Arrestin 3 Antikörper (AA 300-410)
Kurzübersicht für Arrestin 3 Antikörper (AA 300-410) (ABIN790451)
Target
Alle Arrestin 3 (ARRB2) Antikörper anzeigenReaktivität
Wirt
Klonalität
Konjugat
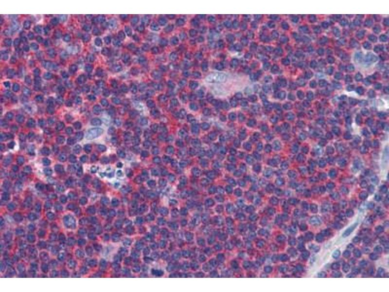
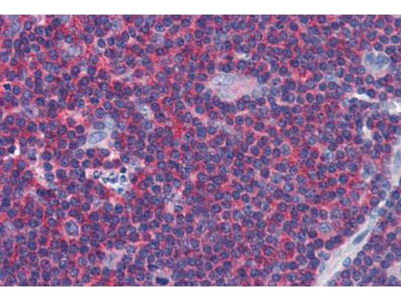
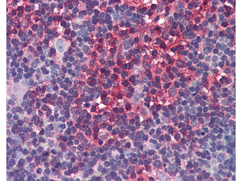
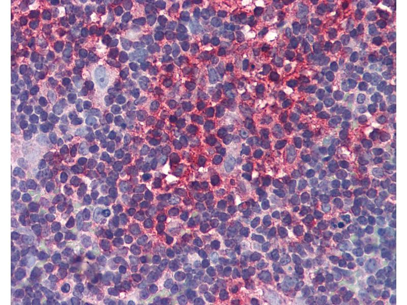
Applikation
Klon
-
-
Bindungsspezifität
- AA 300-410
-
Spezifität
- Human Beta-Arrestin 2
-
Aufreinigung
- Purified from ascites by Protein A
-
Immunogen
-
ARRB2 (AAH07427, 300 a.a. ~ 410 a.a) partial recombinant protein with GST tag. MW of the GST tag alone is 26 KDa.
Type of Immunogen: Recombinant protein -
Isotyp
- IgG2a kappa
-
-
-
-
Applikationshinweise
-
Approved: ELISA, IF (10 μg/mL), IHC, IHC-P (5 μg/mL), WB (1:500 - 1:1000)
Usage: Sandwich ELISA: Recombinant protein. Western Blot: Transfected lysate, Recombinant protein. -
Kommentare
-
Target Species of Antibody: Human
-
Beschränkungen
- Nur für Forschungszwecke einsetzbar
-
-
-
Format
- Liquid
-
Konzentration
- Lot specific
-
Buffer
- PBS, pH 7.4. Sourced in Ascites.
-
Handhabung
- Avoid freeze-thaw cycles.
-
Lagerung
- -20 °C,-80 °C
-
Informationen zur Lagerung
- Aliquot and store at -20°C or -80°C. Avoid freeze-thaw cycles.
-
-
- Arrestin 3 (ARRB2) (Arrestin, beta 2 (ARRB2))
-
Andere Bezeichnung
- ARRB2 / Beta Arrestin 2
-
Hintergrund
-
Name/Gene ID: ARRB2
Synonyms: ARRB2, Arrestin 3, Arrestin beta-2, ARB2, ARR2, BARR2, Arrestin, beta 2, Beta-arrestin-2 -
Gen-ID
- 409
-
UniProt
- P32121
-
Pathways
- Intracellular Steroid Hormone Receptor Signaling Pathway, Regulation of Intracellular Steroid Hormone Receptor Signaling, cAMP Metabolic Process, Myometrial Relaxation and Contraction, Regulation of Leukocyte Mediated Immunity, Synaptic Membrane, Regulation of G-Protein Coupled Receptor Protein Signaling, CXCR4-mediated Signaling Events, Phototransduction, Thromboxane A2 Receptor Signaling
Target
-