Telefon:
+49 (0)241 95 163 153
Fax:
+49 (0)241 95 163 155
E-Mail:
orders@antikoerper-online.de

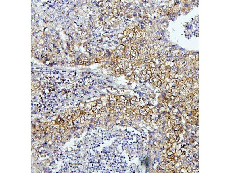
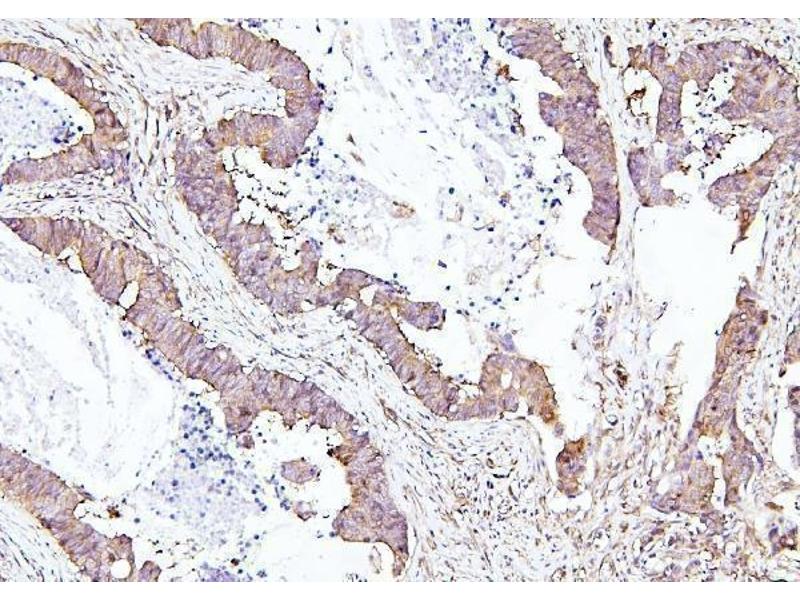
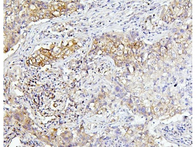
EIF4A1 Antikörper (AA 32-406)

Der Kaninchen Polyklonal anti-EIF4A1 Antikörper (ABIN7601309) detektiert spezifisch EIF4A1 in WB, IF, ICC, IHC, ELISA und FACS. Dieser Antikörper reagiert spezifisch mit Proben aus Human, Ratte und Maus.
Produktnummer ABIN7601309
500,50 €
Zzgl. Versandkosten 20,00 € und MwSt
100 μg
Lieferung nach: Deutschland
Lieferung in 8 bis 12 Werktagen

Kurzübersicht für EIF4A1 Antikörper (AA 32-406) (ABIN7601309)

Target

Alle EIF4A1 Antikörper anzeigen
EIF4A1 (Eukaryotic Translation Initiation Factor 4A1 (EIF4A1))

Reaktivität

  • 51
  • 35
  • 35
  • 4
  • 4
  • 4
  • 4
  • 4
  • 4
  • 3
  • 2
  • 1
  • 1
  • 1
Human, Ratte, Maus

Wirt

  • 45
  • 6
Kaninchen

Klonalität

  • 31
  • 20
Polyklonal

Konjugat

  • 33
  • 2
  • 2
  • 2
  • 2
  • 2
  • 2
  • 2
  • 2
  • 2
Dieser EIF4A1 Antikörper ist unkonjugiert

Applikation

  • 51
  • 33
  • 27
  • 11
  • 8
  • 7
  • 6
  • 5
  • 1
Western Blotting (WB), Immunofluorescence (IF), Immunocytochemistry (ICC), Immunohistochemistry (IHC), ELISA, Flow Cytometry (FACS)
  • Bindungsspezifität

    • 6
    • 3
    • 2
    • 2
    • 1
    • 1
    • 1
    • 1
    • 1
    • 1
    • 1
    AA 32-406

    Verwendungszweck

    Anti-EIF4A1/2/3 Antibody

    Kreuzreaktivität (Details)

    No cross-reactivity with other proteins.

    Produktmerkmale

    Anti-EIF4A1/2/3 Antibody (ABIN7601309). Tested in ELISA, Flow Cytometry, IF, IHC, ICC, WB applications. This antibody reacts with Human, Mouse, Rat. This is a premium antibody that guarantees superior quality, high affinity, and strong signals with minimal background in Western blot applications.

    Aufreinigung

    Immunogen affinity purified.

    Immunogen

    E.coli-derived human EIF4A1/2/3 recombinant protein (Position: D32-I406 ).

    Isotyp

    IgG
  • Applikationshinweise

    Western blot, 0.1-0.25 μg/mL, Human,Mouse, Rat
    Immunohistochemistry (Paraffin-embedded Section), 0.5-1 μg/mL, Human, Mouse, Rat
    Immunocytochemistry/Immunofluorescence, 2 μg/mL, Human
    Flow Cytometry (Fixed), 1-3 μg/1x106 cells, Human
    ELISA, 0.1-0.5 μg/mL, -

    Beschränkungen

    Nur für Forschungszwecke einsetzbar
  • Format

    Lyophilized

    Rekonstitution

    Add 0.2 mL of distilled water will yield a concentration of 500 μg/mL.

    Konzentration

    500 μg/mL

    Buffer

    Each vial contains 4 mg Trehalose, 0.9 mg NaCl, 0.2 mg Na2HPO4, 0.05 mg Sodium azide.

    Konservierungsmittel

    Sodium azide

    Vorsichtsmaßnahmen

    This product contains Sodium azide: a POISONOUS AND HAZARDOUS SUBSTANCE which should be handled by trained staff only.

    Lagerung

    4 °C,-20 °C

    Informationen zur Lagerung

    Store at -20°C for one year from date of receipt. After reconstitution, at 4°C for one month.
    It can also be aliquotted and stored frozen at -20°C for six months. Avoid repeated freeze-thaw cycles.
  • Target

    EIF4A1 (Eukaryotic Translation Initiation Factor 4A1 (EIF4A1))

    Andere Bezeichnung

    EIF4A1

    Hintergrund

    Synonyms: Eukaryotic initiation factor 4A-I, eIF-4A-I, eIF4A-I, ATP-dependent RNA helicase eIF4A-1, EIF4A1, DDX2A, EIF4A

    Tissue Specificity: Adipocytes.

    Background: Eukaryotic initiation factor 4A-I is a protein that in humans is encoded by the EIF4A1 gene. It is mapped to 17p13.1. EIF4A1 has been shown to interact with EIF4E and eukaryotic translation initiation factor 4 gamma.

    Molekulargewicht

    46 kDa

    Gen-ID

    1973

    UniProt

    P60842
Sie sind hier:
Chat with us!