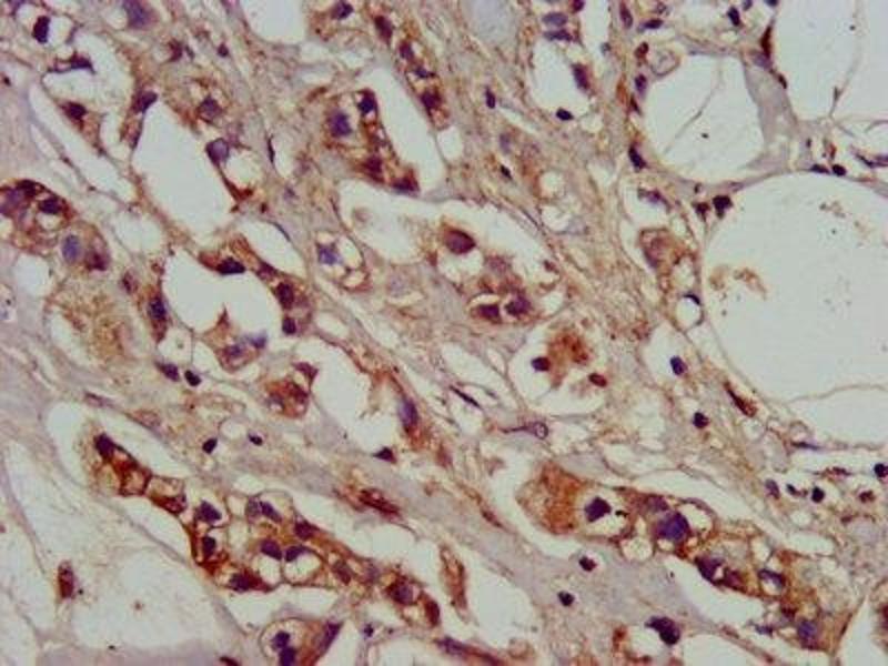
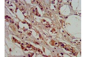
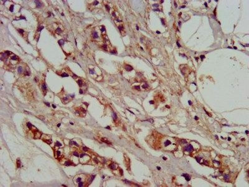
ADO Antikörper (AA 137-270)
Kurzübersicht für ADO Antikörper (AA 137-270) (ABIN7142146)
Target
Alle ADO Antikörper anzeigenReaktivität
Wirt
Klonalität
Konjugat
Applikation
-
-
Bindungsspezifität
- AA 137-270
-
Verwendungszweck
- ADO Antibody
-
Aufreinigung
- Protein G purified
-
Reinheit
- >95 %
-
Immunogen
- Recombinant Human 2-aminoethanethiol dioxygenase protein (137-270AA)
-
Isotyp
- IgG
-
-
-
-
Applikationshinweise
- Optimal working dilution should be determined by the investigator.
-
Beschränkungen
- Nur für Forschungszwecke einsetzbar
-
-
-
Format
- Liquid
-
Buffer
-
Preservative: 0.03 % Proclin 300
Constituents: 50 % Glycerol, 0.01M PBS, pH 7.4 -
Konservierungsmittel
- ProClin
-
Vorsichtsmaßnahmen
- This product contains ProClin: a POISONOUS AND HAZARDOUS SUBSTANCE which should be handled by trained staff only.
-
Lagerung
- -20 °C,-80 °C
-
Informationen zur Lagerung
- Upon receipt, store at -20°C or -80°C. Avoid repeated freeze.
-
-
- ADO (2-Aminoethanethiol (Cysteamine) Dioxygenase (ADO))
-
Andere Bezeichnung
- ADO
-
Hintergrund
-
Background: cytosol, mitochondrion, cysteamine dioxygenase activity, oxidation-reduction process, sulfur amino acid catabolic process
Aliases: 2 aminoethanethiol dioxygenase antibody, 2-aminoethanethiol dioxygenase antibody, ADO 2 aminoethanethiol (cysteamine) dioxygenase antibody, ADO antibody, AEDO_HUMAN antibody, C10orf22 antibody, Chromosome 10 open reasing frame 22 antibody, cysteamine (2-aminoethanethiol) dioxygenase (ADO) antibody, Cysteamine dioxygenase antibody, DKFZp564C046 antibody, FLJ14547 antibody
-
UniProt
- Q96SZ5
Target
-