Telefon:
+49 (0)241 95 163 153
Fax:
+49 (0)241 95 163 155
E-Mail:
orders@antikoerper-online.de

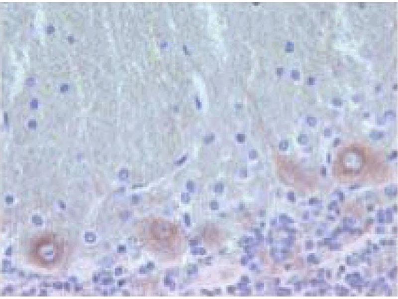
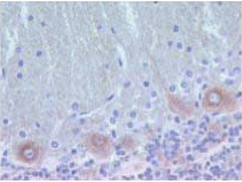
PKC delta Antikörper (AA 114-289)

Dieser Maus Monoklonal Antikörper detektiert spezifisch PKC delta in WB, IHC, IF und IP. Es zeigt Reaktivität gegenüber Proben von Human, Maus und Ratte. Es wurde in 5+ Publikationen zitiert.
Produktnummer ABIN967942
164,17 €
Zzgl. Versandkosten 20,00 € und MwSt
50 μg
Lieferung nach: Deutschland
Lieferung in 12 bis 15 Werktagen

Kurzübersicht für PKC delta Antikörper (AA 114-289) (ABIN967942)

Target

Alle PKC delta (PKCd) Antikörper anzeigen
PKC delta (PKCd) (Protein Kinase C, delta (PKCd))

Reaktivität

  • 224
  • 182
  • 160
  • 8
  • 3
  • 3
  • 3
  • 3
  • 2
  • 1
  • 1
Human, Maus, Ratte

Wirt

  • 234
  • 8
Maus

Klonalität

  • 192
  • 50
Monoklonal

Konjugat

  • 90
  • 16
  • 10
  • 9
  • 6
  • 6
  • 6
  • 6
  • 6
  • 6
  • 6
  • 6
  • 6
  • 6
  • 6
  • 6
  • 6
  • 6
  • 6
  • 6
  • 6
  • 6
  • 3
  • 3
  • 3
Dieser PKC delta Antikörper ist unkonjugiert

Applikation

  • 182
  • 81
  • 81
  • 73
  • 68
  • 51
  • 32
  • 29
  • 28
  • 21
  • 12
  • 2
  • 1
  • 1
  • 1
  • 1
Western Blotting (WB), Immunohistochemistry (IHC), Immunofluorescence (IF), Immunoprecipitation (IP)

Klon

14-PKC delta
  • Bindungsspezifität

    • 20
    • 19
    • 16
    • 15
    • 15
    • 15
    • 14
    • 9
    • 8
    • 8
    • 7
    • 5
    • 5
    • 4
    • 2
    • 2
    • 2
    • 2
    • 2
    • 2
    • 2
    • 2
    • 2
    • 1
    • 1
    • 1
    • 1
    • 1
    • 1
    • 1
    • 1
    • 1
    • 1
    • 1
    • 1
    • 1
    • 1
    • 1
    • 1
    • 1
    • 1
    • 1
    • 1
    • 1
    • 1
    • 1
    AA 114-289

    Kreuzreaktivität

    Ratte (Rattus), Maus

    Produktmerkmale

    1. Since applications vary, each investigator should titrate the reagent to obtain optimal results.
    2. Please refer to us for technical protocols.
    3. Caution: Sodium azide yields highly toxic hydrazoic acid under acidic conditions. Dilute azide compounds in running water before discarding to avoid accumulation of potentially explosive deposits in plumbing.
    4. Source of all serum proteins is from USDA inspected abattoirs located in the United States.

    Aufreinigung

    The monoclonal antibody was purified from tissue culture supernatant or ascites by affinity chromatography.

    Immunogen

    Human PKCdelta aa. 114-289

    Isotyp

    IgG2b
  • Kommentare

    Related Products: ABIN968545

    Beschränkungen

    Nur für Forschungszwecke einsetzbar
  • Format

    Liquid

    Konzentration

    250 μg/mL

    Buffer

    Aqueous buffered solution containing BSA, glycerol, and ≤0.09 % sodium azide.

