Telefon:
+49 (0)241 95 163 153
Fax:
+49 (0)241 95 163 155
E-Mail:
orders@antikoerper-online.de

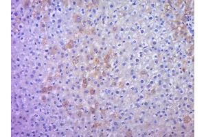
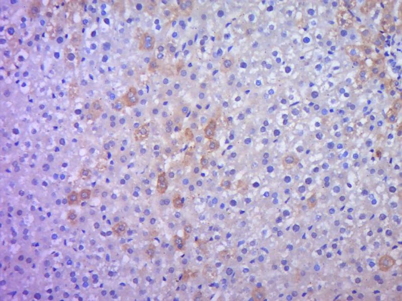
Indian Hedgehog Antikörper (AA 161-260)

Der Kaninchen Polyklonal anti-Indian Hedgehog Antikörper wird verwendet zum Nachweis von Indian Hedgehog in Proben von Ratte. Er wurde validiert für ELISA, IHC (p), IF (cc), IF (p) und IHC (fro).
Produktnummer ABIN719021
357,70 €
Zzgl. Versandkosten 20,00 € und MwSt
100 μL
Lieferung nach: Deutschland
Lieferung in 8 bis 12 Werktagen

Kurzübersicht für Indian Hedgehog Antikörper (AA 161-260) (ABIN719021)

Target

Alle Indian Hedgehog (IHH) Antikörper anzeigen
Indian Hedgehog (IHH)

Reaktivität

  • 65
  • 22
  • 21
  • 2
  • 2
  • 1
  • 1
  • 1
  • 1
  • 1
  • 1
  • 1
  • 1
  • 1
  • 1
Ratte

Wirt

  • 73
  • 5
  • 4
Kaninchen

Klonalität

  • 71
  • 11
Polyklonal

Konjugat

  • 37
  • 8
  • 7
  • 6
  • 4
  • 3
  • 1
  • 1
  • 1
  • 1
  • 1
  • 1
  • 1
  • 1
  • 1
  • 1
  • 1
  • 1
  • 1
  • 1
  • 1
  • 1
  • 1
Dieser Indian Hedgehog Antikörper ist unkonjugiert

Applikation

  • 53
  • 36
  • 27
  • 12
  • 12
  • 9
  • 8
  • 3
  • 2
  • 2
  • 2
  • 2
  • 1
ELISA, Immunohistochemistry (Paraffin-embedded Sections) (IHC (p)), Immunofluorescence (Cultured Cells) (IF (cc)), Immunofluorescence (Paraffin-embedded Sections) (IF (p)), Immunohistochemistry (Frozen Sections) (IHC (fro))
  • Bindungsspezifität

    • 14
    • 11
    • 8
    • 8
    • 6
    • 5
    • 3
    • 2
    • 2
    • 1
    • 1
    • 1
    • 1
    • 1
    • 1
    • 1
    • 1
    • 1
    • 1
    AA 161-260

    Kreuzreaktivität

    Ratte

    Homologie

    Human,Mouse,Dog,Pig,Horse,Rabbit

    Aufreinigung

    Purified by Protein A.

    Immunogen

    KLH conjugated synthetic peptide derived from human IHH

    Isotyp

    IgG
  • Applikationshinweise

    ELISA 1:500-1000
    IHC-P 1:200-400
    IHC-F 1:100-500
    IF(IHC-P) 1:50-200
    IF(IHC-F) 1:50-200
    IF(ICC) 1:50-200

    Beschränkungen

    Nur für Forschungszwecke einsetzbar
  • Format

    Liquid

    Konzentration

    1 μg/μL

    Buffer

    0.01M TBS( pH 7.4) with 1 % BSA, 0.02 % Proclin300 and 50 % Glycerol.

    Konservierungsmittel

    ProClin

    Vorsichtsmaßnahmen

    This product contains ProClin: a POISONOUS AND HAZARDOUS SUBSTANCE, which should be handled by trained staff only.

    Lagerung

    4 °C,-20 °C

    Informationen zur Lagerung

    Shipped at 4°C. Store at -20°C for one year. Avoid repeated freeze/thaw cycles.

    Haltbarkeit

    12 months
  • Target

    Indian Hedgehog (IHH)

    Andere Bezeichnung

    IHH

    Hintergrund

    Synonyms: HHG2, Indian Hedgehog, CENPB_HUMAN, Major centromere autoantigen B, Centromere protein B, CENP-B.

    Background: Ihh is an intercellular signalling peptide essential for a variety of patterning events during development. It binds to the patched (PTC) receptor, which functions in association with smoothened (SMO), to activate the transcription of target genes. Ihh induces the expression of parathyroid hormone-related protein (PTHRP) and is implicated in endochondral ossification, possibly regulating the balance between growth and ossification of the developing bones.

    Gen-ID

    3549

    Pathways

    Hedgehog Signalweg
Sie sind hier:
Chat with us!