EVC2 Antikörper (AA 30-199)
Kurzübersicht für EVC2 Antikörper (AA 30-199) (ABIN7158397)
Target
Alle EVC2 Antikörper anzeigenReaktivität
Wirt
Klonalität
Konjugat
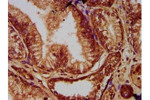
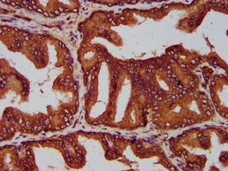
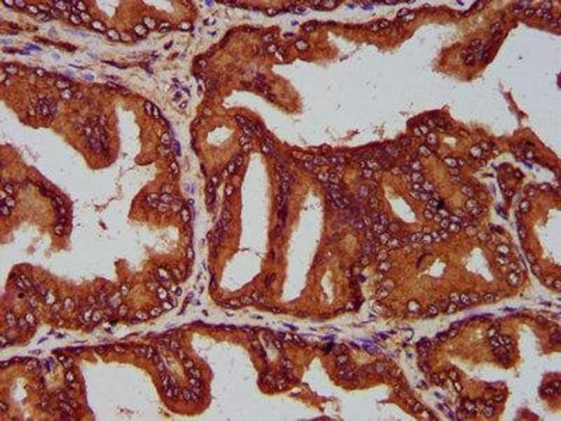
Applikation
-
-
Bindungsspezifität
- AA 30-199
-
Verwendungszweck
- EVC2 Antibody
-
Aufreinigung
- Protein G purified
-
Reinheit
- >95 %
-
Immunogen
- Recombinant Human Limbin protein (30-199AA)
-
Isotyp
- IgG
-
-
-
-
Applikationshinweise
- Optimal working dilution should be determined by the investigator.
-
Beschränkungen
- Nur für Forschungszwecke einsetzbar
-
-
-
Format
- Liquid
-
Buffer
-
Preservative: 0.03 % Proclin 300
Constituents: 50 % Glycerol, 0.01M PBS, pH 7.4 -
Konservierungsmittel
- ProClin
-
Vorsichtsmaßnahmen
- This product contains ProClin: a POISONOUS AND HAZARDOUS SUBSTANCE which should be handled by trained staff only.
-
Lagerung
- -20 °C,-80 °C
-
Informationen zur Lagerung
- Upon receipt, store at -20°C or -80°C. Avoid repeated freeze.
-
-
- EVC2 (Ellis Van Creveld Syndrome 2 (EVC2))
-
Andere Bezeichnung
- EVC2
-
Hintergrund
-
Background: Positive regulator of the hedgehog signaling pathway (By similarity). Plays a critical role in bone formation and skeletal development.
Aliases: EVC2 antibody, LBN antibody, Limbin antibody, Ellis-van Creveld syndrome protein 2 antibody, EVC2 antibody
-
UniProt
- Q86UK5
-
Pathways
- Hedgehog Signalweg
Target
-