Rekombinanter AGR2 Antikörper
Kurzübersicht für Rekombinanter AGR2 Antikörper (ABIN7826103)
Target
Alle AGR2 Antikörper anzeigenAntikörpertyp
Reaktivität
Wirt
Klonalität
Konjugat
Applikation
Klon
-
-
Verwendungszweck
- Anterior Gradient 2 / AGR2 antibody (HMV325)
-
Immunogen
- Recombinant human AGR2 fragment
-
Isotyp
- IgG
-
-
-
-
Applikationshinweise
- IHC 1:100-1:200
-
Kommentare
-
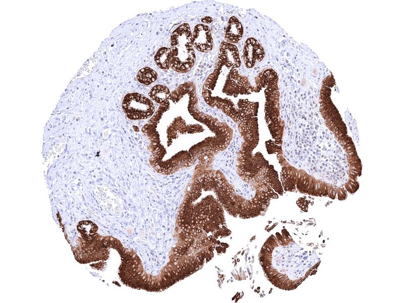
Positive Control: Colon: A strong predominantly cytoplasmic AGR2 staining should be seen in all epithelial cells.
Product Description/Background: Anterior Gradient 2 / AGR2 antibody validated for immunohistochemistry on 76 different Normal Tissues
Negative Control: Colon: AGR2 staining should be absent in all non-epithelial cell types.
-
Protokoll
- Freshly cut sections should be used (less than 10 days between cutting and staining). Heat-induced antigen retrieval for 5 minutes in an autoclave at 121 °C in pH 7,8 Target Retrieval Solution buffer. Apply the antibody at a dilution of 1:150 at 37 °C for 60 minutes.
-
Beschränkungen
- Nur für Forschungszwecke einsetzbar
-
-
-
Format
- Liquid
-
Lagerung
- 4 °C,-20 °C,-80 °C
-
Informationen zur Lagerung
- Antibody with azide - store at 2 to 8 C. Antibody without azide - store at -20 to -80 C. Antibody is stable for 24 months. Non- hazardous. No MSD required.
-
Haltbarkeit
- 24 months
-
-
- AGR2 (Anterior Gradient Homolog 2 (Xenopus Laevis) (AGR2))
-
Andere Bezeichnung
- Anterior Gradient 2 / AGR2
-
Hintergrund
- Gene Alias: anterior gradient 2, protein disulphide isomerase family member , AG-2 , AG2 , GOB-4 , HAG-2 , HEL-S-116 , HPC8 , PDIA17 , XAG-2
-
UniProt
- O95994
Target
-