Rekombinanter MUC16 Antikörper
Kurzübersicht für Rekombinanter MUC16 Antikörper (ABIN7127379)
Target
Alle MUC16 (CA125) Antikörper anzeigenAntikörpertyp
Reaktivität
Wirt
Klonalität
Konjugat
Applikation
Klon
-
-
Verwendungszweck
- MUC16 Recombinant Monoclonal Antibody
-
Aufreinigung
- Affinity-chromatography
-
Immunogen
- A synthesized peptide derived from human CA-125 (MUC16)
-
Isotyp
- IgG
-
-
-
-
Applikationshinweise
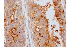
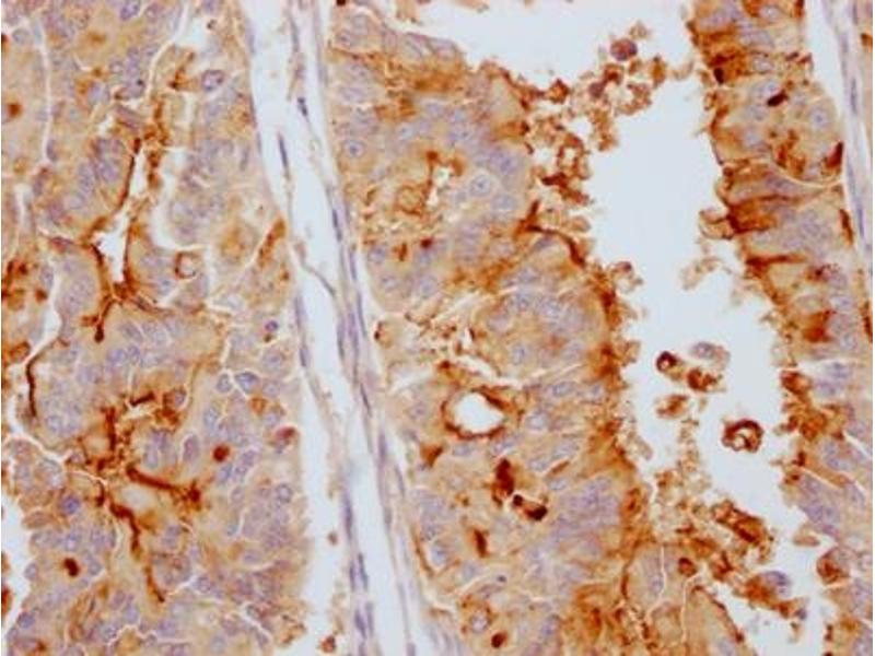
- IHC:1:50-1:200
-
Beschränkungen
- Nur für Forschungszwecke einsetzbar
-
-
-
Format
- Liquid
-
Buffer
- phosphate buffered saline, pH 7.4, 150 mM NaCl, 0.02 % sodium azide and 50 % glycerol.
-
Konservierungsmittel
- Sodium azide
-
Vorsichtsmaßnahmen
- This product contains Sodium azide: a POISONOUS AND HAZARDOUS SUBSTANCE which should be handled by trained staff only.
-
Lagerung
- -20 °C,-80 °C
-
Informationen zur Lagerung
- Upon receipt, store at -20°C or -80°C. Avoid repeated freeze.
-
-
- MUC16 (CA125) (Mucin 16, Cell Surface Associated (CA125))
-
Andere Bezeichnung
- MUC16
-
Hintergrund
-
Background: Thought to provide a protective, lubricating barrier against particles and infectious agents at mucosal surfaces.
Aliases: Mucin-16 (MUC-16) (Ovarian cancer-related tumor marker CA125) (CA-125) (Ovarian carcinoma antigen CA125), MUC16, CA125
-
UniProt
- Q8WXI7
Target
-