Telefon:
+49 (0)241 95 163 153
Fax:
+49 (0)241 95 163 155
E-Mail:
orders@antikoerper-online.de

UNC93B1 Antikörper (AA 450-550)

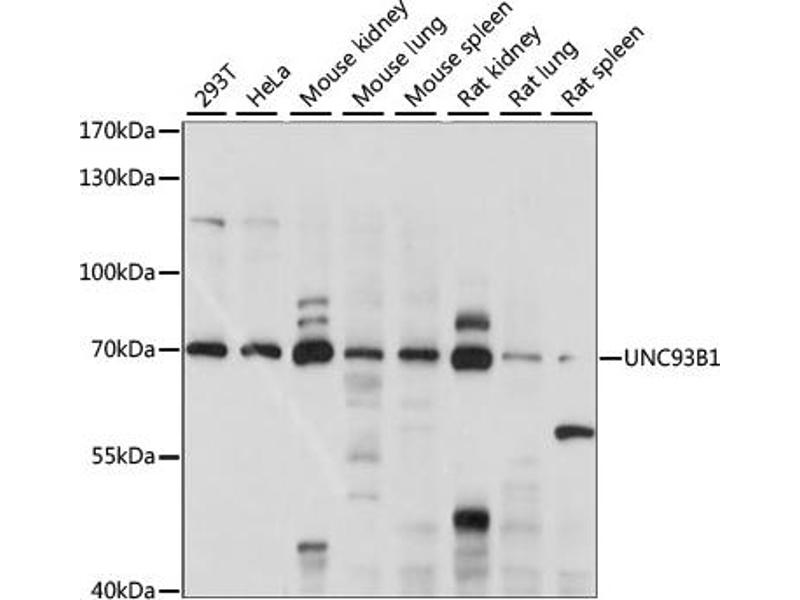
Der Kaninchen Polyklonal anti-UNC93B1 Antikörper (ABIN7271223) detektiert spezifisch UNC93B1 in WB. Dieser Antikörper reagiert spezifisch mit Proben aus Human.
Produktnummer ABIN7271223
320,00 €
Zzgl. Versandkosten 20,00 € und MwSt
Lieferung nach: Deutschland
Lieferung in 7 bis 9 Werktagen

Kurzübersicht für UNC93B1 Antikörper (AA 450-550) (ABIN7271223)

Target

Alle UNC93B1 Antikörper anzeigen
UNC93B1 (Unc-93 Homolog B1 (UNC93B1))

Reaktivität

  • 17
  • 7
  • 7
  • 3
  • 3
  • 2
  • 2
  • 2
  • 1
Human

Wirt

  • 16
  • 1
Kaninchen

Klonalität

  • 17
Polyklonal

Konjugat

  • 10
  • 1
  • 1
  • 1
  • 1
  • 1
  • 1
  • 1
Dieser UNC93B1 Antikörper ist unkonjugiert

Applikation

  • 9
  • 3
  • 3
  • 1
  • 1
  • 1
  • 1
  • 1
Western Blotting (WB)
  • Bindungsspezifität

    • 3
    • 1
    • 1
    • 1
    • 1
    • 1
    • 1
    • 1
    AA 450-550

    Verwendungszweck

    UNC93B1 Rabbit pAb

    Sequenz

    KTGLSTLLGI LYEDKERQDF IFTIYHWWQA VAIFTVYLGS SLHMKAKLAV LLVTLVAAAV SYLRMEQKLR RGVAPRQPRI PRPQHKVRGY RYLEEDNSDE S

    Kreuzreaktivität

    Human, Maus, Ratte

    Produktmerkmale

    Polyclonal Antibodies

    Aufreinigung

    Affinity purification

    Immunogen

    A synthetic peptide corresponding to a sequence within amino acids 450-550 of human UNC93B1 (NP_112192.2).

    Isotyp

    IgG
  • Applikationshinweise

    WB,1:500 - 1:2000

    Beschränkungen

    Nur für Forschungszwecke einsetzbar
  • Format

    Liquid

    Buffer

    PBS with 0.02 % sodium azide,50 % glycerol, pH 7.3.

    Konservierungsmittel

    Sodium azide

    Vorsichtsmaßnahmen

    This product contains Sodium azide: a POISONOUS AND HAZARDOUS SUBSTANCE which should be handled by trained staff only.

    Lagerung

    -20 °C

    Informationen zur Lagerung

    Store at -20°C. Avoid freeze / thaw cycles.
  • Target

    UNC93B1 (Unc-93 Homolog B1 (UNC93B1))

    Andere Bezeichnung

    UNC93B1

    Hintergrund

    This gene encodes a protein that is involved in innate and adaptive immune response by regulating toll-like receptor signaling. The encoded protein traffics nucleotide sensing toll-like receptors to the endolysosome from the endoplasmic reticulum. Deficiency of the encoded protein has been associated with herpes simplex encephalitis.,UNC93B1,IIAE1,UNC93,UNC93B,Unc-93B1,Cell Biology & Developmental Biology,UNC93B1

    Molekulargewicht

    66kDa

    Gen-ID

    81622

    UniProt

    Q9H1C4

    Pathways

    TLR Signalweg, Activation of Innate immune Response, Toll-Like Receptors Cascades
Sie sind hier:
Chat with us!