HCLS1 Antikörper (AA 266-356)
Kurzübersicht für HCLS1 Antikörper (AA 266-356) (ABIN574265)
Target
Alle HCLS1 Antikörper anzeigenReaktivität
Wirt
Klonalität
Konjugat
Applikation
Klon
-
-
Bindungsspezifität
- AA 266-356
-
Aufreinigung
- Purified from ascites by Protein A
-
Immunogen
-
HCLS1 (AAH16758, 266 a.a. ~ 356 a.a) partial recombinant protein with GST tag. MW of the GST tag alone is 26 KDa.
Type of Immunogen: Recombinant protein -
Isotyp
- IgG1 kappa
-
-
-
-
Applikationshinweise
-
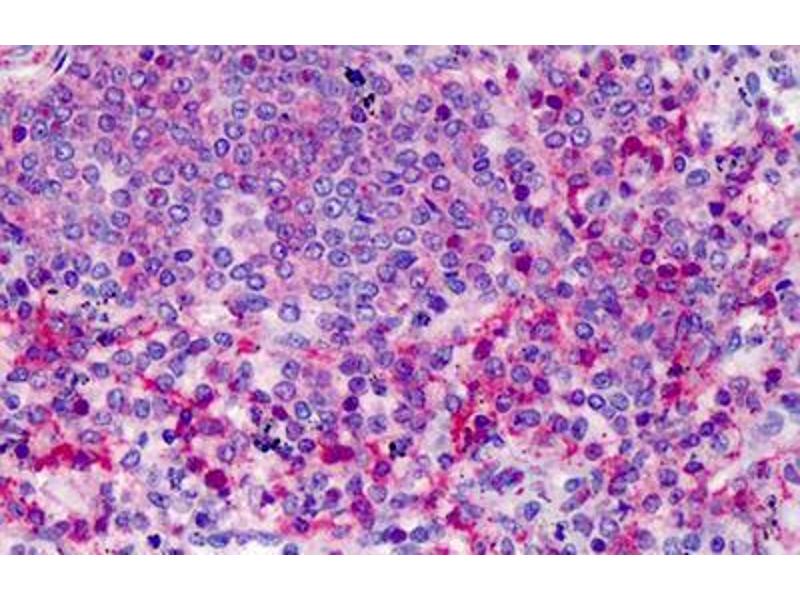
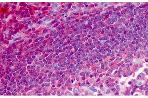
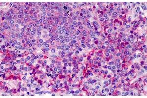
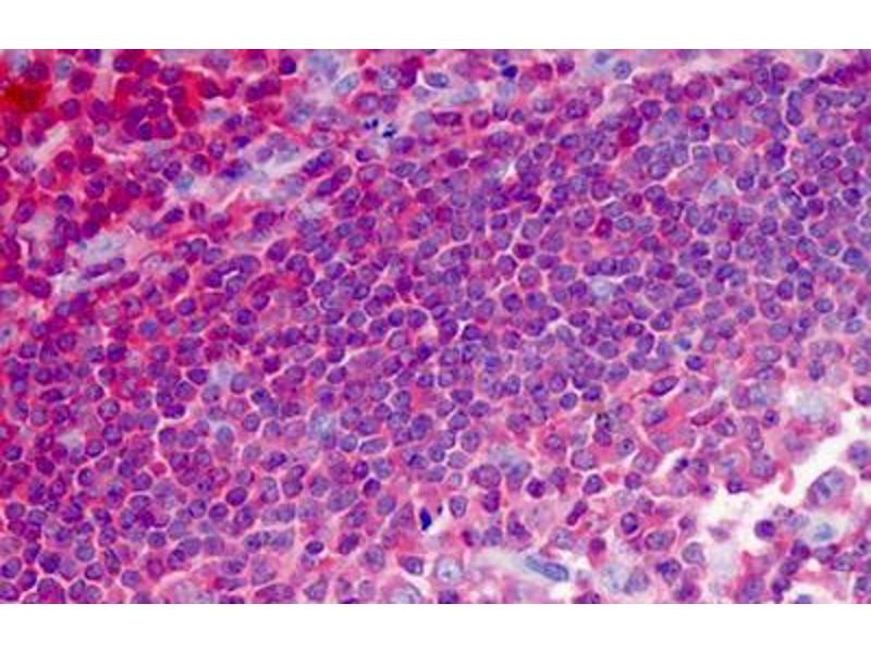
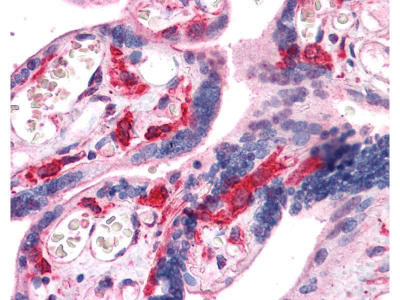
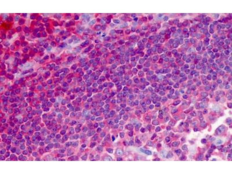
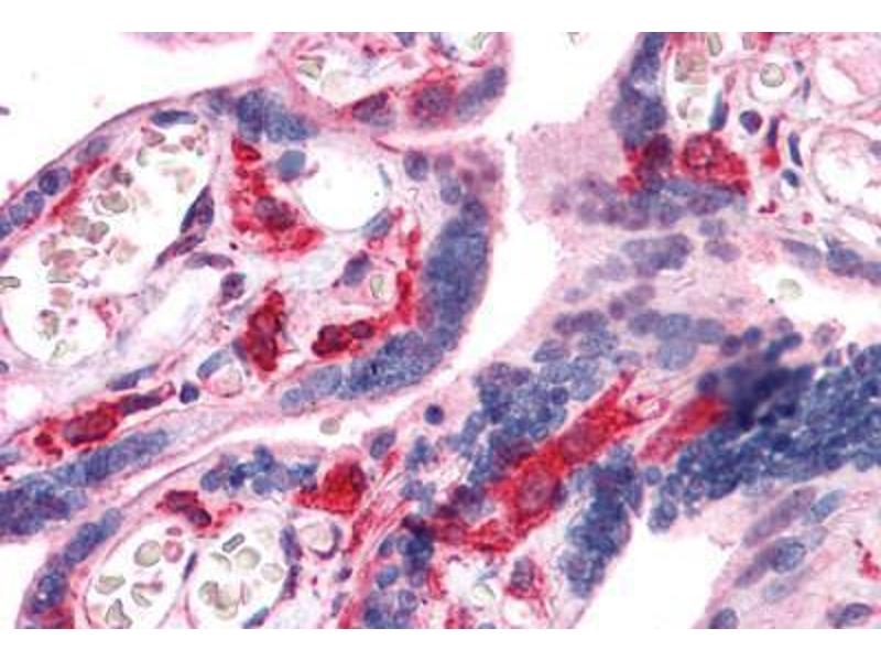
Approved: ELISA, IHC, IHC-P (5 μg/mL), WB
Usage: Western Blot (Cell lysate) - positive control K-562. ELISA (Recombinant protein). -
Kommentare
-
Target Species of Antibody: Human
-
Beschränkungen
- Nur für Forschungszwecke einsetzbar
-
-
-
Format
- Liquid
-
Konzentration
- Lot specific
-
Buffer
- PBS, pH 7.4
-
Handhabung
- Aliquot to Avoid freeze/thaw cycles.
-
Lagerung
- -20 °C
-
Informationen zur Lagerung
- Store at -20°C. Aliquot to avoid freeze/thaw cycles.
-
-
- HCLS1 (Hematopoietic Cell-Specific Lyn Substrate 1 (HCLS1))
-
Andere Bezeichnung
- HCLS1
-
Hintergrund
-
Name/Gene ID: HCLS1
Synonyms: HCLS1, CTTNL, LckBP1, p75, HS1 -
Gen-ID
- 3059
-
UniProt
- P14317
-
Pathways
- Fc-epsilon Rezeptor Signalübertragung, EGFR Signaling Pathway, Neurotrophin Signalübertragung, Regulation of Actin Filament Polymerization, Myometrial Relaxation and Contraction, Maintenance of Protein Location
Target
-