Telefon:
+49 (0)241 95 163 153
Fax:
+49 (0)241 95 163 155
E-Mail:
orders@antikoerper-online.de

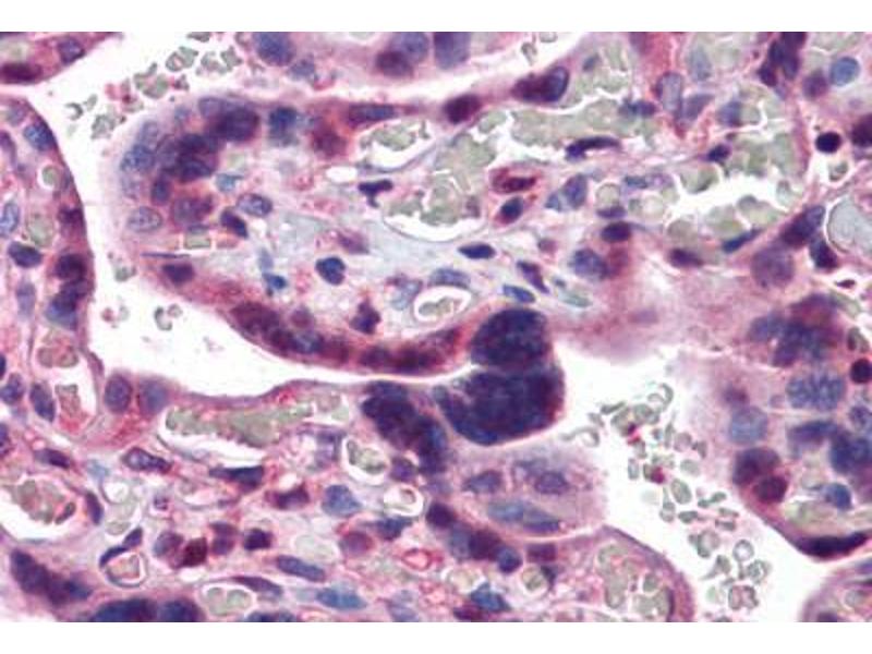
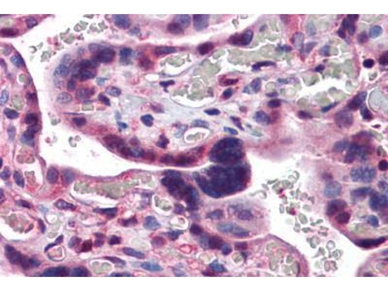
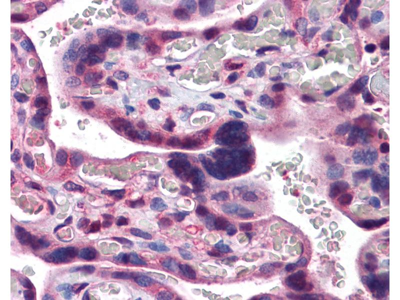
CAND1 Antikörper (C-Term)

Der Kaninchen Polyklonal anti-CAND1 Antikörper wird verwendet zum Nachweis von CAND1 in Proben von Human, Maus, Ratte, Rind (Kuh), Hund, Meerschweinchen, Pferd, Kaninchen, Zebrafisch (Danio rerio), Fledermaus, Hamster, Affe und Schwein. Er wurde validiert für WB, IHC und IHC (p).
Produktnummer ABIN6747005
512,07 €
Zzgl. Versandkosten 20,00 € und MwSt
100 μL
Lieferung nach: Deutschland
Lieferung in 15 bis 20 Werktagen

Kurzübersicht für CAND1 Antikörper (C-Term) (ABIN6747005)

Target

Alle CAND1 Antikörper anzeigen
CAND1 (Cullin-Associated and Neddylation-Dissociated 1 (CAND1))

Reaktivität

  • 21
  • 10
  • 8
  • 4
  • 4
  • 3
  • 3
  • 3
  • 3
  • 2
  • 1
  • 1
  • 1
  • 1
  • 1
Human, Maus, Ratte, Rind (Kuh), Hund, Meerschweinchen, Pferd, Kaninchen, Zebrafisch (Danio rerio), Fledermaus, Hamster, Affe, Schwein

Wirt

  • 16
  • 5
Kaninchen

Klonalität

  • 17
  • 4
Polyklonal

Konjugat

  • 18
  • 1
  • 1
  • 1
Dieser CAND1 Antikörper ist unkonjugiert

Applikation

  • 14
  • 10
  • 6
  • 5
  • 4
  • 2
  • 1
Western Blotting (WB), Immunohistochemistry (IHC), Immunohistochemistry (Paraffin-embedded Sections) (IHC (p))
  • Bindungsspezifität

    • 4
    • 4
    • 2
    • 2
    • 1
    • 1
    • 1
    • 1
    • 1
    C-Term

    Spezifität

    Human CAND1

    Homologie

    Percent identity by BLAST analysis: Human, Mouse, Rat, Dog, Bovine, Rabbit, Horse, Guinea pig (100%) Chicken, Xenopus (92%) Zebrafish (85%).

    Aufreinigung

    Immunoaffinity purified

    Immunogen

    Synthetic peptide from C-Terminus of human CAND1 (Q86VP6, NP_060918). Percent identity by BLAST analysis: Human, Chimpanzee, Gorilla, Orangutan, Gibbon, Monkey, Galago, Marmoset, Mouse, Rat, Hamster, Elephant, Dog, Bovine, Bat, Rabbit, Horse, Pig, Opossum, Guinea pig, Zebra finch, Platypus (100%), Panda, Turkey, Chicken, Xenopus (92%), Zebrafish (85%).

    Type of Immunogen: Synthetic peptide
  • Applikationshinweise

    Approved: IHC, IHC-P (5 μg/mL), WB (0.2 - 1 μg/mL)

    Usage: Western Blot: Suggested dilution at 1 μg/mL in 5 % skim milk / PBS buffer, and HRP conjugated anti-Rabbit IgG should be diluted in 1: 50,000 - 100,000 as secondary antibody.

    Kommentare

    Target Species of Antibody: Human

    Beschränkungen

    Nur für Forschungszwecke einsetzbar
  • Format

    Lyophilized

    Rekonstitution

    Distilled water

    Konzentration

    Lot specific

    Buffer

    Lyophilized from PBS with 2 % sucrose

    Handhabung

    Avoid repeat freeze-thaw cycles.

    Lagerung

    4 °C,-20 °C

    Informationen zur Lagerung

    Long term: -20°C, the use of 50% glycerol is recommended if storing aliquots in -20°C for long term use (up to 1 year)
    Short term (less than 1 week): 4°C. Avoid freeze-thaw cycles.
  • Target

    CAND1 (Cullin-Associated and Neddylation-Dissociated 1 (CAND1))

    Andere Bezeichnung

    TIP120 / CAND1

    Hintergrund

    Name/Gene ID: CAND1

    Synonyms: CAND1, KIAA0829, TBP interacting protein, TBP-interacting protein 120A, TIP120, p120 CAND1, TIP120A

    Gen-ID

    55832

    NCBI Accession

    NP_060918

    UniProt

    Q86VP6

    Pathways

    Regulation of Actin Filament Polymerization
Sie sind hier:
Chat with us!