Telefon:
+49 (0)241 95 163 153
Fax:
+49 (0)241 95 163 155
E-Mail:
orders@antikoerper-online.de

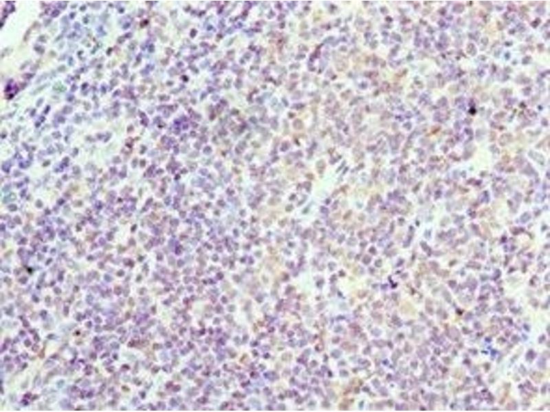
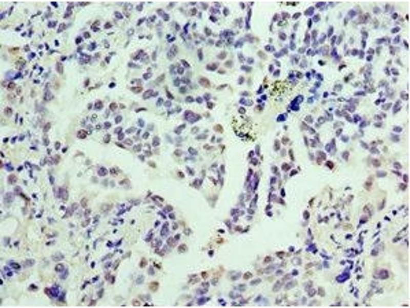
Cyclin D3 Antikörper (AA 1-292)

Dieser Kaninchen Polyklonal Antikörper detektiert spezifisch Cyclin D3 in WB, ELISA, IHC, IF und IP. Es zeigt Reaktivität gegenüber Proben von Human.
Produktnummer ABIN7153394
660,00 €
Zzgl. Versandkosten 20,00 € und MwSt
Lieferung nach: Deutschland
Lieferung in 11 bis 15 Werktagen

Kurzübersicht für Cyclin D3 Antikörper (AA 1-292) (ABIN7153394)

Target

Alle Cyclin D3 (CCND3) Antikörper anzeigen
Cyclin D3 (CCND3)

Reaktivität

  • 112
  • 43
  • 24
  • 16
  • 5
  • 5
  • 4
  • 3
  • 2
  • 1
  • 1
  • 1
  • 1
Human

Wirt

  • 99
  • 16
Kaninchen

Klonalität

  • 78
  • 37
Polyklonal

Konjugat

  • 54
  • 6
  • 4
  • 4
  • 3
  • 3
  • 3
  • 3
  • 3
  • 3
  • 3
  • 2
  • 2
  • 2
  • 2
  • 2
  • 2
  • 2
  • 2
  • 2
  • 2
  • 2
  • 2
  • 1
  • 1
Dieser Cyclin D3 Antikörper ist unkonjugiert

Applikation

  • 85
  • 33
  • 30
  • 27
  • 26
  • 25
  • 15
  • 15
  • 14
  • 13
  • 9
  • 7
  • 1
  • 1
  • 1
  • 1
Western Blotting (WB), ELISA, Immunohistochemistry (IHC), Immunofluorescence (IF), Immunoprecipitation (IP)
  • Bindungsspezifität

    • 26
    • 16
    • 7
    • 6
    • 3
    • 2
    • 2
    • 2
    • 2
    • 2
    • 2
    • 1
    • 1
    • 1
    • 1
    • 1
    • 1
    AA 1-292

    Verwendungszweck

    CCND3 Antibody

    Aufreinigung

    Antigen Affinity Purified

    Immunogen

    Recombinant Human G1/S-specific cyclin-D3 protein (1-292AA)

    Isotyp

    IgG
  • Applikationshinweise

    Optimal working dilution should be determined by the investigator.

    Beschränkungen

    Nur für Forschungszwecke einsetzbar
  • Format

    Liquid

    Buffer

    PBS with 0.02 % sodium azide, 50 % glycerol, pH 7.3.

    Konservierungsmittel

    Sodium azide

    Vorsichtsmaßnahmen

    This product contains Sodium azide: a POISONOUS AND HAZARDOUS SUBSTANCE which should be handled by trained staff only.

    Lagerung

    -20 °C,-80 °C

    Informationen zur Lagerung

    Upon receipt, store at -20°C or -80°C. Avoid repeated freeze.
  • Target

    Cyclin D3 (CCND3)

    Andere Bezeichnung

    CCND3

    Hintergrund

    Background: Regulatory component of the cyclin D3-CDK4 (DC) complex that phosphorylates and inhibits members of the retinoblastoma (RB) protein family including RB1 and regulates the cell-cycle during G1/S transition. Phosphorylation of RB1 allows dissociation of the transcription factor E2F from the RB/E2F complex and the subsequent transcription of E2F target genes which are responsible for the progression through the G1 phase. Hypophosphorylates RB1 in early G1 phase. Cyclin D-CDK4 complexes are major integrators of various mitogenenic and antimitogenic signals. Also substrate for SMAD3, phosphorylating SMAD3 in a cell-cycle-dependent manner and repressing its transcriptional activity. Component of the ternary complex, cyclin D3/CDK4/CDKN1B, required for nuclear translocation and activity of the cyclin D-CDK4 complex.

    Aliases: CCND 3 antibody, Ccnd3 antibody, CCND3_HUMAN antibody, CyclinD3 antibody, D3 type cyclin antibody, G1 S specific cyclin D3 antibody, G1/S specific cyclin D3 antibody, G1/S-specific cyclin-D3 antibody

    UniProt

    P30281

    Pathways

    Zellzyklus, Mitotic G1-G1/S Phases, Glycosaminoglycan Metabolic Process
Sie sind hier:
Chat with us!