STAT5A Antikörper (AA 61-160)
Kurzübersicht für STAT5A Antikörper (AA 61-160) (ABIN738276)
Target
Alle STAT5A Antikörper anzeigenReaktivität
Wirt
Klonalität
Konjugat
Applikation
-
-
Bindungsspezifität
- AA 61-160
-
Kreuzreaktivität
- Rind (Kuh), Human, Maus, Ratte
-
Homologie
- Dog,Cow,Pig,Horse,Rabbit
-
Aufreinigung
- Purified by Protein A.
-
Immunogen
- KLH conjugated synthetic peptide derived from human STAT5
-
Isotyp
- IgG
-
-
-
-
Applikationshinweise
-
WB 1:300-5000
ELISA 1:500-1000
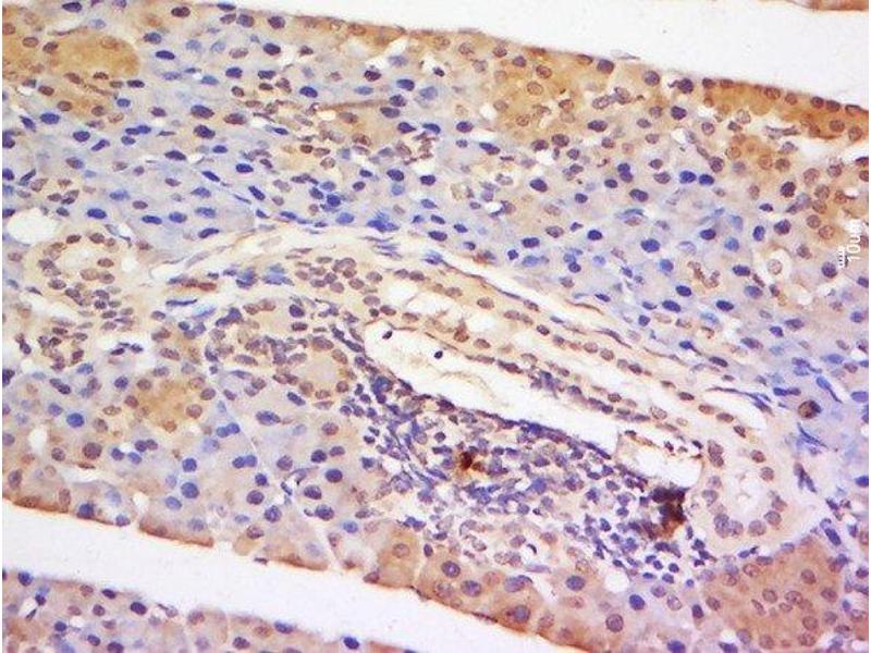
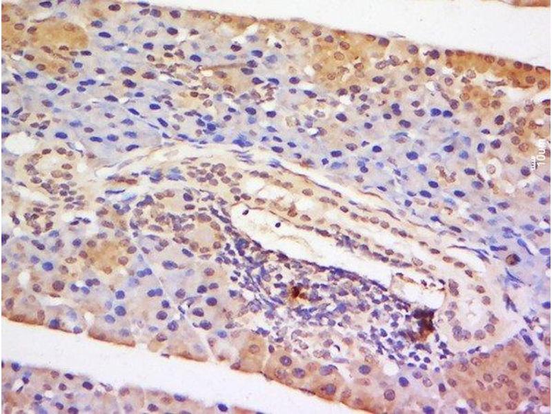
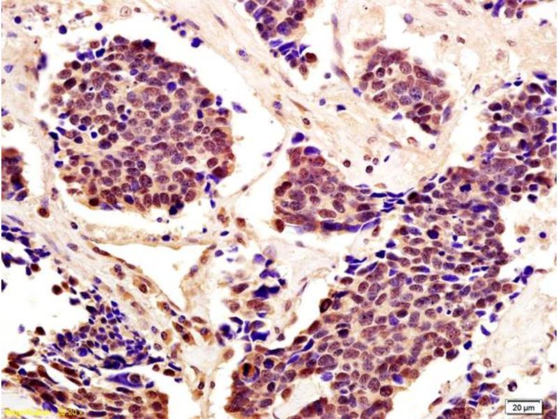
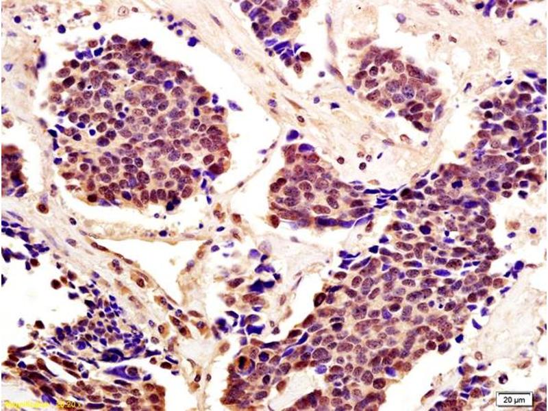
IHC-P 1:200-400
IHC-F 1:100-500
IF(IHC-P) 1:50-200
IF(IHC-F) 1:50-200
IF(ICC) 1:50-200 -
Beschränkungen
- Nur für Forschungszwecke einsetzbar
-
-
-
Format
- Liquid
-
Konzentration
- 1 μg/μL
-
Buffer
- 0.01M TBS( pH 7.4) with 1 % BSA, 0.02 % Proclin300 and 50 % Glycerol.
-
Konservierungsmittel
- ProClin
-
Vorsichtsmaßnahmen
- This product contains ProClin: a POISONOUS AND HAZARDOUS SUBSTANCE, which should be handled by trained staff only.
-
Lagerung
- 4 °C,-20 °C
-
Informationen zur Lagerung
- Shipped at 4°C. Store at -20°C for one year. Avoid repeated freeze/thaw cycles.
-
Haltbarkeit
- 12 months
-
-
-
: "Effect of suppressor of cytokine signaling 2 (SOCS2) on fat metabolism induced by growth hormone (GH) in porcine primary adipocyte." in: Molecular biology reports, Vol. 39, Issue 9, pp. 9113-22, (2012) (PubMed).
-
-
- STAT5A (Signal Transducer and Activator of Transcription 5A (STAT5A))
-
Andere Bezeichnung
- Stat5
-
Hintergrund
-
Synonyms: MGF, STAT5, Signal transducer and activator of transcription 5A, STAT5A
Background: Carries out a dual function: signal transduction and activation of transcription. Mediates cellular responses to the cytokine KITLG/SCF and other growth factors. Mediates cellular responses to ERBB4. May mediate cellular responses to activated FGFR1, FGFR2, FGFR3 and FGFR4. Binds to the GAS element and activates PRL-induced transcription. Regulates the expression of milk proteins during lactation.
-
Gen-ID
- 6776
-
UniProt
- P42229
-
Pathways
- JAK-STAT Signalweg, RTK Signalweg, Response to Growth Hormone Stimulus, C21-Steroid Hormone Metabolic Process, Regulation of Leukocyte Mediated Immunity, Positive Regulation of Immune Effector Process, CXCR4-mediated Signaling Events, Activated T Cell Proliferation
Target
-