Telefon:
+49 (0)241 95 163 153
Fax:
+49 (0)241 95 163 155
E-Mail:
orders@antikoerper-online.de

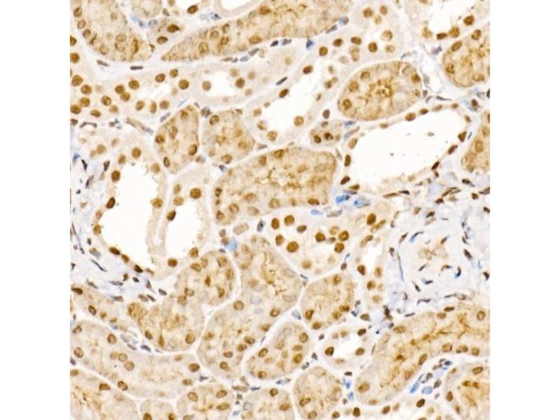
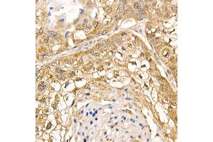
UBASH3B Antikörper (AA 1-300)

Der Kaninchen Polyklonal anti-UBASH3B Antikörper (ABIN6149775) detektiert spezifisch UBASH3B in IHC, WB und IF. Dieser Antikörper reagiert spezifisch mit Proben aus Human.
Produktnummer ABIN6149775
320,00 €
Zzgl. Versandkosten 20,00 € und MwSt
Lieferung nach: Deutschland
Lieferung in 7 bis 9 Werktagen

Kurzübersicht für UBASH3B Antikörper (AA 1-300) (ABIN6149775)

Target

Alle UBASH3B (STS1) Antikörper anzeigen
UBASH3B (STS1) (Cbl-Interacting Protein Sts-1 (STS1))

Reaktivität

  • 17
  • 9
  • 8
  • 2
  • 2
  • 2
  • 2
  • 1
  • 1
  • 1
Human

Wirt

  • 12
  • 3
  • 3
Kaninchen

Klonalität

  • 16
  • 2
Polyklonal

Konjugat

  • 18
Dieser UBASH3B Antikörper ist unkonjugiert

Applikation

  • 14
  • 9
  • 8
  • 6
  • 4
  • 2
  • 1
  • 1
Immunohistochemistry (IHC), Western Blotting (WB), Immunofluorescence (IF)
  • Bindungsspezifität

    • 3
    • 3
    • 1
    • 1
    • 1
    • 1
    • 1
    • 1
    AA 1-300

    Sequenz

    MAQYGHPSPL GMAAREELYS KVTPRRNRQQ RPGTIKHGSA LDVLLSMGFP RARAQKALAS TGGRSVQAAC DWLFSHVGDP FLDDPLPREY VLYLRPTGPL AQKLSDFWQQ SKQICGKNKA HNIFPHITLC QFFMCEDSKV DALGEALQTT VSRWKCKFSA PLPLELYTSS NFIGLFVKED SAEVLKKFAA DFAAEAASKT EVHVEPHKKQ LHVTLAYHFQ ASHLPTLEKL AQNIDVKLGC DWVATIFSRD IRFANHETLQ VIYPYTPQND DELELVPGDF IFMSPMEQTS TSEGWIYGTS

    Kreuzreaktivität

    Human, Maus, Ratte

    Produktmerkmale

    Polyclonal Antibodies

    Immunogen

    Recombinant fusion protein containing a sequence corresponding to amino acids 1-300 of human UBASH3B (NP_116262.2).

    Isotyp

    IgG
  • Applikationshinweise

    WB,1:500 - 1:2000,IHC,1:50 - 1:200,IF,1:50 - 1:100

    Kommentare

    HIGH QUALITY

    Beschränkungen

    Nur für Forschungszwecke einsetzbar
  • Format

    Liquid

    Buffer

    PBS with 0.02 % sodium azide,50 % glycerol, pH 7.3.

    Konservierungsmittel

    Sodium azide

    Vorsichtsmaßnahmen

    This product contains Sodium azide: a POISONOUS AND HAZARDOUS SUBSTANCE which should be handled by trained staff only.

    Lagerung

    -20 °C

    Informationen zur Lagerung

    Store at -20°C. Avoid freeze / thaw cycles.
  • Target

    UBASH3B (STS1) (Cbl-Interacting Protein Sts-1 (STS1))

    Andere Bezeichnung

    UBASH3B

    Hintergrund

    This gene encodes a protein that contains a ubiquitin associated domain at the N-terminus, an SH3 domain, and a C-terminal domain with similarities to the catalytic motif of phosphoglycerate mutase. The encoded protein was found to inhibit endocytosis of epidermal growth factor receptor (EGFR) and platelet-derived growth factor receptor.,UBASH3B,STS-1,STS1,TULA-2,TULA2,p70,UBASH3B

    Molekulargewicht

    72 kDa

    Gen-ID

    84959

    UniProt

    Q8TF42
Sie sind hier:
Chat with us!