Telefon:
+49 (0)241 95 163 153
Fax:
+49 (0)241 95 163 155
E-Mail:
orders@antikoerper-online.de

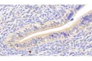
MUC16 Antikörper (AA 2-258)

Der Kaninchen Polyklonal anti-MUC16 Antikörper (ABIN7431221) detektiert spezifisch MUC16 in IHC, WB, ICC und IP. Dieser Antikörper reagiert spezifisch mit Proben aus Maus.
Produktnummer ABIN7431221
293,45 €
Zzgl. Versandkosten 20,00 € und MwSt
Lieferung nach: Deutschland
Lieferung in 11 bis 15 Werktagen

Kurzübersicht für MUC16 Antikörper (AA 2-258) (ABIN7431221)

Target

Alle MUC16 (CA125) Antikörper anzeigen
MUC16 (CA125) (Mucin 16, Cell Surface Associated (CA125))

Reaktivität

  • 155
  • 7
  • 3
Maus

Wirt

  • 84
  • 74
  • 4
  • 2
  • 1
Kaninchen

Klonalität

  • 121
  • 39
  • 3
Polyklonal

Konjugat

  • 71
  • 20
  • 9
  • 6
  • 5
  • 5
  • 4
  • 4
  • 4
  • 4
  • 4
  • 4
  • 3
  • 2
  • 2
  • 2
  • 2
  • 2
  • 2
  • 2
  • 2
  • 2
  • 1
  • 1
Dieser MUC16 Antikörper ist unkonjugiert

Applikation

  • 73
  • 65
  • 41
  • 20
  • 18
  • 17
  • 15
  • 6
  • 4
  • 2
  • 2
  • 1
  • 1
  • 1
  • 1
  • 1
  • 1
  • 1
Immunohistochemistry (IHC), Western Blotting (WB), Immunocytochemistry (ICC), Immunoprecipitation (IP)
  • Bindungsspezifität

    • 5
    • 4
    • 4
    • 3
    • 2
    • 2
    • 2
    • 2
    • 2
    • 2
    • 1
    • 1
    • 1
    • 1
    • 1
    • 1
    • 1
    • 1
    • 1
    • 1
    • 1
    • 1
    • 1
    • 1
    • 1
    AA 2-258

    Verwendungszweck

    Polyclonal Antibody to Carbohydrate Antigen 125 (CA125)

    Spezifität

    The antibody is a rabbit polyclonal antibody raised against CA125. It has been selected for its ability to recognize CA125 in immunohistochemical staining and western blotting.

    Kreuzreaktivität

    Human

    Aufreinigung

    Antigen-specific affinity chromatography followed by Protein A affinity chromatography

    Immunogen

    Recombinant Carbohydrate Antigen 125 (CA125) corresdonding to Thr2~Gln258 with N-terminal His Tag

    Isotyp

    IgG
  • Applikationshinweise

    Western blotting: 0.01-2 μg/mL,Immunohistochemistry: 5-20 μg/mL,Immunocytochemistry: 5-20 μg/mL,Optimal working dilutions must be determined by end user.

    Kommentare

    The thermal stability is described by the loss rate. The loss rate was determined by accelerated thermal degradation test, that is, incubate the protein at 37°C for 48h, and no obvious degradation and precipitation were observed. The loss rate is less than 5% within the expiration date under appropriate storage condition.

    Beschränkungen

    Nur für Forschungszwecke einsetzbar
  • Format

    Liquid

    Konzentration

    0.5 mg/mL

    Buffer

    PBS, pH 7.4, containing 0.02 % Sodium azide, 50 % glycerol.

    Konservierungsmittel

    Sodium azide

    Vorsichtsmaßnahmen

    This product contains Sodium azide: a POISONOUS AND HAZARDOUS SUBSTANCE which should be handled by trained staff only.

    Lagerung

    4 °C,-20 °C

    Informationen zur Lagerung

    Store at 4°C for frequent use. Stored at -20°C in a manual defrost freezer for two year without detectable loss of activity. Avoid repeated freeze-thaw cycles.

    Haltbarkeit

    24 months
  • Target

    MUC16 (CA125) (Mucin 16, Cell Surface Associated (CA125))

    Andere Bezeichnung

    CA125

    Hintergrund

    MUC16, Cancer Antigen 125, Mucin 16,Cell Surface Associated, Ovarian Cancer-Related Tumor Marker CA125, Ovarian Carcinoma Antigen CA125

    NCBI Accession

    XM_911929
Sie sind hier:
Chat with us!