Telefon:
+49 (0)241 95 163 153
Fax:
+49 (0)241 95 163 155
E-Mail:
orders@antikoerper-online.de

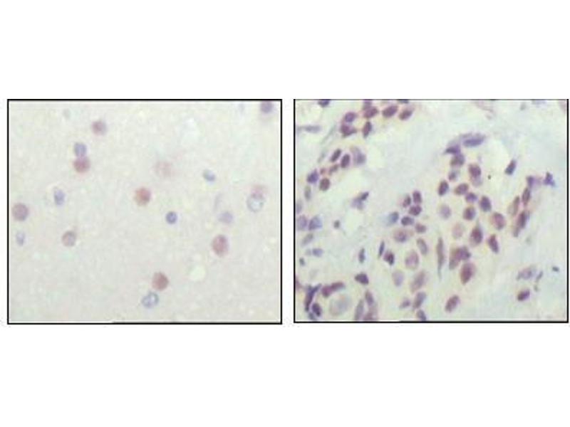
NCOR1 Antikörper (AA 1-192)

Der Maus Monoklonal anti-NCOR1 Antikörper wird verwendet zum Nachweis von NCOR1 in Proben von Human. Er wurde validiert für ELISA, IHC und WB.
Produktnummer ABIN931394
1.321,10 €
Zzgl. Versandkosten 20,00 € und MwSt
100 μL
Lieferung nach: Deutschland
Lieferung in 20 bis 27 Werktagen

Kurzübersicht für NCOR1 Antikörper (AA 1-192) (ABIN931394)

Target

Alle NCOR1 Antikörper anzeigen
NCOR1 (Nuclear Receptor Co-Repressor 1 (NCOR1))

Reaktivität

  • 60
  • 23
  • 4
  • 4
  • 2
  • 2
  • 2
  • 1
  • 1
  • 1
Human

Wirt

  • 54
  • 3
  • 2
  • 1
Maus

Klonalität

  • 58
  • 2
Monoklonal

Konjugat

  • 31
  • 4
  • 3
  • 3
  • 1
  • 1
  • 1
  • 1
  • 1
  • 1
  • 1
  • 1
  • 1
  • 1
  • 1
  • 1
  • 1
  • 1
  • 1
  • 1
  • 1
  • 1
  • 1
Dieser NCOR1 Antikörper ist unkonjugiert

Applikation

  • 32
  • 25
  • 21
  • 13
  • 13
  • 13
  • 8
  • 3
  • 3
  • 3
  • 2
  • 1
  • 1
  • 1
  • 1
ELISA, Immunohistochemistry (IHC), Western Blotting (WB)

Klon

7A7A9
  • Bindungsspezifität

    • 15
    • 9
    • 8
    • 7
    • 2
    • 1
    • 1
    • 1
    • 1
    • 1
    • 1
    • 1
    • 1
    • 1
    • 1
    AA 1-192

    Immunogen

    NCOR1 antibody was raised in Mouse using a purified recombinant fragment of NCOR1(aa1-192) expressed in E. coli as the immunogen.

    Isotyp

    IgG1
  • Applikationshinweise

    ELISA: 1:10,000, IHC: 1:200-1:1000, WB: 1:500-1:2000
    Optimal conditions should be determined by the investigator.

    Beschränkungen

    Nur für Forschungszwecke einsetzbar
  • Format

    Liquid

    Konzentration

    Lot specific

    Buffer

    Supplied as a liquid in ascitic fluid containing 0.03 % sodium azide.

    Konservierungsmittel

    Sodium azide

    Vorsichtsmaßnahmen

    This product contains Sodium Azide: a POISONOUS AND HAZARDOUS SUBSTANCE, which should be handled by trained staff only.

    Handhabung

    Avoid repeated freeze/thaw cycles.
    Dilute only prior to immediate use.

    Lagerung

    4 °C/-20 °C

    Informationen zur Lagerung

    Store at 4 °C for short term storage. Store at -20 °C for long term storage.
  • Target

    NCOR1 (Nuclear Receptor Co-Repressor 1 (NCOR1))

    Andere Bezeichnung

    NCOR1

    Hintergrund

    NCOR1 mediates ligand-independent transcription repression of thyroid-hormone and retinoic-acid receptors by promoting chromatin condensation and preventing access of the transcription machinery. It is part of a complex which also includes histone deacetylases and transcriptional regulators similar to the yeast protein Sin3p. This gene is located between the Charcot-Marie-Tooth and Smith-Magenis syndrome critical regions on chromosome 17. An alternatively spliced transcript variant has been described, but its full length sequence has not been determined. Synonyms: Monoclonal NCOR1 antibody, Anti-NCOR1 antibody, Nuclear receptor co-repressor 1 antibody, Nuclear receptor co-repressor 1 antibody.

    Pathways

    Nuclear Hormone Receptor Binding, Chromatin Binding, Regulation of Lipid Metabolism by PPARalpha, Regulation of Carbohydrate Metabolic Process
Sie sind hier:
Chat with us!