Telefon:
+49 (0)241 95 163 153
Fax:
+49 (0)241 95 163 155
E-Mail:
orders@antikoerper-online.de

CREB1 Antikörper (pSer129)

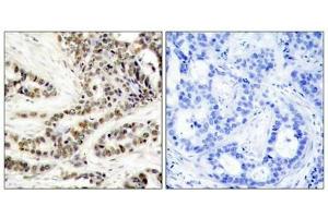
Dieser Kaninchen Polyklonal Antikörper detektiert spezifisch CREB1 in WB, IHC und ELISA. Es zeigt Reaktivität gegenüber Proben von Human.
Produktnummer ABIN7138418
396,00 €
Zzgl. Versandkosten 20,00 € und MwSt
100 μL
Lieferung nach: Deutschland
Lieferung in 11 bis 15 Werktagen

Kurzübersicht für CREB1 Antikörper (pSer129) (ABIN7138418)

Target

Alle CREB1 Antikörper anzeigen
CREB1 (cAMP Responsive Element Binding Protein 1 (CREB1))

Reaktivität

  • 295
  • 229
  • 183
  • 34
  • 25
  • 20
  • 16
  • 15
  • 13
  • 10
  • 10
  • 10
  • 8
  • 5
  • 4
  • 3
  • 1
  • 1
Human

Wirt

  • 267
  • 34
  • 1
  • 1
Kaninchen

Klonalität

  • 222
  • 81
Polyklonal

Konjugat

  • 152
  • 15
  • 10
  • 9
  • 9
  • 8
  • 8
  • 7
  • 7
  • 7
  • 7
  • 5
  • 5
  • 5
  • 5
  • 5
  • 5
  • 5
  • 5
  • 5
  • 5
  • 5
  • 3
  • 3
  • 3
Dieser CREB1 Antikörper ist unkonjugiert

Applikation

  • 252
  • 112
  • 106
  • 91
  • 68
  • 57
  • 56
  • 45
  • 41
  • 39
  • 16
  • 6
  • 3
  • 2
  • 2
  • 2
  • 1
  • 1
  • 1
Western Blotting (WB), Immunohistochemistry (IHC), ELISA
  • Bindungsspezifität

    • 69
    • 28
    • 20
    • 16
    • 16
    • 16
    • 11
    • 8
    • 8
    • 5
    • 4
    • 3
    • 3
    • 3
    • 3
    • 2
    • 2
    • 2
    • 2
    • 2
    • 2
    • 2
    • 2
    • 2
    • 2
    • 2
    • 2
    • 2
    • 1
    • 1
    • 1
    • 1
    • 1
    • 1
    • 1
    • 1
    • 1
    • 1
    • 1
    • 1
    • 1
    • 1
    • 1
    • 1
    • 1
    • 1
    • 1
    • 1
    • 1
    • 1
    pSer129

    Verwendungszweck

    Phospho-CREB1 (Ser129) Antibody

    Kreuzreaktivität

    Maus, Ratte

    Aufreinigung

    Antibodies were produced by immunizing rabbits with synthetic phosphopeptide and KLH conjugates. Antibodies were purified by affinity-chromatography using epitope-specific phosphopeptide. Non-phospho specific antibodies were removed by chromatogramphy usi

    Immunogen

    Peptide sequence around phosphorylation site of serine 129 (I-L-S(p)-R-R) derived from Human CREB.

    Isotyp

    IgG
  • Applikationshinweise

    Optimal working dilution should be determined by the investigator.

    Beschränkungen

    Nur für Forschungszwecke einsetzbar
  • Format

    Liquid

    Buffer

    Supplied at 1.0 mg/mL in phosphate buffered saline (without Mg2+ and Ca2+), pH 7.4, 150 mM NaCl, 0.02 % sodium azide and 50 % glycerol.

    Konservierungsmittel

    Sodium azide

    Vorsichtsmaßnahmen

    This product contains Sodium azide: a POISONOUS AND HAZARDOUS SUBSTANCE which should be handled by trained staff only.

    Lagerung

    -20 °C,-80 °C

    Informationen zur Lagerung

    Upon receipt, store at -20°C or -80°C. Avoid repeated freeze.
  • Target

    CREB1 (cAMP Responsive Element Binding Protein 1 (CREB1))

    Andere Bezeichnung

    CREB1

    Hintergrund

    Background: This protein binds the cAMP response element (CRE), a sequence present in many viral and cellular promoters. CREB stimulates transcription on binding to the CRE. Transcription activation is enhanced by the TORC coactivators which act independently of Ser-133 phosphorylation. Implicated in synchronization of circadian rhythmicity.

    Chrystelle V. Garat, et al. (2006) Mol. Cell. Biol , 26: 4934 - 4948.
    Lilah Rothem,et al. (2004) Mol. Pharmacol , 66: 1536 - 1543.
    Darren R. Tyson, et,al. (2002) Endocrinology, 143: 674.
    Kyung-Woo Park, et al. (2003) Arterioscler. Thromb. Vasc. Biol , 23: 1364.

    Aliases: Active transcription factor CREB antibody, cAMP response element binding protein 1 antibody, cAMP response element binding protein antibody, cAMP responsive element binding protein 1 antibody, cAMP-responsive element-binding protein 1 antibody, CREB antibody, CREB-1 antibody, CREB1 antibody, CREB1_HUMAN antibody, Cyclic AMP-responsive element-binding protein 1 antibody, MGC9284 antibody, OTTHUMP00000163864 antibody, OTTHUMP00000163865 antibody, OTTHUMP00000206660 antibody, OTTHUMP00000206662 antibody, OTTHUMP00000206667 antibody, Transactivator protein antibody

    UniProt

    P16220

    Pathways

    TLR Signalweg, Fc-epsilon Rezeptor Signalübertragung, EGFR Signaling Pathway, Neurotrophin Signalübertragung, Thyroid Hormone Synthesis, Activation of Innate immune Response, Myometrial Relaxation and Contraction, Regulation of Cell Size, Toll-Like Receptors Cascades, G-protein mediated Events, Interaction of EGFR with phospholipase C-gamma, Positive Regulation of fat Cell Differentiation
Sie sind hier:
Chat with us!