Telefon:
+49 (0)241 95 163 153
Fax:
+49 (0)241 95 163 155
E-Mail:
orders@antikoerper-online.de

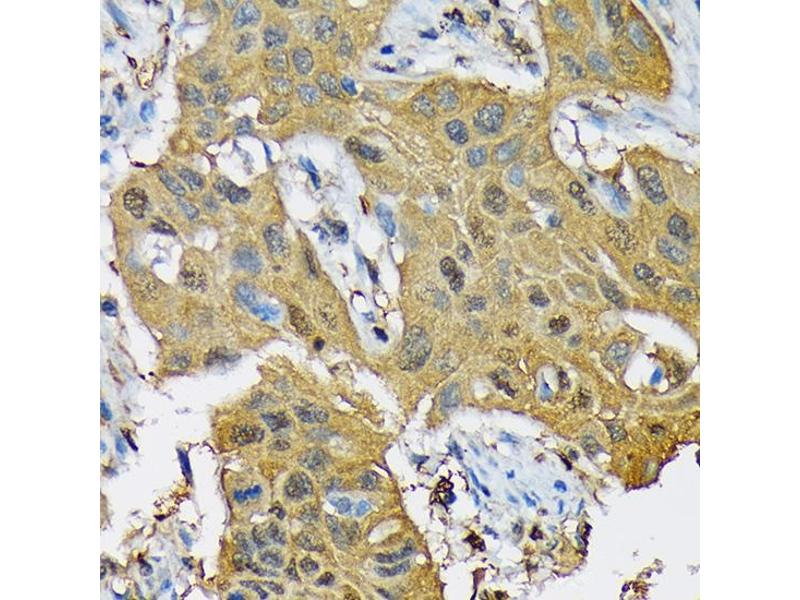
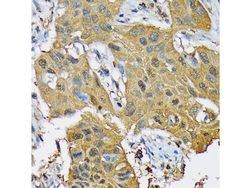
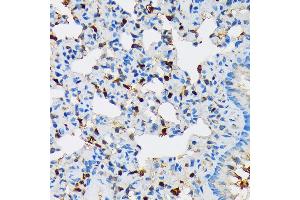
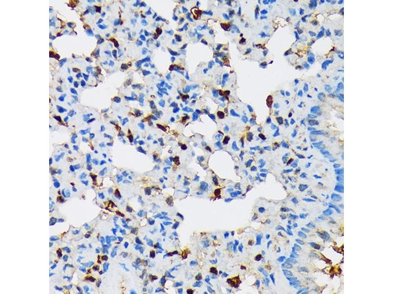
POLR2C Antikörper

Der Kaninchen Monoklonal anti-POLR2C Antikörper wird verwendet zum Nachweis von POLR2C in Proben von Human. Er wurde validiert für WB und IHC.
Produktnummer ABIN7269458
330,00 €
Zzgl. Versandkosten 20,00 € und MwSt
Lieferung nach: Deutschland
Lieferung in 7 bis 9 Werktagen

Kurzübersicht für POLR2C Antikörper (ABIN7269458)

Target

Alle POLR2C Antikörper anzeigen
POLR2C (Polymerase (RNA) II (DNA Directed) Polypeptide C, 33kDa (POLR2C))

Reaktivität

  • 37
  • 26
  • 20
  • 2
  • 2
  • 2
  • 2
  • 2
  • 1
  • 1
  • 1
Human

Wirt

  • 35
  • 2
Kaninchen

Klonalität

  • 24
  • 12
Monoklonal

Konjugat

  • 17
  • 3
  • 2
  • 2
  • 2
  • 2
  • 2
  • 2
  • 2
  • 1
  • 1
  • 1
Dieser POLR2C Antikörper ist unkonjugiert

Applikation

  • 24
  • 15
  • 11
  • 3
  • 2
  • 2
  • 1
  • 1
  • 1
Western Blotting (WB), Immunohistochemistry (IHC)
Sie sind hier:
Chat with us!