Telefon:
+49 (0)241 95 163 153
Fax:
+49 (0)241 95 163 155
E-Mail:
orders@antikoerper-online.de

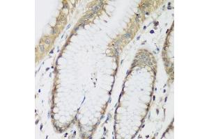
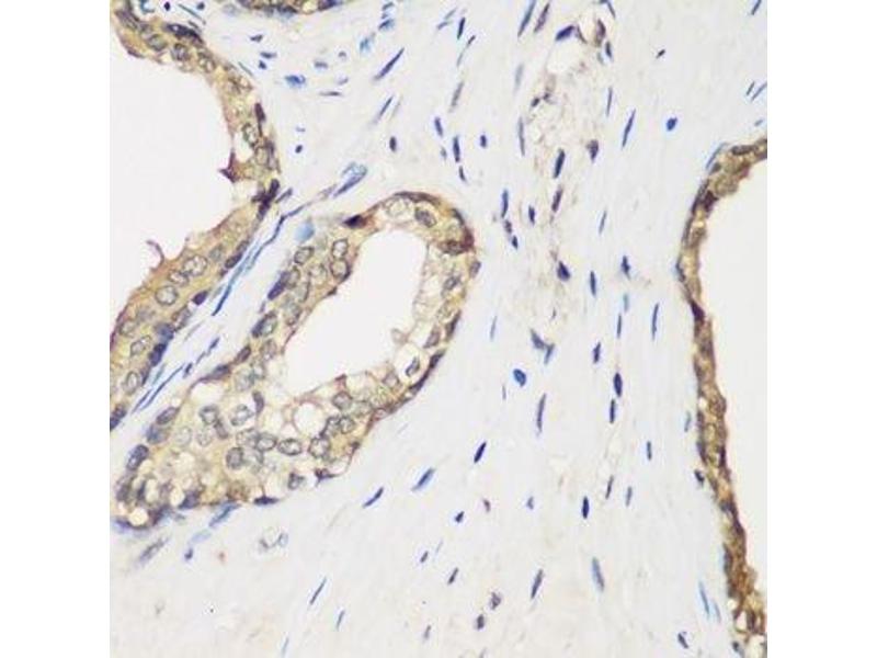
METTL7A Antikörper (AA 30-244)

Dieser Kaninchen Polyklonal Antikörper detektiert spezifisch METTL7A in WB, IHC und IF. Es zeigt Reaktivität gegenüber Proben von Human.
Produktnummer ABIN6143777
320,00 €
Zzgl. Versandkosten 20,00 € und MwSt
Lieferung nach: Deutschland
Lieferung in 7 bis 9 Werktagen

Kurzübersicht für METTL7A Antikörper (AA 30-244) (ABIN6143777)

Target

Alle METTL7A Antikörper anzeigen
METTL7A (Methyltransferase Like 7A (METTL7A))

Reaktivität

  • 28
  • 6
  • 5
  • 2
  • 1
  • 1
  • 1
  • 1
  • 1
Human

Wirt

  • 27
  • 1
Kaninchen

Klonalität

  • 28
Polyklonal

Konjugat

  • 13
  • 3
  • 2
  • 2
  • 1
  • 1
  • 1
  • 1
  • 1
  • 1
  • 1
  • 1
Dieser METTL7A Antikörper ist unkonjugiert

Applikation

  • 15
  • 12
  • 9
  • 2
  • 2
  • 1
  • 1
  • 1
Western Blotting (WB), Immunohistochemistry (IHC), Immunofluorescence (IF)
  • Bindungsspezifität

    • 7
    • 5
    • 3
    • 2
    • 1
    • 1
    • 1
    AA 30-244

    Sequenz

    WICKKWFPYF LVRFTVIYNE QMASKKRELF SNLQEFAGPS GKLSLLEVGC GTGANFKFYP PGCRVTCIDP NPNFEKFLIK SIAENRHLQF ERFVVAAGEN MHQVADGSVD VVVCTLVLCS VKNQERILRE VCRVLRPGGA FYFMEHVAAE CSTWNYFWQQ VLDPAWHLLF DGCNLTRESW KALERASFSK LKLQHIQAPL SWELVRPHIY GYAVK

    Kreuzreaktivität

    Human, Maus, Ratte

    Produktmerkmale

    Polyclonal Antibodies

    Immunogen

    Recombinant fusion protein containing a sequence corresponding to amino acids 30-244 of human METTL7A (NP_054752.3).

    Isotyp

    IgG
  • Applikationshinweise

    WB,1:500 - 1:2000,IHC,1:50 - 1:200,IF,1:50 - 1:200

    Kommentare

    HIGH QUALITY

    Beschränkungen

    Nur für Forschungszwecke einsetzbar
  • Format

    Liquid

    Buffer

    PBS with 0.02 % sodium azide,50 % glycerol, pH 7.3.

    Konservierungsmittel

    Sodium azide

    Vorsichtsmaßnahmen

    This product contains Sodium azide: a POISONOUS AND HAZARDOUS SUBSTANCE which should be handled by trained staff only.

    Lagerung

    -20 °C

    Informationen zur Lagerung

    Store at -20°C. Avoid freeze / thaw cycles.
  • Target

    METTL7A (Methyltransferase Like 7A (METTL7A))

    Andere Bezeichnung

    METTL7A

    Hintergrund

    Probable methyltransferase.,METTL7A,AAM-B,Epigenetics & Nuclear Signaling,METTL7A

    Molekulargewicht

    28 kDa

    Gen-ID

    25840

    UniProt

    Q9H8H3
Sie sind hier:
Chat with us!