Rekombinanter VAMP2 Antikörper
Kurzübersicht für Rekombinanter VAMP2 Antikörper (ABIN7800830)
Target
Alle VAMP2 Antikörper anzeigenAntikörpertyp
Reaktivität
Wirt
Klonalität
Konjugat
Applikation
Güteklasse
Klon
-
-
Expressionssystem
- HEK-293 Cells
-
Verwendungszweck
- KD-Validated Vesicle associated membrane protein 2 Recombinant Rabbit mAb
-
Kreuzreaktivität
- Maus, Ratte
-
Aufreinigung
- Affinity Purified
-
Immunogen
- A synthesized peptide derived from human VAMP2
-
Isotyp
- IgG
-
-
-
-
Applikationshinweise
- Western Blotting (WB): 1:1,000-1:5,000, Flow Cytometry (FCM): 1:200-1:2,000
-
Kommentare
-
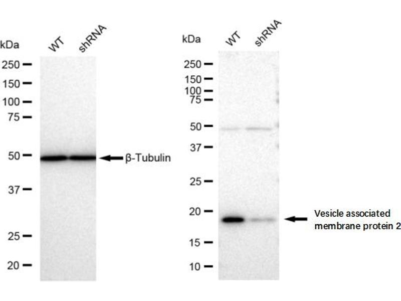
We assess the antibodies’ specificity and selectivity using knockdown techniques. Our validation approach is straightforward: if an antibody identifies a signal in wild-type (WT) cells, but this signal is absent or noticeably reduced in gene-silenced (KD) cells, we consider the antibody to be highly specific.
-
Beschränkungen
- Nur für Forschungszwecke einsetzbar
-
-
-
Format
- Liquid
-
Buffer
- PBS (pH 7.4) containing 50% glycerol and 0.02% sodium azide.
-
Konservierungsmittel
- Sodium azide
-
Vorsichtsmaßnahmen
- This product contains Sodium azide: a POISONOUS AND HAZARDOUS SUBSTANCE which should be handled by trained staff only.
-
Lagerung
- -20 °C
-
Informationen zur Lagerung
- Store at -20 °C for one year.
-
Haltbarkeit
- 12 months
-
-
- VAMP2 (Vesicle-Associated Membrane Protein 2 (Synaptobrevin 2) (VAMP2))
-
Andere Bezeichnung
- Vesicle associated membrane protein 2
-
Molekulargewicht
- 13 kDa
-
Gen-ID
- 6844
-
UniProt
- P63027
-
Pathways
- Peptide Hormone Metabolism, Synaptic Vesicle Exocytosis, Dicarboxylic Acid Transport
Target
-