VAMP2 Antikörper (AA 1-89)
Kurzübersicht für VAMP2 Antikörper (AA 1-89) (ABIN364330)
Target
Alle VAMP2 Antikörper anzeigenReaktivität
Wirt
Klonalität
Konjugat
Applikation
Klon
-
-
Bindungsspezifität
- AA 1-89
-
Aufreinigung
- Protein G purified
-
Immunogen
-
Recombinant human Synaptobrevin 2 (1-89aa) purified from E. coli.
Type of Immunogen: Recombinant protein -
Isotyp
- IgG1 kappa
-
-
-
-
Applikationshinweise
-
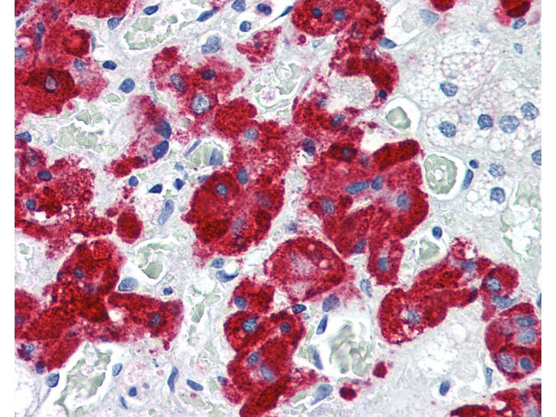
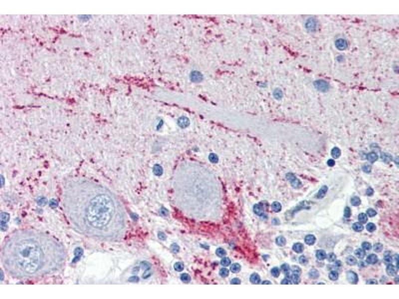
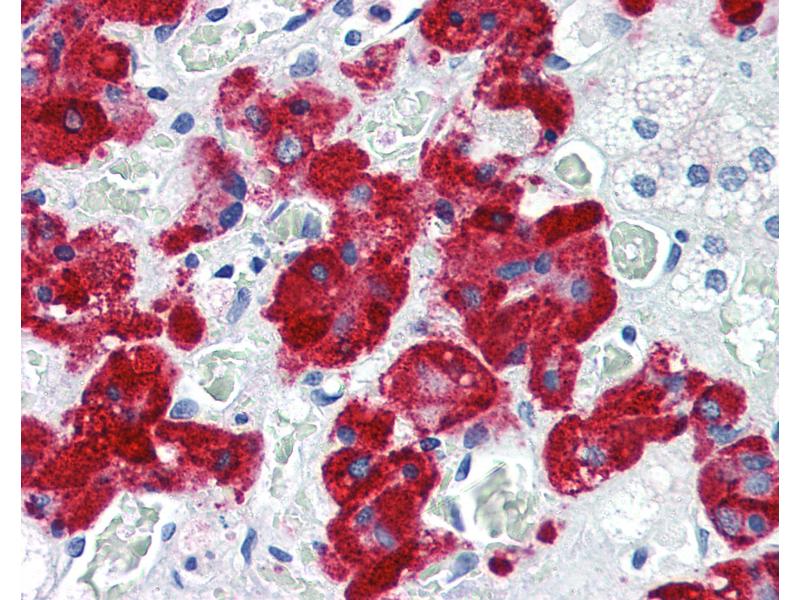
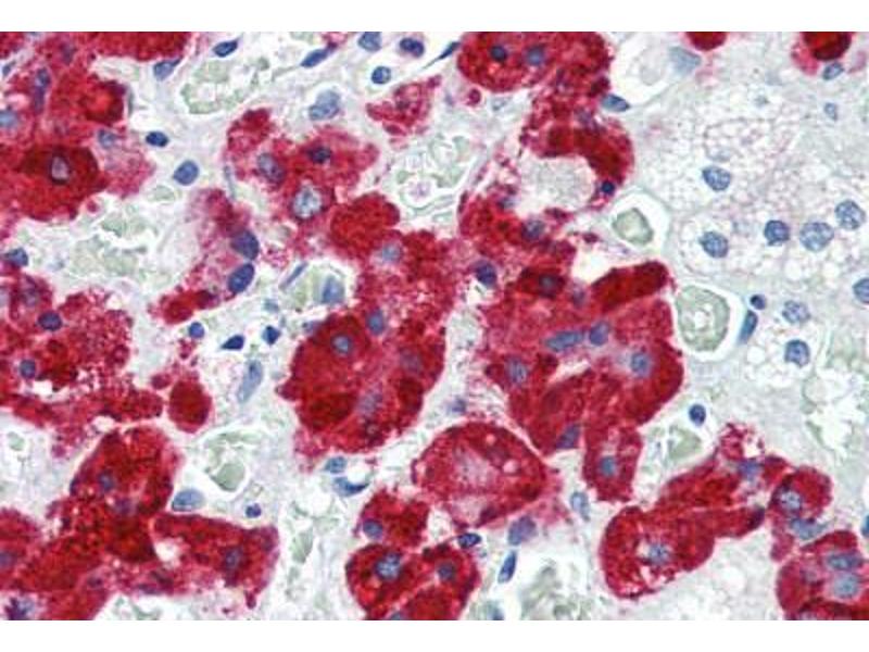
Approved: ELISA, IHC, IHC-P (10 μg/mL), WB (1:1000 - 1:2000)
Usage: Immunohistochemistry: This antibody was validated for use in immunohistochemistry on a panel of 21 formalin-fixed, paraffin-embedded (FFPE) human tissues after heat induced antigen retrieval in pH 6.0 citrate buffer. After incubation with the primary antibody, slides were incubated with biotinylated secondary antibody, followed by alkaline phosphatase-streptavidin and chromogen. The stained slides were evaluated by a pathologist to confirm staining specificity. The optimal working concentration for this antibody was determined to be 10 μg/mL. -
Kommentare
-
Target Species of Antibody: Human
-
Beschränkungen
- Nur für Forschungszwecke einsetzbar
-
-
-
Format
- Liquid
-
Konzentration
- Lot specific
-
Buffer
- PBS, pH 7.4, 0.02 % sodium azide, 10 % Glycerol
-
Konservierungsmittel
- Sodium azide
-
Vorsichtsmaßnahmen
- This product contains Sodium azide: a POISONOUS AND HAZARDOUS SUBSTANCE which should be handled by trained staff only.
-
Handhabung
- Avoid freeze-thaw cycles.
-
Lagerung
- 4 °C,-20 °C
-
Informationen zur Lagerung
- Short term: 4°C. Long term: Store at -20°C. Avoid freeze-thaw cycles.
-
Haltbarkeit
- 12 months
-
-
- VAMP2 (Vesicle-Associated Membrane Protein 2 (Synaptobrevin 2) (VAMP2))
-
Andere Bezeichnung
- VAMP2 / VAMP-2
-
Hintergrund
-
Name/Gene ID: VAMP2
Family: Synaptobrevin
Synonyms: VAMP2, SYB2, Synaptobrevin 2, VAMP-2, Synaptobrevin-2 -
Gen-ID
- 6844
-
UniProt
- P63027
-
Pathways
- Peptide Hormone Metabolism, Synaptic Vesicle Exocytosis, Dicarboxylic Acid Transport
Target
-