AIF Antikörper
Kurzübersicht für AIF Antikörper (ABIN968950)
Target
Alle AIF (AIFM1) Antikörper anzeigenReaktivität
Wirt
Klonalität
Konjugat
Applikation
Klon
-
-
Verwendungszweck
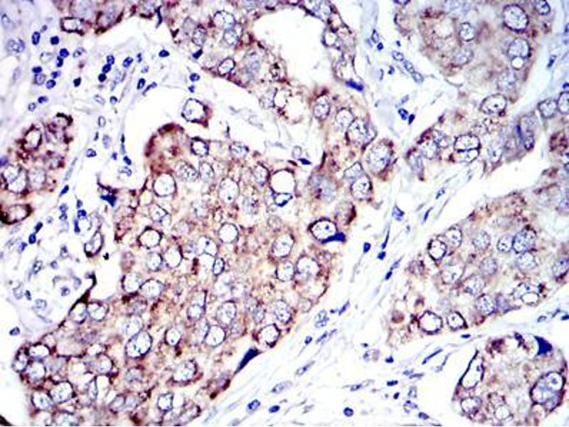
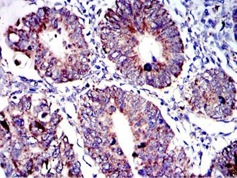
- AIF Antibody
-
Aufreinigung
- Ascitic fluid
-
Immunogen
- Purified recombinant fragment of human AIF expressed in E. Coli.
-
Isotyp
- IgG2b
-
-
-
-
Applikationshinweise
-
ELISA: 1/10000
FCM: 1/200 - 1/400
ICC: 1/200 - 1/1000
-
Beschränkungen
- Nur für Forschungszwecke einsetzbar
-
-
-
Format
- Liquid
-
Buffer
- Ascitic fluid containing 0.03 % sodium azide.
-
Konservierungsmittel
- Sodium azide
-
Vorsichtsmaßnahmen
- This product contains Sodium azide: a POISONOUS AND HAZARDOUS SUBSTANCE which should be handled by trained staff only.
-
Lagerung
- 4 °C,-20 °C
-
Informationen zur Lagerung
- Store at 4°C short term. Aliquot and store at -20°C long term. Avoid freeze/thaw cycles.
-
-
-
: "Apoptosis-inducing factor plays a critical role in caspase-independent, pyknotic cell death in hydrogen peroxide-exposed cells." in: Apoptosis : an international journal on programmed cell death, Vol. 14, Issue 6, pp. 796-808, (2009) (PubMed).
-
-
- AIF (AIFM1) (Apoptosis-Inducing Factor, Mitochondrion-Associated, 1 (AIFM1))
-
Andere Bezeichnung
- AIF
-
Hintergrund
- This gene encodes a flavoprotein essential for nuclear disassembly in apoptotic cells, and it is found in the mitochondrial intermembrane space in healthy cells. Induction of apoptosis results in the translocation of this protein to the nucleus where it affects chromosome condensation and fragmentation. In addition, this gene product induces mitochondria to release the apoptogenic proteins cytochrome c and caspase-9. Mutations in this gene cause combined oxidative phosphorylation deficiency 6, which results in a severe mitochondrial encephalomyopathy. Alternative splicing results in multiple transcript variants. A related pseudogene has been identified on chromosome 10
-
Molekulargewicht
- 67 kDa
-
Gen-ID
- 9131
-
UniProt
- O95831
-
Pathways
- Apoptose, Positive Regulation of Endopeptidase Activity, Cell RedoxHomeostasis, Smooth Muscle Cell Migration, Warburg Effekt
Target
-