Telefon:
+49 (0)241 95 163 153
Fax:
+49 (0)241 95 163 155
E-Mail:
orders@antikoerper-online.de

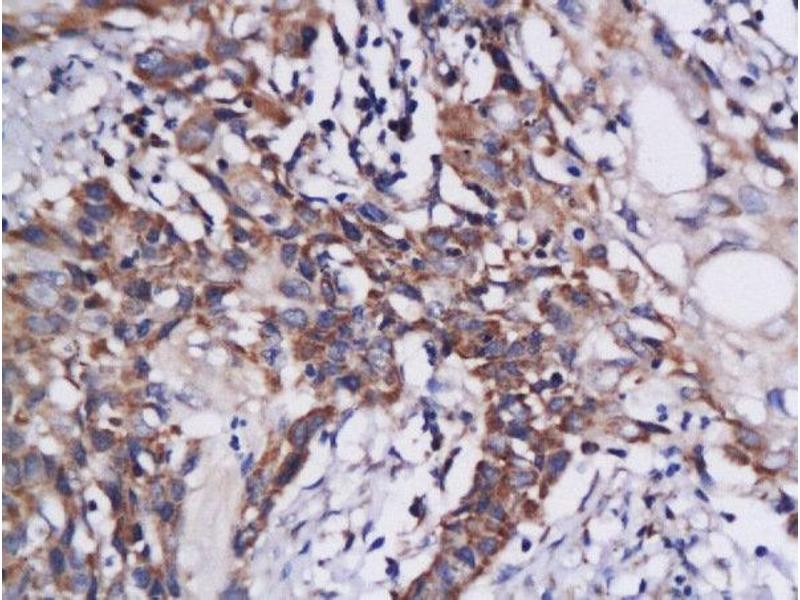
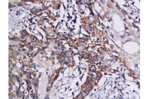
DAP Kinase 1 Antikörper (AA 1331-1430)

Es gibt 1 Publikation für dieses Produkt. Der Kaninchen Polyklonal anti-DAP Kinase 1 Antikörper wird verwendet zum Nachweis von DAP Kinase 1 in Proben von Human. Er wurde validiert für WB, ELISA, IHC (p), IF (cc), IF (p) und IHC (fro).
Produktnummer ABIN732983
357,70 €
Zzgl. Versandkosten 20,00 € und MwSt
100 μL
Lieferung nach: Deutschland
Lieferung in 8 bis 12 Werktagen

Kurzübersicht für DAP Kinase 1 Antikörper (AA 1331-1430) (ABIN732983)

Target

Alle DAP Kinase 1 (DAPK1) Antikörper anzeigen
DAP Kinase 1 (DAPK1) (Death-Associated Protein Kinase 1 (DAPK1))

Reaktivität

  • 76
  • 44
  • 19
  • 3
  • 2
  • 2
  • 1
  • 1
Human

Wirt

  • 72
  • 4
Kaninchen

Klonalität

  • 60
  • 16
Polyklonal

Konjugat

  • 36
  • 5
  • 3
  • 3
  • 2
  • 2
  • 2
  • 2
  • 2
  • 2
  • 2
  • 2
  • 1
  • 1
  • 1
  • 1
  • 1
  • 1
  • 1
  • 1
  • 1
  • 1
  • 1
  • 1
  • 1
Dieser DAP Kinase 1 Antikörper ist unkonjugiert

Applikation

  • 62
  • 31
  • 28
  • 12
  • 12
  • 10
  • 8
  • 2
  • 2
  • 1
  • 1
  • 1
  • 1
  • 1
Western Blotting (WB), ELISA, Immunohistochemistry (Paraffin-embedded Sections) (IHC (p)), Immunofluorescence (Cultured Cells) (IF (cc)), Immunofluorescence (Paraffin-embedded Sections) (IF (p)), Immunohistochemistry (Frozen Sections) (IHC (fro))
  • Bindungsspezifität

    • 14
    • 7
    • 7
    • 6
    • 4
    • 4
    • 3
    • 3
    • 2
    • 1
    • 1
    • 1
    • 1
    • 1
    • 1
    • 1
    • 1
    • 1
    • 1
    • 1
    AA 1331-1430

    Homologie

    Human,Mouse,Rat

    Aufreinigung

    Purified by Protein A.

