HCLS1 Antikörper (AA 1-280)
Kurzübersicht für HCLS1 Antikörper (AA 1-280) (ABIN3023094)
Target
Alle HCLS1 Antikörper anzeigenReaktivität
Wirt
Klonalität
Konjugat
Applikation
-
-
Bindungsspezifität
- AA 1-280
-
Sequenz
- MWKSVVGHDV SVSVETQGDD WDTDPDFVND ISEKEQRWGA KTIEGSGRTE HINIHQLRNK VSEEHDVLRK KEMESGPKAS HGYGGRFGVE RDRMDKSAVG HEYVAEVEKH SSQTDAAKGF GGKYGVERDR ADKSAVGFDY KGEVEKHTSQ KDYSRGFGGR YGVEKDKWDK AALGYDYKGE TEKHESQRDY AKGFGGQYGI QKDRVDKSAV GFNEMEAPTT AYKKTTPIEA ASSGTRGLKA KFESMAEEKR KREEEEKAQQ VARRQQERKA VTKRSPEAPQ
-
Kreuzreaktivität
- Human, Maus
-
Produktmerkmale
- Polyclonal Antibodies
-
Aufreinigung
- Affinity purification
-
Immunogen
- Recombinant fusion protein containing a sequence corresponding to amino acids 1-280 of human HCLS1 (NP_005326.2).
-
Isotyp
- IgG
-
-
-
-
Applikationshinweise
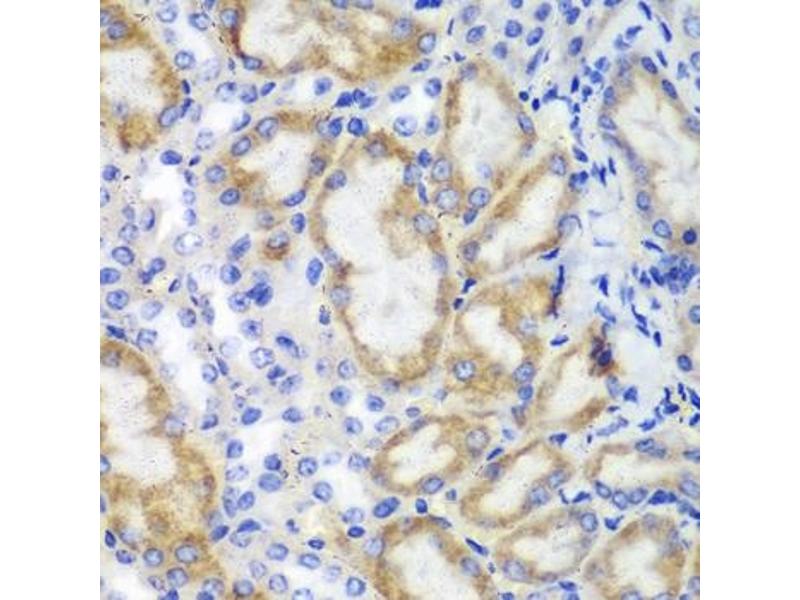
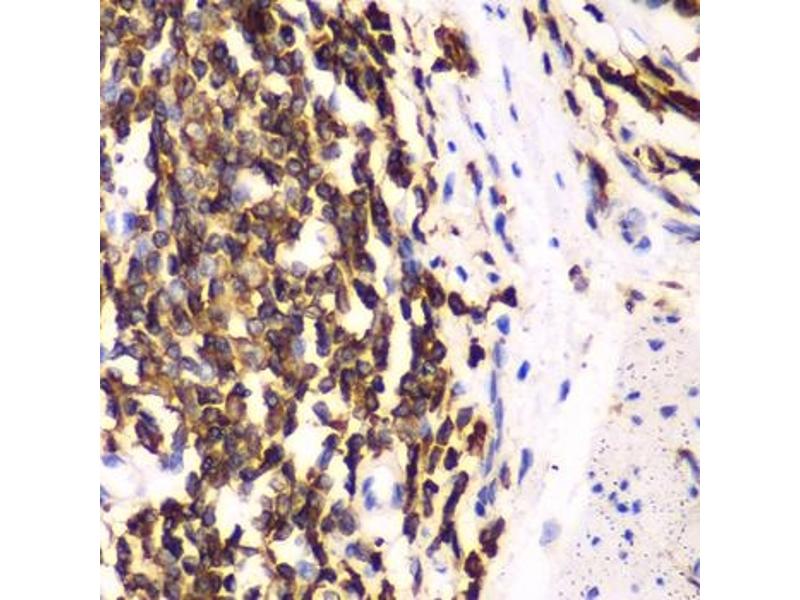
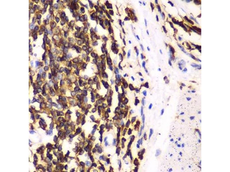
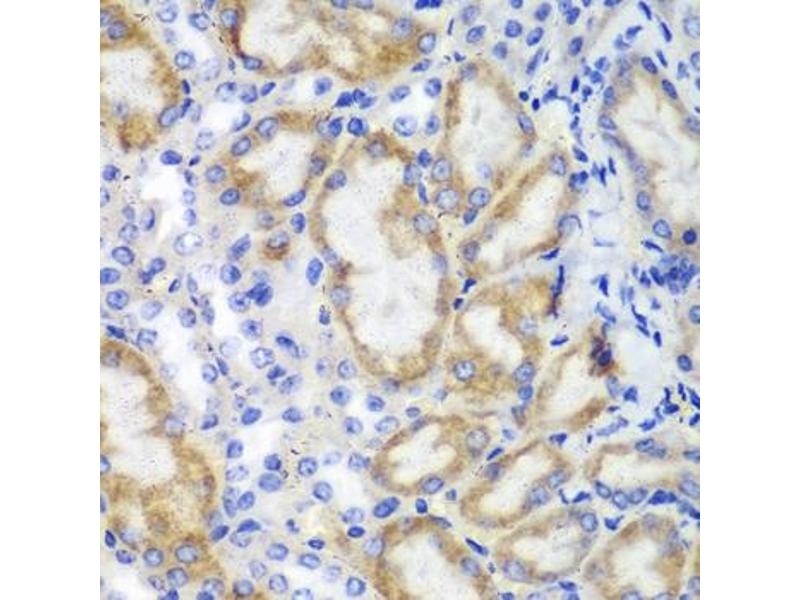
- WB,1:500 - 1:2000,IHC,1:50 - 1:200
-
Beschränkungen
- Nur für Forschungszwecke einsetzbar
-
-
-
Format
- Liquid
-
Buffer
- PBS with 0.02 % sodium azide,50 % glycerol, pH 7.3.
