lieferung nach: Deutschland
Lieferung in 10 bis 14 Werktagen

Kurzübersicht für AMACR Antikörper (ABIN7201086)

Target

Alle AMACR Antikörper anzeigen
AMACR (alpha-Methylacyl-CoA Racemase (AMACR))

Reaktivität

  • 147
  • 16
  • 14
  • 3
  • 3
  • 2
  • 1
  • 1
  • 1
Human, Maus, Ratte

Wirt

  • 89
  • 58
  • 2
Maus

Klonalität

  • 94
  • 55
Monoklonal

Konjugat

  • 72
  • 11
  • 7
  • 6
  • 6
  • 6
  • 6
  • 6
  • 6
  • 6
  • 3
  • 3
  • 2
  • 1
  • 1
  • 1
  • 1
  • 1
  • 1
  • 1
  • 1
  • 1
Dieser AMACR Antikörper ist unkonjugiert

Applikation

  • 105
  • 88
  • 37
  • 35
  • 34
  • 19
  • 17
  • 12
  • 11
  • 8
  • 6
  • 6
  • 5
  • 2
  • 1
  • 1
  • 1
  • 1
Western Blotting (WB), Immunofluorescence (IF), Immunohistochemistry (Paraffin-embedded Sections) (IHC (p))
  • Verwendungszweck

    AMACR Monoclonal Antibody

    Spezifität

    The antibody detects endogenous AMCAR/P504S proteins.

    Aufreinigung

    The antibody was affinity-purified from mouse ascites by affinity-chromatography using specific immunogen

    Immunogen

    Synthetic Peptide

    Isotyp

    IgG1
  • Applikationshinweise

    Optimal working dilutions should be determined experimentally by the investigator. Suggested starting dilutions are as follows: WB (1:1000), IF (1:200), IHC-P (1:200).

    Beschränkungen

    Nur für Forschungszwecke einsetzbar
  • Format

    Liquid

    Konzentration

    1 mg/mL

    Buffer

    PBS, pH 7.4, containing 0.02 % Sodium Azide as preservative and 50 % Glycerol.

    Konservierungsmittel

    Sodium azide

    Vorsichtsmaßnahmen

    This product contains Sodium azide: a POISONOUS AND HAZARDOUS SUBSTANCE which should be handled by trained staff only.

    Lagerung

    -20 °C

    Informationen zur Lagerung

    Stable for one year at -20°C from date of shipment. For maximum recovery of product, centrifuge the original vial after thawing and prior to removing the cap. Aliquot to avoid repeated freezing and thawing.
  • Target

    AMACR (alpha-Methylacyl-CoA Racemase (AMACR))

    Andere Bezeichnung

    AMACR

    Hintergrund

    Mouse Anti-AMACR Monoclonal Antibody,AMACR, Alpha-methylacyl-CoA racemase, 2-methylacyl-CoA racemase,AMACR encodes a racemase. Alpha-methylacyl-CoA racemase interconverts pristanoyl-CoA and C27-bile acylCoAs between their (R)- and (S)-stereoisomers. The conversion to the (S)-stereoisomers is necessary for degradation of these substrates by peroxisomal beta-oxidation. Alpha-methylacyl-CoA racemase from this locus localize to both mitochondria and peroxisomes. Mutations in AMACR may be associated with adult-onset sensorimotor neuropathy, pigmentary retinopathy, and adrenomyeloneuropathy due to defects in bile acid synthesis. Alternatively spliced transcript variants have been described. Read-through transcription also exists between AMACR and the upstream neighboring C1QTNF3 (C1q and tumor necrosis factor related protein 3) gene.,Alpha-methylacyl-CoA racemase

    Gen-ID

    23600

    UniProt

    Q9UHK6

    Pathways

    Monocarboxylic Acid Catabolic Process
Sie sind hier:
Chat with us!