    Immunogen

    KLH conjugated synthetic peptide derived from human DAPK1

    Isotyp

    IgG
  • Applikationshinweise

    WB 1:300-5000
    ELISA 1:500-1000
    IHC-P 1:200-400
    IHC-F 1:100-500
    IF(IHC-P) 1:50-200
    IF(IHC-F) 1:50-200
    IF(ICC) 1:50-200

    Beschränkungen

    Nur für Forschungszwecke einsetzbar
  • Format

    Liquid

    Konzentration

    1 μg/μL

    Buffer

    0.01M TBS( pH 7.4) with 1 % BSA, 0.02 % Proclin300 and 50 % Glycerol.

    Konservierungsmittel

    ProClin

    Vorsichtsmaßnahmen

    This product contains ProClin: a POISONOUS AND HAZARDOUS SUBSTANCE, which should be handled by trained staff only.

    Lagerung

    4 °C,-20 °C

    Informationen zur Lagerung

    Shipped at 4°C. Store at -20°C for one year. Avoid repeated freeze/thaw cycles.

    Haltbarkeit

    12 months
  • Liu, Ao, Zhou, Cui, Zhou, Yuan, Xiang, Cao, Liu: "CpG island hypermethylation of multiple tumor suppressor genes associated with loss of their protein expression during rat lung carcinogenesis induced by 3-methylcholanthrene and diethylnitrosamine." in: Biochemical and biophysical research communications, Vol. 402, Issue 3, pp. 507-14, (2010) (PubMed).

  • Target

    DAP Kinase 1 (DAPK1) (Death-Associated Protein Kinase 1 (DAPK1))

    Andere Bezeichnung

    DAPK1

    Hintergrund

    Synonyms: DAPK, Death-associated protein kinase 1, DAP kinase 1, DAPK1

    Background: Calcium/calmodulin-dependent serine/threonine kinase involved in multiple cellular signaling pathways that trigger cell survival, apoptosis, and autophagy. Regulates both type I apoptotic and type II autophagic cell deaths signal, depending on the cellular setting. The former is caspase-dependent, while the latter is caspase-independent and is characterized by the accumulation of autophagic vesicles. Phosphorylates PIN1 resulting in inhibition of its catalytic activity, nuclear localization, and cellular function. Phosphorylates TPM1, enhancing stress fiber formation in endothelial cells. Phosphorylates STX1A and significantly decreases its binding to STXBP1. Phosphorylates PRKD1 and regulates JNK signaling by binding and activating PRKD1 under oxidative stress. Phosphorylates BECN1, reducing its interaction with BCL2 and BCL2L1 and promoting the induction of autophagy. Phosphorylates TSC2, disrupting the TSC1-TSC2 complex and stimulating mTORC1 activity in a growth factor-dependent pathway. Phosphorylates RPS6, MYL9 and DAPK3. Acts as a signaling amplifier of NMDA receptors at extrasynaptic sites for mediating brain damage in stroke. Cerebral ischemia recruits DAPK1 into the NMDA receptor complex and it phosphorylates GRINB at Ser-133 inducing injurious Ca(2+) influx through NMDA receptor channels, resulting in an irreversible neuronal death. Required together with DAPK3 for phosphorylation of RPL13A upon interferon-gamma activation which is causing RPL13A involvement in transcript-selective translation inhibition. Isoform 2 cannot induce apoptosis but can induce membrane blebbing.

    Gen-ID

    1612

    UniProt

    P53355

    Pathways

    MAPK Signalweg, Interferon-gamma Pathway
Sie sind hier:
Chat with us!