-
Konservierungsmittel
- Sodium azide
-
Vorsichtsmaßnahmen
- This product contains Sodium azide: a POISONOUS AND HAZARDOUS SUBSTANCE which should be handled by trained staff only.
-
Handhabung
- Avoid freeze / thaw cycles
-
Lagerung
- -20 °C
-
Informationen zur Lagerung
- Store at -20°C. Avoid freeze / thaw cycles.
-
-
- HCLS1 (Hematopoietic Cell-Specific Lyn Substrate 1 (HCLS1))
-
Andere Bezeichnung
- HCLS1
-
Hintergrund
- HCLS1 (hematopoietic cell-specific Lyn substrate 1) is a protein-coding gene. Diseases associated with HCLS1 include chronic lymphocytic leukemia. GO annotations related to this gene include protein kinase binding and protein complex binding. An important paralog of this gene is DBN1.,HCLS1,CTTNL,HS1,lckBP1,p75,Signal Transduction,Immunology & Inflammation,B Cell Receptor Signaling Pathway,HCLS1
-
Molekulargewicht
- 24 kDa/54 kDa
-
Gen-ID
- 3059
-
UniProt
- P14317
-
Pathways
- Fc-epsilon Rezeptor Signalübertragung, EGFR Signaling Pathway, Neurotrophin Signalübertragung, Regulation of Actin Filament Polymerization, Myometrial Relaxation and Contraction, Maintenance of Protein Location
Target
-