Telefon:
+49 (0)241 95 163 153
Fax:
+49 (0)241 95 163 155
E-Mail:
orders@antikoerper-online.de

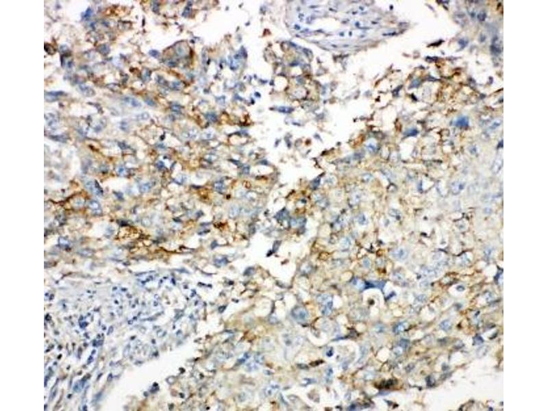
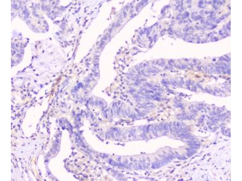
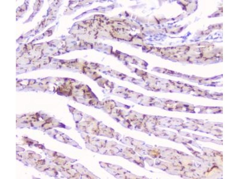
Connexin 43/GJA1 Antikörper (AA 351-367)

Der Kaninchen Polyklonal anti-Connexin 43/GJA1 Antikörper wird verwendet zum Nachweis von Connexin 43/GJA1 in Proben von Human, Maus und Ratte. Er wurde validiert für WB, IHC (p), ICC und IHC (fro).
Produktnummer ABIN3031019
644,88 €
Zzgl. Versandkosten 20,00 € und MwSt
100 μg
Lieferung nach: Deutschland
Lieferung in 6 bis 9 Werktagen

Kurzübersicht für Connexin 43/GJA1 Antikörper (AA 351-367) (ABIN3031019)

Target

Alle Connexin 43/GJA1 (GJA1) Antikörper anzeigen
Connexin 43/GJA1 (GJA1) (Gap Junction Protein, alpha 1, 43kDa (GJA1))

Reaktivität

  • 134
  • 91
  • 88
  • 32
  • 11
  • 10
  • 9
  • 8
  • 8
  • 7
  • 6
  • 4
  • 4
  • 3
  • 2
  • 2
  • 2
  • 1
  • 1
  • 1
  • 1
  • 1
  • 1
  • 1
  • 1
Human, Maus, Ratte

Wirt

  • 133
  • 9
  • 3
  • 1
  • 1
Kaninchen

Klonalität

  • 135
  • 11
Polyklonal

Konjugat

  • 91
  • 6
  • 4
  • 4
  • 4
  • 4
  • 4
  • 4
  • 3
  • 2
  • 2
  • 2
  • 2
  • 2
  • 2
  • 1
  • 1
  • 1
  • 1
  • 1
  • 1
  • 1
  • 1
  • 1
  • 1
  • 1
Dieser Connexin 43/GJA1 Antikörper ist unkonjugiert

Applikation

  • 101
  • 57
  • 55
  • 24
  • 23
  • 17
  • 13
  • 13
  • 12
  • 10
  • 6
  • 4
  • 2
  • 2
  • 1
  • 1
  • 1
Western Blotting (WB), Immunohistochemistry (Paraffin-embedded Sections) (IHC (p)), Immunocytochemistry (ICC), Immunohistochemistry (Frozen Sections) (IHC (fro))
  • Bindungsspezifität

    • 19
    • 16
    • 11
    • 9
    • 8
    • 8
    • 7
    • 7
    • 7
    • 4
    • 3
    • 3
    • 3
    • 3
    • 3
    • 2
    • 2
    • 2
    • 2
    • 2
    • 1
    • 1
    • 1
    • 1
    • 1
    • 1
    • 1
    • 1
    • 1
    • 1
    • 1
    • 1
    • 1
    • 1
    • 1
    • 1
    • 1
    • 1
    • 1
    • 1
    AA 351-367

    Aufreinigung

    Antigen affinity

    Immunogen

    Amino acids 351-367 (HELQPLAIVDQRPSSRA-human) were used as the immunogen for this Cx43 antibody (100% conserved in mouse and rat).

    Isotyp

    IgG
  • Applikationshinweise

    Titration of the Cx43 antibody may be required due to differences in protocols and secondary/substrate sensitivity.\. Western blot: 0.5-1 μg/mL,IHC (Paraffin): 0.5-1 μg/mL,IHC (Frozen): 0.5-1 μg/mL,Immunocytochemistry: 0.5-1 μg/mL

    Beschränkungen

    Nur für Forschungszwecke einsetzbar
  • Buffer

    0.5 mg/mL if reconstituted with 0.2 mL sterile DI water

    Lagerung

    -20 °C

    Informationen zur Lagerung

    The lyophilized Cx43 antibody can be stored at 4°C to -20°C. After reconstitution, aliquot and store at -20°C. Avoid repeated freezing and thawing.
  • Target

    Connexin 43/GJA1 (GJA1) (Gap Junction Protein, alpha 1, 43kDa (GJA1))

    Andere Bezeichnung

    Cx43 Connexin 43

    Hintergrund

    Connexin 43 (Cx43), also called GAP Junction Protein, alpha, is a member of the connexin gene family and is abundantly expressed in the heart and liver. Connexin 43, the major protein of gap junctions in the heart, is targeted by several protein kinases that regulate myocardial cell-cell coupling. Cx43 also plays a critical role in the physiology of hearing, presumably by participating in the recycling of potassium to the cochlear endolymph.

    UniProt

    P17302

    Pathways

    MAPK Signalweg, Myometrial Relaxation and Contraction, Cell-Cell Junction Organization
Sie sind hier:
Chat with us!