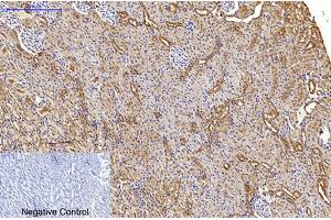
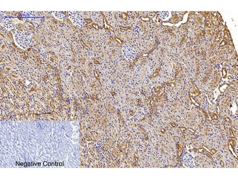
Optimal working dilutions should be determined experimentally by the investigator. Suggested starting dilutions are as follows: WB 1:1000-2000,IHC 1:100-200,IF 1:200
Beschränkungen
Nur für Forschungszwecke einsetzbar
Format
Liquid
Konzentration
1 mg/mL
Buffer
Liquid in PBS containing 50 % glycerol, 0.5 % BSA and 0.02 % sodium azide.
Konservierungsmittel
Sodium azide
Vorsichtsmaßnahmen
This product contains Sodium azide: a POISONOUS AND HAZARDOUS SUBSTANCE which should be handled by trained staff only.
Lagerung
-20 °C
Informationen zur Lagerung
Stable for one year at -20°C from date of shipment. For maximum recovery of product, centrifuge the original vial after thawing and prior to removing the cap. Aliquot to avoid repeated freezing and thawing.
Haltbarkeit
12 months
Target
MAP1LC3A
(Microtubule-Associated Protein 1 Light Chain 3 alpha (MAP1LC3A))
Andere Bezeichnung
LC3A
Hintergrund
Microtubule-associated proteins 1A/1B light chain 3A, Autophagy-related protein LC3 A, Autophagy-related ubiquitin-like modifier LC3 A, MAP1 light chain 3-like protein 1, MAP1A/MAP1B light chain 3 A, MAP1A/MAP1B LC3 A, Microtubule-associated protein 1 light chain 3 alphaMAP1A and MAP1B are microtubule-associated proteins which mediate the physical interactions between microtubules and components of the cytoskeleton. MAP1A and MAP1B each consist of a heavy chain subunit and multiple light chain subunits. The protein encoded by MAP1LC3A (microtubule associated protein 1 light chain 3 alpha) is one of the light chain subunits and can associate with either MAP1A or MAP1B. Two transcript variants encoding different isoforms have been found for MAP1LC3A. The expression of variant 1 is suppressed in many tumor cell lines, suggesting that may be involved in carcinogenesis.