Telefon:
+49 (0)241 95 163 153
Fax:
+49 (0)241 95 163 155
E-Mail:
orders@antikoerper-online.de

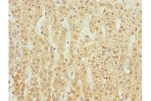
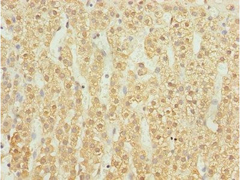
UBASH3B Antikörper (AA 1-300)

Der Kaninchen Polyklonal anti-UBASH3B Antikörper (ABIN7174417) detektiert spezifisch UBASH3B in IHC und ELISA. Dieser Antikörper reagiert spezifisch mit Proben aus Human.
Produktnummer ABIN7174417
328,90 €
Zzgl. Versandkosten 20,00 € und MwSt
Lieferung nach: Deutschland
Lieferung in 11 bis 15 Werktagen

Kurzübersicht für UBASH3B Antikörper (AA 1-300) (ABIN7174417)

Target

Alle UBASH3B (STS1) Antikörper anzeigen
UBASH3B (STS1) (Cbl-Interacting Protein Sts-1 (STS1))

Reaktivität

  • 17
  • 9
  • 8
  • 2
  • 2
  • 2
  • 2
  • 1
  • 1
  • 1
Human

Wirt

  • 12
  • 3
  • 3
Kaninchen

Klonalität

  • 16
  • 2
Polyklonal

Konjugat

  • 18
Dieser UBASH3B Antikörper ist unkonjugiert

Applikation

  • 15
  • 9
  • 7
  • 7
  • 4
  • 2
  • 1
  • 1
Immunohistochemistry (IHC), ELISA
  • Bindungsspezifität

    • 3
    • 3
    • 1
    • 1
    • 1
    • 1
    • 1
    • 1
    AA 1-300

    Verwendungszweck

    UBASH3B Antibody

    Aufreinigung

    Antigen Affinity Purified

    Immunogen

    Recombinant Human Ubiquitin-associated and SH3 domain-containing protein B protein (1-300AA)

    Isotyp

    IgG
  • Applikationshinweise

    Optimal working dilution should be determined by the investigator.

    Beschränkungen

    Nur für Forschungszwecke einsetzbar
  • Format

    Liquid

    Buffer

    PBS with 0.02 % sodium azide, 50 % glycerol, pH 7.3.

    Konservierungsmittel

    Sodium azide

    Vorsichtsmaßnahmen

    This product contains Sodium azide: a POISONOUS AND HAZARDOUS SUBSTANCE which should be handled by trained staff only.

    Lagerung

    -20 °C,-80 °C

    Informationen zur Lagerung

    Upon receipt, store at -20°C or -80°C. Avoid repeated freeze.
  • Target

    UBASH3B (STS1) (Cbl-Interacting Protein Sts-1 (STS1))

    Andere Bezeichnung

    UBASH3B

    Hintergrund

    Background: Interferes with CBL-mediated down-regulation and degradation of receptor-type tyrosine kinases. Promotes accumulation of activated target receptors, such as T-cell receptors and EGFR, on the cell surface. Exhibits tyrosine phosphatase activity toward several substrates including EGFR, FAK, SYK, and ZAP70. Down-regulates proteins that are dually modified by both protein tyrosine phosphorylation and ubiquitination.

    Aliases: Cbl interacting protein p70 antibody, Cbl interacting protein Sts 1 antibody, Cbl interacting protein Sts1 antibody, Cbl-interacting protein p70 antibody, KIAA1959 antibody, MGC15437 antibody, Nm23 phosphorylated unknown substrate antibody, p70 antibody, SH3 domain containing 70 kDa protein antibody, Sts 1 antibody, STS-1 antibody, STS1 antibody, Suppressor of T cell receptor signaling 1 antibody, Suppressor of T-cell receptor signaling 1 antibody, T-cell ubiquitin ligand 2 antibody, TULA-2 antibody, Tyrosine-protein phosphatase STS1/TULA2 antibody, Ubash3b antibody, Ubiquitin associated and SH3 domain containing B antibody, Ubiquitin-associated and SH3 domain-containing protein B antibody, UBS3B_HUMAN antibody

    UniProt

    Q8TF42
Sie sind hier:
Chat with us!