Telefon:
+49 (0)241 95 163 153
Fax:
+49 (0)241 95 163 155
E-Mail:
orders@antikoerper-online.de

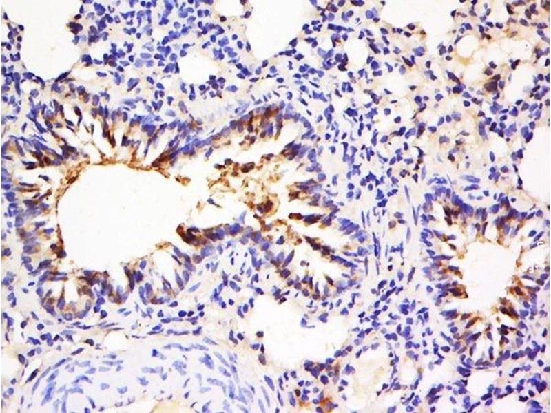
MSK1 Antikörper (pSer212)

Der Kaninchen Polyklonal anti-MSK1 Antikörper wird verwendet zum Nachweis von MSK1 in Proben von Ratte. Er wurde validiert für WB, ELISA, IF (cc), IF (p), IHC (p) und IHC (fro).
Produktnummer ABIN743993
357,70 €
Zzgl. Versandkosten 20,00 € und MwSt
100 μL
Lieferung nach: Deutschland
Lieferung in 8 bis 12 Werktagen

Kurzübersicht für MSK1 Antikörper (pSer212) (ABIN743993)

Target

Alle MSK1 (RPS6KA5) Antikörper anzeigen
MSK1 (RPS6KA5) (Ribosomal Protein S6 Kinase, 90kDa, Polypeptide 5 (RPS6KA5))

Reaktivität

  • 119
  • 103
  • 70
  • 7
  • 6
  • 5
  • 5
  • 5
  • 5
  • 1
Ratte

Wirt

  • 176
  • 4
  • 2
  • 1
Kaninchen

Klonalität

  • 145
  • 38
Polyklonal

Konjugat

  • 85
  • 9
  • 7
  • 6
  • 4
  • 4
  • 4
  • 4
  • 4
  • 4
  • 4
  • 4
  • 4
  • 4
  • 4
  • 4
  • 4
  • 4
  • 4
  • 4
  • 4
  • 3
  • 3
  • 1
  • 1
Dieser MSK1 Antikörper ist unkonjugiert

Applikation

  • 161
  • 62
  • 56
  • 56
  • 52
  • 51
  • 33
  • 25
  • 14
  • 11
  • 3
  • 2
  • 2
  • 1
  • 1
  • 1
Western Blotting (WB), ELISA, Immunofluorescence (Cultured Cells) (IF (cc)), Immunofluorescence (Paraffin-embedded Sections) (IF (p)), Immunohistochemistry (Paraffin-embedded Sections) (IHC (p)), Immunohistochemistry (Frozen Sections) (IHC (fro))
  • Bindungsspezifität

    • 47
    • 36
    • 24
    • 19
    • 6
    • 5
    • 3
    • 3
    • 3
    • 2
    • 2
    • 2
    • 2
    • 2
    • 2
    • 2
    • 2
    • 2
    • 1
    • 1
    • 1
    • 1
    • 1
    • 1
    • 1
    • 1
    • 1
    • 1
    • 1
    • 1
    • 1
    • 1
    • 1
    • 1
    • 1
    pSer212

    Kreuzreaktivität

    Ratte

    Homologie

    Human,Mouse,Dog,Cow,Pig,Horse,Chicken,Rabbit

    Aufreinigung

    Purified by Protein A.

    Immunogen

    KLH conjugated synthetic phosphopeptide derived from human MSK1 around the phosphorylation site of Ser212 [AY(p-S)FC]

    Isotyp

    IgG
  • Applikationshinweise

    WB 1:300-5000
    ELISA 1:500-1000
    IHC-P 1:200-400
    IHC-F 1:100-500
    IF(IHC-P) 1:50-200
    IF(IHC-F) 1:50-200
    IF(ICC) 1:50-200

    Beschränkungen

    Nur für Forschungszwecke einsetzbar
  • Format

    Liquid

    Konzentration

    1 μg/μL

    Buffer

    0.01M TBS( pH 7.4) with 1 % BSA, 0.02 % Proclin300 and 50 % Glycerol.

    Konservierungsmittel

    ProClin

    Vorsichtsmaßnahmen

    This product contains ProClin: a POISONOUS AND HAZARDOUS SUBSTANCE, which should be handled by trained staff only.

    Lagerung

    4 °C,-20 °C

    Informationen zur Lagerung

    Shipped at 4°C. Store at -20°C for one year. Avoid repeated freeze/thaw cycles.

    Haltbarkeit

    12 months
  • Target

    MSK1 (RPS6KA5) (Ribosomal Protein S6 Kinase, 90kDa, Polypeptide 5 (RPS6KA5))

    Andere Bezeichnung

    MSK1

    Hintergrund

    Synonyms: MSK1 Phospho Ser212, 90 kDa ribosomal protein S6 kinase 5, EC 2.7.11.1, KS6A5_HUMAN, MGC1911, Mitogen and stress activated protein kinase 1, MSPK1, Nuclear Mitogen And Stress Activated Protein Kinase 1, Nuclear mitogen- and stress-activated protein kinase 1, Ribosomal protein S6 kinase 90kD polypeptide 5, Ribosomal protein S6 kinase 90 kDa, Ribosomal protein S6 kinase 90 kDa polypeptide 5, Ribosomal Protein S6 Kinase Alpha 5, Ribosomal protein S6 kinase alpha-5, RLPK, RPS6KA5, RSK Like Protein Kinase, RSK-like protein kinase, RSKL, S6K alpha 5, S6K-alpha-5.

    Background: MSK1 is a mitogen and stress activated protein kinase 1 which belongs to the AGC family of kinases and is related in structure to the ribosomal p70 S6 kinase subfamily. MSK1 can be activated by ERK1/2 and SAPK2/p38 MAP kinase. It is also known to be required for the phosphorylation of CREB, ATF1 H3 and HMG14 in response to mitogen and stress. Similar to RSK, MSK1 contains two kinase domains (N term and a C term). Once phosphorylated on Thr581 and Ser360 by ERK1/2 and SAPK2/p38, MSK1 autophosphorylate on at least 5 sites. Of these autophosphorylation sites Ser212 and Ser376 get phosphorylated by the C terminal kinase domain of MSK1 which is essential for the catalytic activity of the N terminal kinase domain.

    Gen-ID

    9252

    Pathways

    MAPK Signalweg, EGFR Signaling Pathway, Neurotrophin Signalübertragung, Activation of Innate immune Response, Toll-Like Receptors Cascades
Sie sind hier:
Chat with us!