Telefon:
+49 (0)241 95 163 153
Fax:
+49 (0)241 95 163 155
E-Mail:
orders@antikoerper-online.de

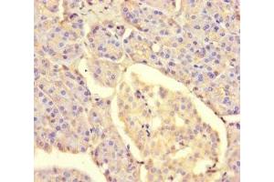
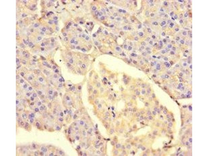
METTL7A Antikörper (AA 30-244)

Der Kaninchen Polyklonal anti-METTL7A Antikörper (ABIN7159675) detektiert spezifisch METTL7A in ELISA und IHC. Dieser Antikörper reagiert spezifisch mit Proben aus Human.
Produktnummer ABIN7159675
328,90 €
Zzgl. Versandkosten 20,00 € und MwSt
Lieferung nach: Deutschland
Lieferung in 11 bis 15 Werktagen

Kurzübersicht für METTL7A Antikörper (AA 30-244) (ABIN7159675)

Target

Alle METTL7A Antikörper anzeigen
METTL7A (Methyltransferase Like 7A (METTL7A))

Reaktivität

  • 28
  • 6
  • 5
  • 2
  • 1
  • 1
  • 1
  • 1
  • 1
Human

Wirt

  • 27
  • 1
Kaninchen

Klonalität

  • 28
Polyklonal

Konjugat

  • 13
  • 3
  • 2
  • 2
  • 1
  • 1
  • 1
  • 1
  • 1
  • 1
  • 1
  • 1
Dieser METTL7A Antikörper ist unkonjugiert

Applikation

  • 14
  • 13
  • 9
  • 3
  • 2
  • 1
  • 1
  • 1
ELISA, Immunohistochemistry (IHC)
  • Bindungsspezifität

    • 7
    • 5
    • 3
    • 2
    • 1
    • 1
    • 1
    AA 30-244

    Verwendungszweck

    METTL7A Antibody

    Aufreinigung

    Protein G purified

    Reinheit

    >95 %

    Immunogen

    Recombinant Human Methyltransferase-like protein 7A protein (30-244AA)

    Isotyp

    IgG
  • Applikationshinweise

    Optimal working dilution should be determined by the investigator.

    Beschränkungen

    Nur für Forschungszwecke einsetzbar
  • Format

    Liquid

    Buffer

    Preservative: 0.03 % Proclin 300
    Constituents: 50 % Glycerol, 0.01M PBS, PH 7.4

    Konservierungsmittel

    ProClin

    Vorsichtsmaßnahmen

    This product contains ProClin: a POISONOUS AND HAZARDOUS SUBSTANCE which should be handled by trained staff only.

    Lagerung

    -20 °C,-80 °C

    Informationen zur Lagerung

    Upon receipt, store at -20°C or -80°C. Avoid repeated freeze.
  • Target

    METTL7A (Methyltransferase Like 7A (METTL7A))

    Andere Bezeichnung

    METTL7A

    Hintergrund

    Background: Probable methyltransferase.

    Aliases: AAM B antibody, AAMB antibody, DKFZP586A0522 antibody, MET7A_HUMAN antibody, Methyltransferase like 7A antibody, Methyltransferase-like protein 7A antibody, METTL 7A antibody, METTL7A antibody, METTL7A methlytransferase like 7A antibody, Protein AAM-B antibody, Protein AAMB antibody

    UniProt

    Q9H8H3
Sie sind hier:
Chat with us!