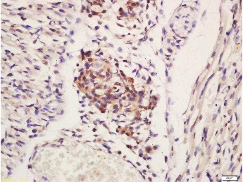
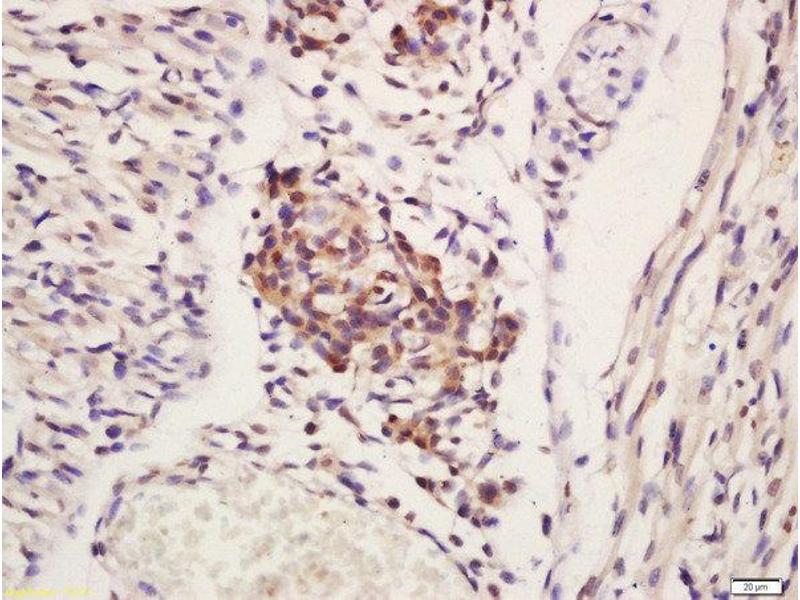
HCLS1 Antikörper (AA 161-260)
Kurzübersicht für HCLS1 Antikörper (AA 161-260) (ABIN709811)
Target
Alle HCLS1 Antikörper anzeigenReaktivität
Wirt
Klonalität
Konjugat
Applikation
-
-
Bindungsspezifität
- AA 161-260
-
Kreuzreaktivität
- Maus
-
Homologie
- Human,Rat,Dog,Cow,Horse,Rabbit
-
Aufreinigung
- Purified by Protein A.
-
Immunogen
- KLH conjugated synthetic peptide derived from human HCLS1
-
Isotyp
- IgG
-
-
-
-
Applikationshinweise
-
WB 1:300-5000
ELISA 1:500-1000
IHC-P 1:200-400
IHC-F 1:100-500
IF(IHC-P) 1:50-200
IF(IHC-F) 1:50-200
IF(ICC) 1:50-200 -
Beschränkungen
- Nur für Forschungszwecke einsetzbar
-
-
-
Format
- Liquid
-
Konzentration
- 1 μg/μL
-
Buffer
- 0.01M TBS( pH 7.4) with 1 % BSA, 0.02 % Proclin300 and 50 % Glycerol.
-
Konservierungsmittel
- ProClin
-
Vorsichtsmaßnahmen
- This product contains ProClin: a POISONOUS AND HAZARDOUS SUBSTANCE, which should be handled by trained staff only.
-
Lagerung
- 4 °C,-20 °C
-
Informationen zur Lagerung
- Shipped at 4°C. Store at -20°C for one year. Avoid repeated freeze/thaw cycles.
-
Haltbarkeit
- 12 months
-
-
- HCLS1 (Hematopoietic Cell-Specific Lyn Substrate 1 (HCLS1))
-
Andere Bezeichnung
- HCLS1
-
Hintergrund
-
Synonyms: HS1, p75, CTTNL, lckBP1, Hematopoietic lineage cell-specific protein, Hematopoietic cell-specific LYN substrate 1, HCLS1
Background: Substrate of the antigen receptor-coupled tyrosine kinase. Plays a role in antigen receptor signaling for both clonal expansion and deletion in lymphoid cells. May also be involved in the regulation of gene expression.
-
Gen-ID
- 3059
-
UniProt
- P14317
-
Pathways
- Fc-epsilon Rezeptor Signalübertragung, EGFR Signaling Pathway, Neurotrophin Signalübertragung, Regulation of Actin Filament Polymerization, Myometrial Relaxation and Contraction, Maintenance of Protein Location
Target
-