Telefon:
+49 (0)241 95 163 153
Fax:
+49 (0)241 95 163 155
E-Mail:
orders@antikoerper-online.de

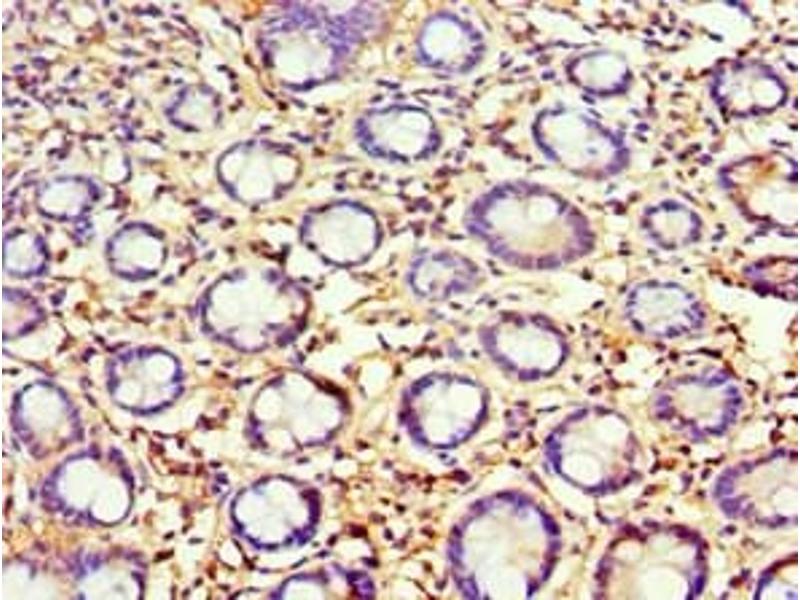
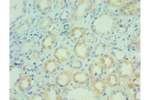
AGR2 Antikörper (AA 21-175)

Dieser Kaninchen Polyklonal Antikörper detektiert spezifisch AGR2 in IHC und ELISA. Es zeigt Reaktivität gegenüber Proben von Human.
Produktnummer ABIN7144316
328,90 €
Zzgl. Versandkosten 20,00 € und MwSt
Lieferung nach: Deutschland
Lieferung in 11 bis 15 Werktagen

Kurzübersicht für AGR2 Antikörper (AA 21-175) (ABIN7144316)

Target

Alle AGR2 Antikörper anzeigen
AGR2 (Anterior Gradient Homolog 2 (Xenopus Laevis) (AGR2))

Reaktivität

  • 94
  • 41
  • 36
  • 6
  • 4
  • 4
  • 3
  • 3
  • 2
  • 2
  • 2
  • 1
Human

Wirt

  • 97
  • 20
  • 1
  • 1
  • 1
Kaninchen

Klonalität

  • 70
  • 49
Polyklonal

Konjugat

  • 53
  • 14
  • 6
  • 4
  • 4
  • 4
  • 4
  • 4
  • 4
  • 3
  • 3
  • 2
  • 2
  • 2
  • 1
  • 1
  • 1
  • 1
  • 1
  • 1
  • 1
  • 1
  • 1
  • 1
  • 1
Dieser AGR2 Antikörper ist unkonjugiert

Applikation

  • 95
  • 59
  • 35
  • 28
  • 27
  • 23
  • 20
  • 19
  • 14
  • 14
  • 4
  • 4
  • 2
Immunohistochemistry (IHC), ELISA
  • Bindungsspezifität

    • 18
    • 15
    • 6
    • 5
    • 5
    • 4
    • 4
    • 3
    • 2
    • 1
    • 1
    • 1
    • 1
    • 1
    • 1
    • 1
    • 1
    AA 21-175

    Verwendungszweck

    AGR2 Antibody

    Aufreinigung

    Antigen Affinity Purified

    Immunogen

    Recombinant Human Anterior gradient protein 2 homolog protein (21-175AA)

    Isotyp

    IgG
  • Applikationshinweise

    Optimal working dilution should be determined by the investigator.

    Beschränkungen

    Nur für Forschungszwecke einsetzbar
  • Format

    Liquid

    Buffer

    PBS with 0.02 % sodium azide, 50 % glycerol, pH 7.3.

    Konservierungsmittel

    Sodium azide

    Vorsichtsmaßnahmen

    This product contains Sodium azide: a POISONOUS AND HAZARDOUS SUBSTANCE which should be handled by trained staff only.

    Lagerung

    -20 °C,-80 °C

    Informationen zur Lagerung

    Upon receipt, store at -20°C or -80°C. Avoid repeated freeze.
  • Target

    AGR2 (Anterior Gradient Homolog 2 (Xenopus Laevis) (AGR2))

    Andere Bezeichnung

    AGR2

    Hintergrund

    Background: Required for MUC2 post-transcriptional synthesis and secretion. May play a role in the production of mucus by intestinal cells (By similarity). Proto-oncogene that may play a role in cell migration, cell differentiation and cell growth.

    Aliases: AG 2 antibody, AG 2 protein antibody, AG-2 antibody, AG2 antibody, AG2 protein antibody, AGR 2 antibody, AGR2 antibody, AGR2_HUMAN antibody, Anterior gradient 2 homolog (Xenopus laevis) antibody, anterior gradient 2 homolog antibody, Anterior gradient 2, protein disulphide isomerase family member antibody, Anterior gradient 2, Xenopus, homolog of antibody, Anterior gradient homolog 2 antibody, Anterior gradient protein 2 homolog antibody, Epididymis secretory protein Li 116 antibody, GOB 4 antibody, GOB4 antibody, HAG 2 antibody, hAG-2 antibody, hAG2 antibody, HAG2/R antibody, HEL S 116 antibody, HPC 8 antibody, hPC8 antibody, PDIA17 antibody, Protein disulfide isomerase family A member 17 antibody, secreted cement gland homolog antibody, Secreted cement gland protein XAG 2 homolog antibody, Secreted cement gland protein XAG-2 homolog antibody, Secreted cement gland protein XAG2 homolog antibody, XAG 2 antibody, XAG2 antibody

    UniProt

    O95994
Sie sind hier:
Chat with us!