Telefon:
+49 (0)241 95 163 153
Fax:
+49 (0)241 95 163 155
E-Mail:
orders@antikoerper-online.de

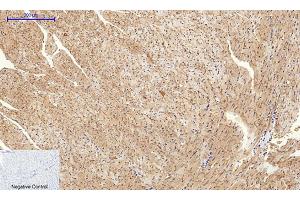
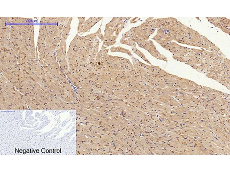
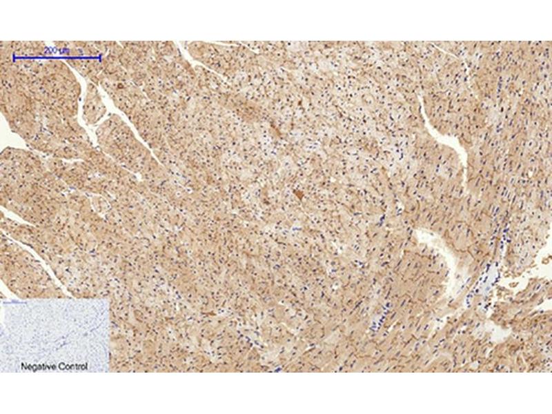
Connexin 43/GJA1 Antikörper (AA 310-390)

Der Kaninchen Polyklonal anti-Connexin 43/GJA1 Antikörper wird verwendet zum Nachweis von Connexin 43/GJA1 in Proben von Human, Maus und Ratte. Er wurde validiert für WB, ELISA, IF und IHC (p).
Produktnummer ABIN7204290
613,62 €
Zzgl. Versandkosten 20,00 € und MwSt
100 μL
Lieferung nach: Deutschland
Lieferung in 10 bis 14 Werktagen

Kurzübersicht für Connexin 43/GJA1 Antikörper (AA 310-390) (ABIN7204290)

Target

Alle Connexin 43/GJA1 (GJA1) Antikörper anzeigen
Connexin 43/GJA1 (GJA1) (Gap Junction Protein, alpha 1, 43kDa (GJA1))

Reaktivität

  • 134
  • 91
  • 88
  • 32
  • 11
  • 10
  • 9
  • 8
  • 8
  • 7
  • 6
  • 4
  • 4
  • 3
  • 2
  • 2
  • 2
  • 1
  • 1
  • 1
  • 1
  • 1
  • 1
  • 1
  • 1
Human, Maus, Ratte

Wirt

  • 133
  • 9
  • 3
  • 1
  • 1
Kaninchen

Klonalität

  • 135
  • 11
Polyklonal

Konjugat

  • 91
  • 6
  • 4
  • 4
  • 4
  • 4
  • 4
  • 4
  • 3
  • 2
  • 2
  • 2
  • 2
  • 2
  • 2
  • 1
  • 1
  • 1
  • 1
  • 1
  • 1
  • 1
  • 1
  • 1
  • 1
  • 1
Dieser Connexin 43/GJA1 Antikörper ist unkonjugiert

Applikation

  • 101
  • 57
  • 54
  • 23
  • 23
  • 17
  • 13
  • 13
  • 12
  • 11
  • 7
  • 4
  • 2
  • 2
  • 1
  • 1
  • 1
Western Blotting (WB), ELISA, Immunofluorescence (IF), Immunohistochemistry (Paraffin-embedded Sections) (IHC (p))
  • Bindungsspezifität

    • 19
    • 16
    • 11
    • 9
    • 8
    • 8
    • 7
    • 7
    • 7
    • 4
    • 3
    • 3
    • 3
    • 3
    • 3
    • 2
    • 2
    • 2
    • 2
    • 2
    • 2
    • 1
    • 1
    • 1
    • 1
    • 1
    • 1
    • 1
    • 1
    • 1
    • 1
    • 1
    • 1
    • 1
    • 1
    • 1
    • 1
    • 1
    • 1
    AA 310-390

    Verwendungszweck

    Connexin 43 Polyclonal Antibody

    Spezifität

    Connexin 43 Polyclonal Antibody detects endogenous levels of Connexin 43 protein.

    Aufreinigung

    The antibody was affinity-purified from rabbit antiserum by affinity-chromatography using epitope-specific immunogen

    Immunogen

    Synthesized peptide derived from the C-terminal region of human Connexin 43 at AA range: 310-390

    Isotyp

    IgG
  • Applikationshinweise

    Optimal working dilutions should be determined experimentally by the investigator. Suggested starting dilutions are as follows: WB (1:500-1:2000), IF (1:200-1:1000), IHC-P (1:100-1:300), ELISA (1:10000). Not yet tested in other applications.

    Beschränkungen

    Nur für Forschungszwecke einsetzbar
  • Format

    Liquid

    Konzentration

    1 mg/mL

    Buffer

    PBS containing 50 % Glycerol, 0.5 % BSA and 0.02 % Sodium Azide.

    Konservierungsmittel

    Sodium azide

    Vorsichtsmaßnahmen

    This product contains Sodium azide: a POISONOUS AND HAZARDOUS SUBSTANCE which should be handled by trained staff only.

    Lagerung

    -20 °C

    Informationen zur Lagerung

    Stable for one year at -20°C from date of shipment. For maximum recovery of product, centrifuge the original vial after thawing and prior to removing the cap. Aliquot to avoid repeated freezing and thawing.
  • Target

    Connexin 43/GJA1 (GJA1) (Gap Junction Protein, alpha 1, 43kDa (GJA1))

    Andere Bezeichnung

    Connexin 43

    Hintergrund

    Rabbit Anti-Connexin 43 Polyclonal Antibody,GJA1, GJAL, Gap junction alpha-1 protein, Connexin-43, Cx43, Gap junction 43 kDa heart protein,GJA1 is a member of the connexin gene family. Gap junction protein alpha 1 is a component of gap junctions, which are composed of arrays of intercellular channels that provide a route for the diffusion of low molecular weight materials from cell to cell. Gap junction protein alpha 1 is the major protein of gap junctions in the heart that are thought to have a crucial role in the synchronized contraction of the heart and in embryonic development. A related intronless pseudogene has been mapped to chromosome 5. Mutations in GJA1 have been associated with oculodentodigital dysplasia, autosomal recessive craniometaphyseal dysplasia and heart malformations.,Gap junction alpha-1 protein

    Gen-ID

    2697

    UniProt

    P17302

    Pathways

    MAPK Signalweg, Myometrial Relaxation and Contraction, Cell-Cell Junction Organization
Sie sind hier:
Chat with us!