CREB1 Antikörper (AA 1-342)
Kurzübersicht für CREB1 Antikörper (AA 1-342) (ABIN790468)
Target
Alle CREB1 Antikörper anzeigenReaktivität
Wirt
Klonalität
Konjugat
Applikation
Klon
-
-
Bindungsspezifität
- AA 1-342
-
Spezifität
- Human CREB1
-
Aufreinigung
- Purified from ascites by Protein A
-
Immunogen
-
CREB1 (AAH10636, 1 a.a. ~ 342 a.a) full length recombinant protein with GST tag. MW of the GST tag alone is 26 KDa.
Type of Immunogen: Recombinant protein -
Isotyp
- IgG1 kappa
-
-
-
-
Applikationshinweise
-
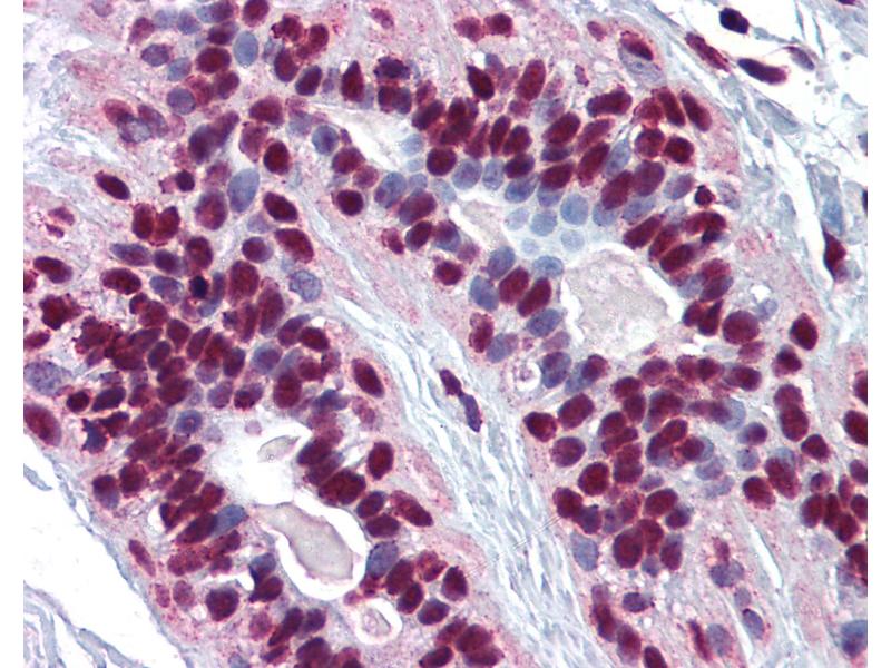
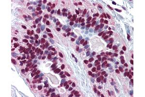
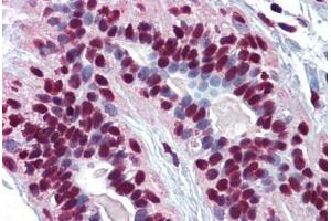
Approved: ELISA, IF (10 μg/mL), IHC, IHC-P (5 μg/mL), WB (1:500 - 1:1000)
Usage: Immunohistochemistry: Formalin-fixed paraffin-embedded sections. Sandwich ELISA: Recombinant protein. Western Blot: Transfected lysate, Recombinant protein. -
Kommentare
-
Target Species of Antibody: Human
-
Beschränkungen
- Nur für Forschungszwecke einsetzbar
-
-
-
Format
- Liquid
-
Konzentration
- Lot specific
-
Buffer
- PBS, pH 7.4
-
Handhabung
- Avoid freeze-thaw cycles.
-
Lagerung
- -20 °C,-80 °C
-
Informationen zur Lagerung
- Aliquot and store at -20°C or -80°C. Avoid freeze-thaw cycles.
-
-
- CREB1 (cAMP Responsive Element Binding Protein 1 (CREB1))
-
Andere Bezeichnung
- CREB1 / CREB
-
Hintergrund
-
Name/Gene ID: CREB1
Family: Transcription factor
Synonyms: CREB1, CREB-1, Transactivator protein, CREB -
Gen-ID
- 1385
-
UniProt
- P16220
-
Pathways
- TLR Signalweg, Fc-epsilon Rezeptor Signalübertragung, EGFR Signaling Pathway, Neurotrophin Signalübertragung, Thyroid Hormone Synthesis, Activation of Innate immune Response, Myometrial Relaxation and Contraction, Regulation of Cell Size, Toll-Like Receptors Cascades, G-protein mediated Events, Interaction of EGFR with phospholipase C-gamma, Positive Regulation of fat Cell Differentiation
Target
-