This product contains Sodium azide: a POISONOUS AND HAZARDOUS SUBSTANCE which should be handled by trained staff only.
Lagerung
-20 °C
Informationen zur Lagerung
Store at -20°C. Avoid freeze / thaw cycles.
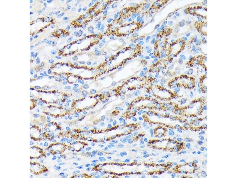
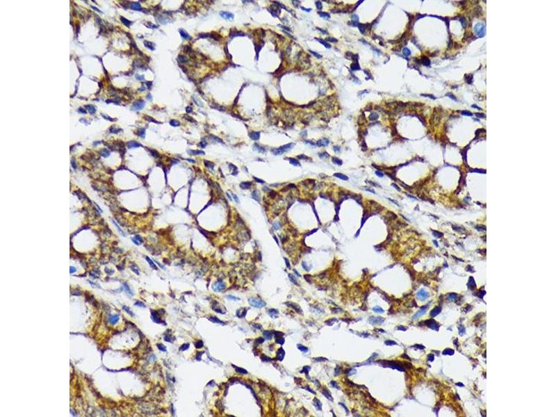
Target
RPS6KB2
(Ribosomal Protein S6 Kinase, 70kDa, Polypeptide 2 (RPS6KB2))
Andere Bezeichnung
RPS6KB2
Hintergrund
This gene encodes a member of the RSK (ribosomal S6 kinase) family of serine/threonine kinases. This kinase contains a kinase catalytic domain and phosphorylates the S6 ribosomal protein and eukaryotic translation initiation factor 4B (eIF4B). Phosphorylation of S6 leads to an increase in protein synthesis and cell proliferation. [provided by RefSeq, Jan 2015],KLS, P70-beta, P70-beta-1, P70-beta-2, S6K-beta2, S6K2, SRK, STK14B, p70(S6K)-beta, p70S6Kb,AMPK Signaling Pathway,Angiogenesis,Apoptosis,Apoptosis_Inhibition of Apoptosis,Apoptosis_Mitochondrial Control of Apoptosis,B Cell Receptor Signaling Pathway,Cardiovascular,Cell Biology & Developmental Biology,Endocrine & Metabolism,Endocrine and metabolic diseases,Endocrine and metabolic diseases_Diabetes,Endocrine and metabolic diseases_Metabolic disorders,Endocrine and metabolic diseases_Obesity,Epigenetics & Nuclear Signaling,ErbB-HER Signaling Pathway,Immunology & Inflammation,Insulin Receptor Signaling Pathway,Kinase,Kinase_Serine/threonine kinases,mTOR Signaling Pathway,PI3K-Akt Signaling Pathway,Signal Transduction,TGF-b-Smad Signaling Pathway,Translation Control,Translational Control_Regulation of eIF4 and p70 S6 Kinase,RPS6KB2