Telefon:
+49 (0)241 95 163 153
Fax:
+49 (0)241 95 163 155
E-Mail:
orders@antikoerper-online.de

MUC16 Antikörper

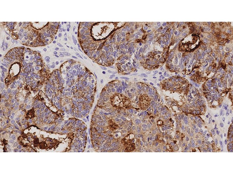
Der Maus Monoklonal anti-MUC16 Antikörper (Klon Ov185:1) (ABIN7538844) detektiert spezifisch MUC16 in IHC, IHC (p) und HIER. Dieser Antikörper reagiert spezifisch mit Proben aus Human.
Produktnummer ABIN7538844
732,18 €
Zzgl. Versandkosten 20,00 € und MwSt
1 mL
Lieferung nach: Deutschland
Lieferung in 5 bis 7 Werktagen

Kurzübersicht für MUC16 Antikörper (ABIN7538844)

Target

Alle MUC16 (CA125) Antikörper anzeigen
MUC16 (CA125) (Mucin 16, Cell Surface Associated (CA125))

Reaktivität

  • 144
  • 9
  • 4
Human

Wirt

  • 81
  • 67
  • 4
  • 2
  • 1
Maus

Klonalität

  • 109
  • 41
  • 3
Monoklonal

Konjugat

  • 61
  • 20
  • 9
  • 6
  • 5
  • 5
  • 4
  • 4
  • 4
  • 4
  • 4
  • 4
  • 3
  • 2
  • 2
  • 2
  • 2
  • 2
  • 2
  • 2
  • 2
  • 2
  • 1
  • 1
Dieser MUC16 Antikörper ist unkonjugiert

Applikation

  • 65
  • 60
  • 40
  • 20
  • 19
  • 18
  • 15
  • 5
  • 4
  • 3
  • 2
  • 2
  • 2
  • 1
  • 1
  • 1
  • 1
  • 1
Immunohistochemistry (IHC), Immunohistochemistry (Paraffin-embedded Sections) (IHC (p)), Heat-induced Epitope Retrieval (HIER)

Klon

Ov185:1
  • Verwendungszweck

    Liquid Mouse Monoclonal Antibody CA125 (Ovarian Cancer Antigen)

    Spezifität

    Repetitive protein determinant expressed in the protein core of the CA125 human ovarian cancer antigen.

    Produktmerkmale

    This product is intended for the qualitative identification by light microscopy of CA125 (Ovarian Cancer Antigen) molecules in paraffin sections.

    Aufreinigung

    Purified IgG fraction

    Immunogen

    A partially purified mucin fraction from a pool of cancer tissue from patients with epithelial ovarian cancer.

    Isotyp

    IgG1
  • Applikationshinweise

    Immunohistochemistry on paraffin sections. Heat Induced Epitope Retrieval (HIER): Epitope Retrieval Solution pH 6. Suggested dilution: 1:100 for 30 minutes at 25 °C. This is provided as a guide and users should determine their own optimal working dilutions. Immunohistochemical (IHC) staining techniques allow for the visualization of antigens via the sequential application of a specific antibody to the antigen (primary antibody), a secondary antibody to the primary antibody and an enzyme complex with a chromogenic substrate with interposed washing steps. The enzymatic activation of the chromogen results in a visible reaction product at the antigen site. The specimen may then be counterstained and coverslipped. Results are interpreted using a light microscope.

    Beschränkungen

    Nur für Forschungszwecke einsetzbar
  • Format

    Liquid

    Konzentration

    12.5 mg/L

    Buffer

    This product is a purified IgG fraction presented in phosphate-buffered saline ( pH 7.6) with 1 % bovine serum albumin carrier protein and containing 15 mM sodium azide as a preservative.

    Konservierungsmittel

    Sodium azide

    Vorsichtsmaßnahmen

    This product contains Sodium azide: a POISONOUS AND HAZARDOUS SUBSTANCE which should be handled by trained staff only.

    Lagerung

    4 °C

    Informationen zur Lagerung

    Store at 2-8 °C. Do not freeze. Return to 2-8 °C immediately after use. Do not use after expiration date indicated on the vial label. Storage conditions other than those specified above must be verified by the user.

    Haltbarkeit

    12 months
  • Target

    MUC16 (CA125) (Mucin 16, Cell Surface Associated (CA125))

    Andere Bezeichnung

    CA125
Sie sind hier:
Chat with us!