Telefon:
+49 (0)241 95 163 153
Fax:
+49 (0)241 95 163 155
E-Mail:
orders@antikoerper-online.de

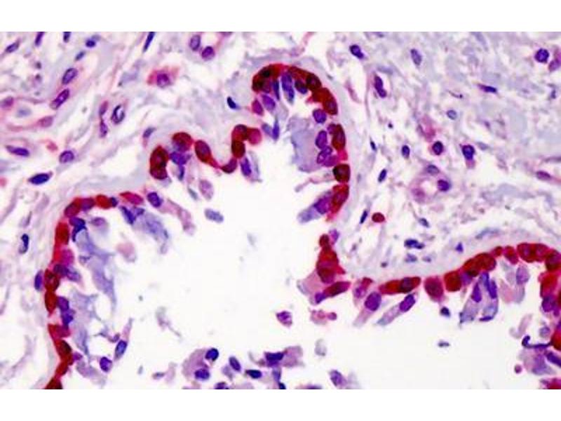
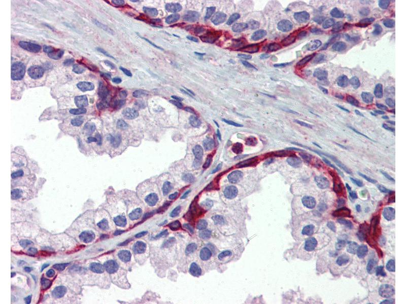
METTL7A Antikörper (Internal Region)

Der Kaninchen Polyklonal anti-METTL7A Antikörper (ABIN462540) detektiert spezifisch METTL7A in ELISA, WB, IHC, ICC und IHC (p). Dieser Antikörper reagiert spezifisch mit Proben aus Human und Maus.
Produktnummer ABIN462540
512,07 €
Zzgl. Versandkosten 20,00 € und MwSt
0.05 mg
Lieferung nach: Deutschland
Lieferung in 15 bis 20 Werktagen

Kurzübersicht für METTL7A Antikörper (Internal Region) (ABIN462540)

Target

Alle METTL7A Antikörper anzeigen
METTL7A (Methyltransferase Like 7A (METTL7A))

Reaktivität

  • 28
  • 5
  • 5
  • 2
  • 1
  • 1
  • 1
  • 1
  • 1
Human, Maus

Wirt

  • 27
  • 1
Kaninchen

Klonalität

  • 28
Polyklonal

Konjugat

  • 13
  • 3
  • 2
  • 2
  • 1
  • 1
  • 1
  • 1
  • 1
  • 1
  • 1
  • 1
Dieser METTL7A Antikörper ist unkonjugiert

Applikation

  • 14
  • 12
  • 9
  • 3
  • 1
  • 1
  • 1
ELISA, Western Blotting (WB), Immunohistochemistry (IHC), Immunocytochemistry (ICC), Immunohistochemistry (Paraffin-embedded Sections) (IHC (p))
  • Bindungsspezifität

    • 6
    • 6
    • 3
    • 2
    • 1
    • 1
    • 1
    Internal Region

    Spezifität

    At least two isoforms of MettL7A are known to exist. This antibody is predicted to not cross-react with MettL7B.

    Aufreinigung

    Immunoaffinity purified

    Isotyp

    IgG
  • Applikationshinweise

    Approved: ELISA, ICC (2 μg/mL), IHC, IHC-P (5 μg/mL), WB (2 - 4 μg/mL)

    Kommentare

    Target Species of Antibody: Human

    Beschränkungen

    Nur für Forschungszwecke einsetzbar
  • Format

    Liquid

    Konzentration

    Lot specific

    Buffer

    PBS containing 0.02 % sodium azide

    Konservierungsmittel

    Sodium azide

    Vorsichtsmaßnahmen

    This product contains Sodium azide: a POISONOUS AND HAZARDOUS SUBSTANCE which should be handled by trained staff only.

    Handhabung

    avoid freeze thaw cycles. Store undiluted.

    Lagerung

    4 °C,-20 °C

    Informationen zur Lagerung

    Store at 4°C for 3 months and -20°C, stable for up to 1 year. Avoid repeated freeze-thaw cycles.

    Haltbarkeit

    12 months
  • Target

    METTL7A (Methyltransferase Like 7A (METTL7A))

    Andere Bezeichnung

    METTL7A

    Hintergrund

    Name/Gene ID: METTL7A

    Synonyms: METTL7A, AAM-B, DKFZP586A0522, Methyltransferase like 7A, Protein AAM-B

    Gen-ID

    25840

    UniProt

    Q9H8H3
Sie sind hier:
Chat with us!