Telefon:
+49 (0)241 95 163 153
Fax:
+49 (0)241 95 163 155
E-Mail:
orders@antikoerper-online.de

Poliovirus Receptor Antikörper (AA 28-331)

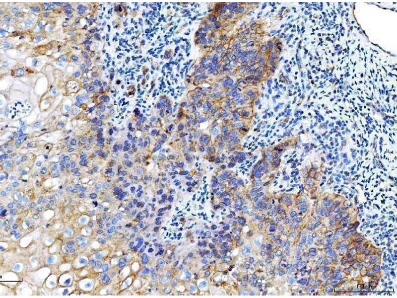
Der Maus Monoklonal anti-Poliovirus Receptor Antikörper (Klon 9B9F1) (ABIN7601072) detektiert spezifisch Poliovirus Receptor in WB und IHC. Dieser Antikörper reagiert spezifisch mit Proben aus Human und Maus.
Produktnummer ABIN7601072
500,50 €
Zzgl. Versandkosten 20,00 € und MwSt
100 μg
Lieferung nach: Deutschland
Lieferung in 8 bis 12 Werktagen

Kurzübersicht für Poliovirus Receptor Antikörper (AA 28-331) (ABIN7601072)

Target

Alle Poliovirus Receptor (PVR) Antikörper anzeigen
Poliovirus Receptor (PVR)

Reaktivität

  • 89
  • 22
  • 6
  • 1
Human, Maus

Wirt

  • 71
  • 20
  • 11
  • 3
Maus

Klonalität

  • 62
  • 42
  • 1
Monoklonal

Konjugat

  • 54
  • 6
  • 6
  • 6
  • 4
  • 3
  • 3
  • 3
  • 3
  • 3
  • 3
  • 3
  • 2
  • 2
  • 2
  • 1
  • 1
Dieser Poliovirus Receptor Antikörper ist unkonjugiert

Applikation

  • 61
  • 31
  • 29
  • 27
  • 19
  • 15
  • 5
  • 2
  • 1
  • 1
  • 1
  • 1
  • 1
  • 1
  • 1
  • 1
  • 1
Western Blotting (WB), Immunohistochemistry (IHC)

Klon

9B9F1
  • Bindungsspezifität

    • 10
    • 5
    • 3
    • 3
    • 3
    • 2
    • 2
    • 2
    • 2
    • 1
    • 1
    • 1
    • 1
    • 1
    • 1
    • 1
    • 1
    • 1
    • 1
    • 1
    • 1
    • 1
    AA 28-331

    Verwendungszweck

    Anti-Poliovirus Receptor/PVR Antibody (monoclonal, 9B9F1)

    Kreuzreaktivität (Details)

    No cross-reactivity with other proteins.

    Produktmerkmale

    Anti-Poliovirus Receptor/PVR Antibody (monoclonal, 9B9F1) (ABIN7601072). Tested in IHC, WB applications. This antibody reacts with Human, Mouse. This is a premium antibody that guarantees superior quality, high affinity, and strong signals with minimal background in Western blot applications.

    Aufreinigung

    Immunogen affinity purified.

    Immunogen

    E.coli-derived human Poliovirus Receptor/PVR recombinant protein (Position: D28-E331).

    Isotyp

    IgG1
  • Applikationshinweise

    Western blot, 0.25-0.5 μg/mL, Human
    Immunohistochemistry(Paraffin-embedded Section), 2-5 μg/mL, Human, Mouse

    Beschränkungen

    Nur für Forschungszwecke einsetzbar
  • Format

    Lyophilized

    Rekonstitution

    Adding 0.2 mL of distilled water will yield a concentration of 500 μg/mL.

    Konzentration

    500 μg/mL

    Buffer

    Each vial contains 4 mg Trehalose, 0.9 mg NaCl and 0.2 mg Na2HPO4.

    Lagerung

    4 °C,-20 °C

    Informationen zur Lagerung

    At -20°C for one year from date of receipt. After reconstitution, at 4°C for one month.
    It can also be aliquotted and stored frozen at -20°C for six months. Avoid repeated freezing and thawing.
  • Target

    Poliovirus Receptor (PVR)

    Andere Bezeichnung

    PVR

    Hintergrund

    Synonyms: Major vault protein, MVP, Lung resistance-related protein, MVP, LRP

    Tissue Specificity: Present in most normal tissues. Higher expression observed in epithelial cells with secretory and excretory functions, as well as in cells chronically exposed to xenobiotics, such as bronchial cells and cells lining the intestine. Overexpressed in many multidrug-resistant cancer cells.

    Background: CD155 (cluster of differentiation 155) also known as the poliovirus receptor is a protein that in humans is encoded by the PVR gene. The protein encoded by this gene is a transmembrane glycoprotein belonging to the immunoglobulin superfamily. The external domain mediates cell attachment to the extracellular matrix molecule vitronectin, while its intracellular domain interacts with the dynein light chain Tctex-1/DYNLT1. The gene is specific to the primate lineage, and serves as a cellular receptor for poliovirus in the first step of poliovirus replication. Multiple transcript variants encoding different isoforms have been found for this gene.

    Molekulargewicht

    70-80 kDa

    Gen-ID

    5817

    UniProt

    P15151

    Pathways

    Regulation of Leukocyte Mediated Immunity, Positive Regulation of Immune Effector Process, Cell-Cell Junction Organization, Cancer Immune Checkpoints, SARS-CoV-2 Protein Interaktom
Sie sind hier:
Chat with us!