    Konservierungsmittel

    Sodium azide

    Vorsichtsmaßnahmen

    This product contains Sodium azide: a POISONOUS AND HAZARDOUS SUBSTANCE which should be handled by trained staff only.

    Lagerung

    -20 °C

    Informationen zur Lagerung

    Store undiluted at -20° C.
  • Larsen, Ueyama, Brannock, Shirai, Saito, Larsson, Loegering, Weber, Lennartz: "A role for PKC-epsilon in Fc gammaR-mediated phagocytosis by RAW 264.7 cells." in: The Journal of cell biology, Vol. 159, Issue 6, pp. 939-44, (2002) (PubMed).

    Ringshausen, Schneller, Bogner, Hipp, Duyster, Peschel, Decker: "Constitutively activated phosphatidylinositol-3 kinase (PI-3K) is involved in the defect of apoptosis in B-CLL: association with protein kinase Cdelta." in: Blood, Vol. 100, Issue 10, pp. 3741-8, (2002) (PubMed).

    Blass, Kronfeld, Kazimirsky, Blumberg, Brodie: "Tyrosine phosphorylation of protein kinase Cdelta is essential for its apoptotic effect in response to etoposide." in: Molecular and cellular biology, Vol. 22, Issue 1, pp. 182-95, (2001) (PubMed).

    Bell, Burns: "Lipid activation of protein kinase C." in: The Journal of biological chemistry, Vol. 266, Issue 8, pp. 4661-4, (1991) (PubMed).

    Nishizuka: "The molecular heterogeneity of protein kinase C and its implications for cellular regulation." in: Nature, Vol. 334, Issue 6184, pp. 661-5, (1988) (PubMed).

  • Target

    PKC delta (PKCd) (Protein Kinase C, delta (PKCd))

    Andere Bezeichnung

    PKC delta

    Hintergrund

    The Protein Kinase C (PKC) family of homologous serine/threonine protein kinases. At least eleven isozymes have been described. These proteins are products of multiple genes and alternative splicing. PKC consists of a single polypeptide chain containing four conserved regions (C) and five variable regions (V). The N-terminal half containing C1, C2, V1, and V2 constitutes the regulatory domain and interacts with PKC activators Ca2+, phospholipid, diacylglycerol, or phorbol ester. However, the novel PKC (nPKC) subfamily members (delta, epsilon, eta, and theta isoforms) and the atypical PKC (aPKC) subfamily members (zeta, iota, and lambda isoforms) are Ca2+ independent and lack the C2 domain. The aPKC members are unique in that their activity is independent of diacylglycerols and phorbol esters. They also lack one repeat of the cysteine-rich sequences that are conserved in cPKC and nPKC. The C-terminal region of PKC contains the catalytic domain. PKCdelta is involved in myeloid differentiation, as well as in the secretory response of antigen-stimulated rat basophilic RBL 2H3 cells. Overexpression and subsequent stimulation of PKCdelta leads to cell cycle arrest in CHO cells and complete growth inhibition of NIH 3T3 cells. PKCdelta is the most abundant isoform in hemopoietic cells and is highly expressed in many other organs and tissues. This suggests that PKCdelta may be one of the major PKC isozymes in mammalian cells.

    Molekulargewicht

    78 kDa

    Pathways

    Interferon-gamma Pathway, EGFR Signaling Pathway, Neurotrophin Signalübertragung, Thyroid Hormone Synthesis, Regulation of Actin Filament Polymerization, Carbohydrate Homeostasis, Myometrial Relaxation and Contraction, M Phase, G-protein mediated Events, Dicarboxylic Acid Transport, Positive Regulation of Response to DNA Damage Stimulus, Interaction of EGFR with phospholipase C-gamma, Thromboxane A2 Receptor Signaling, Lipid Metabolism
Sie sind hier:
Chat with us!