Telefon:
+49 (0)241 95 163 153
Fax:
+49 (0)241 95 163 155
E-Mail:
orders@antikoerper-online.de

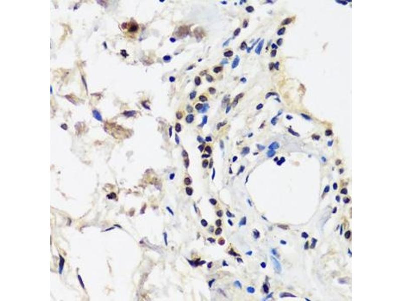
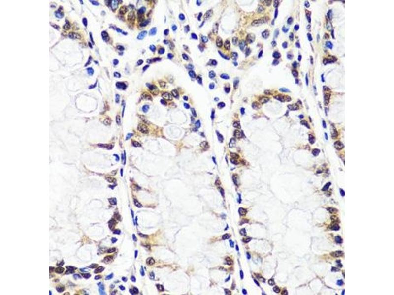
CAND1 Antikörper (AA 750-980)

Der Kaninchen Polyklonal anti-CAND1 Antikörper (ABIN7266546) detektiert spezifisch CAND1 in WB und IHC. Dieser Antikörper reagiert spezifisch mit Proben aus Human.
Produktnummer ABIN7266546
320,00 €
Zzgl. Versandkosten 20,00 € und MwSt
Lieferung nach: Deutschland
Lieferung in 7 bis 9 Werktagen

Kurzübersicht für CAND1 Antikörper (AA 750-980) (ABIN7266546)

Target

Alle CAND1 Antikörper anzeigen
CAND1 (Cullin-Associated and Neddylation-Dissociated 1 (CAND1))

Reaktivität

  • 21
  • 11
  • 9
  • 5
  • 5
  • 4
  • 4
  • 4
  • 4
  • 2
  • 2
  • 2
  • 2
  • 2
  • 1
Human

Wirt

  • 16
  • 5
Kaninchen

Klonalität

  • 17
  • 4
Polyklonal

Konjugat

  • 18
  • 1
  • 1
  • 1
Dieser CAND1 Antikörper ist unkonjugiert

Applikation

  • 14
  • 10
  • 6
  • 5
  • 4
  • 3
  • 1
Western Blotting (WB), Immunohistochemistry (IHC)
  • Bindungsspezifität

    • 4
    • 4
    • 2
    • 2
    • 2
    • 1
    • 1
    • 1
    AA 750-980

    Verwendungszweck

    CAND1 Rabbit pAb

    Sequenz

    GALSAMLDFF QALVVTGTNN LGYMDLLRML TGPVYSQSTA LTHKQSYYSI AKCVAALTRA CPKEGPAVVG QFIQDVKNSR STDSIRLLAL LSLGEVGHHI DLSGQLELKS VILEAFSSPS EEVKSAASYA LGSISVGNLP EYLPFVLQEI TSQPKRQYLL LHSLKEIISS ASVVGLKPYV ENIWALLLKH CECAEEGTRN VVAECLGKLT LIDPETLLPR LKGYLISGSS Y

    Kreuzreaktivität

    Human, Maus, Ratte

    Produktmerkmale

    Polyclonal Antibodies

    Aufreinigung

    Affinity purification

    Immunogen

    Recombinant fusion protein containing a sequence corresponding to amino acids 750-980 of human CAND1 (NP_060918.2).

    Isotyp

    IgG
  • Applikationshinweise

    WB,1:500 - 1:2000,IHC,1:50 - 1:100

    Beschränkungen

    Nur für Forschungszwecke einsetzbar
  • Format

    Liquid

    Buffer

    PBS with 0.02 % sodium azide,50 % glycerol, pH 7.3.

    Konservierungsmittel

    Sodium azide

    Vorsichtsmaßnahmen

    This product contains Sodium azide: a POISONOUS AND HAZARDOUS SUBSTANCE which should be handled by trained staff only.

    Lagerung

    -20 °C

    Informationen zur Lagerung

    Store at -20°C. Avoid freeze / thaw cycles.
  • Target

    CAND1 (Cullin-Associated and Neddylation-Dissociated 1 (CAND1))

    Andere Bezeichnung

    CAND1

    Hintergrund

    This gene encodes an essential regulator of Cullin-RING ubiquitin ligases, which are in involved in ubiquitinylation of proteins degraded by the Ub proteasome system. The encoded protein binds to unneddylated cullin-RING box protein complexes and acts as an inhibitor of cullin neddylation and of Skp1, cullin, and F box ubiquitin ligase complex assembly and activity. In mammalian cell culture, this protein predominantly localizes to the cytoplasm. Knockdown of this gene in preadipocytes results in blocked adipogenesis. Alternative splicing results in multiple transcript variants.,CAND1,TIP120,TIP120A,Epigenetics & Nuclear Signaling,Cell Biology & Developmental Biology,Cell Cycle,Ubiquitin,CAND1

    Molekulargewicht

    45kDa/117kDa/136kDa

    Gen-ID

    55832

    UniProt

    Q86VP6

    Pathways

    Regulation of Actin Filament Polymerization
Sie sind hier:
Chat with us!