Rekombinanter CDKN1B Antikörper
Kurzübersicht für Rekombinanter CDKN1B Antikörper (ABIN7798223)
Target
Alle CDKN1B Antikörper anzeigenAntikörpertyp
Reaktivität
Wirt
Klonalität
Konjugat
Applikation
Güteklasse
Klon
-
-
Expressionssystem
- HEK-293 Cells
-
Verwendungszweck
- KD-Validated Cyclin dependent kinase inhibitor 1B Recombinant Rabbit mAb
-
Kreuzreaktivität
- Maus, Ratte
-
Aufreinigung
- Affinity Purified
-
Immunogen
- A synthesized peptide derived from human p27 KIP 1
-
Isotyp
- IgG
-
-
-
-
Applikationshinweise
- Western Blotting (WB): 1:1,000-1:5,000, Flow Cytometry (FCM): 1:200-1:2,000, Immunocytochemistry (ICC): 1:100-1:1,000
-
Kommentare
-
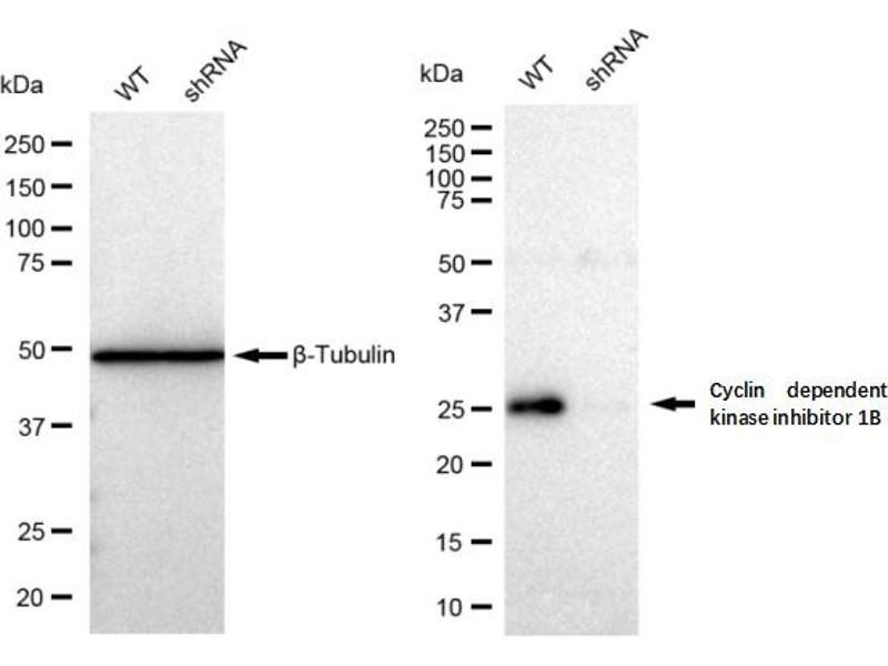
We assess the antibodies’ specificity and selectivity using knockdown techniques. Our validation approach is straightforward: if an antibody identifies a signal in wild-type (WT) cells, but this signal is absent or noticeably reduced in gene-silenced (KD) cells, we consider the antibody to be highly specific.
-
Beschränkungen
- Nur für Forschungszwecke einsetzbar
-
-
-
Format
- Liquid
-
Buffer
- PBS (pH 7.4) containing 50% glycerol and 0.02% sodium azide.
-
Konservierungsmittel
- Sodium azide
-
Vorsichtsmaßnahmen
- This product contains Sodium azide: a POISONOUS AND HAZARDOUS SUBSTANCE which should be handled by trained staff only.
-
Lagerung
- -20 °C
-
Informationen zur Lagerung
- Store at -20 °C for one year.
-
Haltbarkeit
- 12 months
-
-
- CDKN1B (Cyclin-Dependent Kinase Inhibitor 1B (p27, Kip1) (CDKN1B))
-
Andere Bezeichnung
- Cyclin dependent kinase inhibitor 1B
-
Molekulargewicht
- 22 kDa
-
Gen-ID
- 1027
-
UniProt
- P46527
-
Pathways
- Zellzyklus, Fc-epsilon Rezeptor Signalübertragung, EGFR Signaling Pathway, Neurotrophin Signalübertragung, Positive Regulation of Peptide Hormone Secretion, Negative Regulation of Hormone Secretion, Sensory Perception of Sound, Mitotic G1-G1/S Phases, DNA Replication, Positive Regulation of Endopeptidase Activity, Synthesis of DNA, Autophagie
Target
-