Telefon:
+49 (0)241 95 163 153
Fax:
+49 (0)241 95 163 155
E-Mail:
orders@antikoerper-online.de

Rekombinanter NFkB Antikörper (Subunit 2)

Der Kaninchen Monoklonal anti-NFkB Antikörper (Klon 25GB2990) (ABIN7799635) detektiert spezifisch NFkB in WB und FACS. Dieser Antikörper reagiert spezifisch mit Proben aus Human.
Produktnummer ABIN7799635
598,92 €
Zzgl. Versandkosten 20,00 € und MwSt
100 μL
Lieferung nach: Deutschland
Lieferung in 7 bis 10 Werktagen

Kurzübersicht für Rekombinanter NFkB Antikörper (Subunit 2) (ABIN7799635)

Target

Alle NFkB Antikörper anzeigen
NFkB (Nuclear Factor kappa B (NFkB))

Antikörpertyp

Recombinant Antibody

Reaktivität

  • 26
  • 17
  • 13
  • 2
  • 2
  • 2
Human

Wirt

  • 33
  • 4
Kaninchen

Klonalität

  • 22
  • 15
Monoklonal

Konjugat

  • 24
  • 5
  • 1
  • 1
  • 1
  • 1
  • 1
  • 1
  • 1
  • 1
  • 1
Dieser NFkB Antikörper ist unkonjugiert

Applikation

  • 33
  • 27
  • 12
  • 11
  • 5
  • 4
  • 3
  • 1
  • 1
  • 1
Western Blotting (WB), Flow Cytometry (FACS)

Güteklasse

KD Validated

Klon

25GB2990
  • Bindungsspezifität

    • 6
    • 2
    • 2
    • 1
    • 1
    • 1
    • 1
    • 1
    • 1
    • 1
    • 1
    • 1
    Subunit 2

    Expressionssystem

    HEK-293 Cells

    Verwendungszweck

    KD-Validated Nuclear Factor Kappa B Subunit 2 Recombinant Rabbit mAb

    Kreuzreaktivität

    Maus, Ratte

    Aufreinigung

    Affinity Purified

    Immunogen

    A synthesized peptide derived from human NFkB p100 / p52

    Isotyp

    IgG
  • Applikationshinweise

    Western Blotting (WB): 1:1,000-1:5,000, Flow Cytometry (FCM): 1:200-1:2,000

    Kommentare

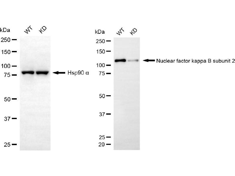
    We assess the antibodies’ specificity and selectivity using knockdown techniques. Our validation approach is straightforward: if an antibody identifies a signal in wild-type (WT) cells, but this signal is absent or noticeably reduced in gene-silenced (KD) cells, we consider the antibody to be highly specific.

    Beschränkungen

    Nur für Forschungszwecke einsetzbar
  • Format

    Liquid

    Buffer

    PBS (pH 7.4) containing 50% glycerol and 0.02% sodium azide.

    Konservierungsmittel

    Sodium azide

    Vorsichtsmaßnahmen

    This product contains Sodium azide: a POISONOUS AND HAZARDOUS SUBSTANCE which should be handled by trained staff only.

    Lagerung

    -20 °C

    Informationen zur Lagerung

    Store at -20 °C for one year.

    Haltbarkeit

    12 months
  • Target

    NFkB (Nuclear Factor kappa B (NFkB))

    Andere Bezeichnung

    Nuclear Factor Kappa B

    Molekulargewicht

    97 kDa

    Gen-ID

    4791

    UniProt

    Q00653

    Pathways

    Ubiquitin Proteasome Pathway, S100 Proteine
Sie sind hier:
Chat with us!