Telefon:
+49 (0)241 95 163 153
Fax:
+49 (0)241 95 163 155
E-Mail:
orders@antikoerper-online.de

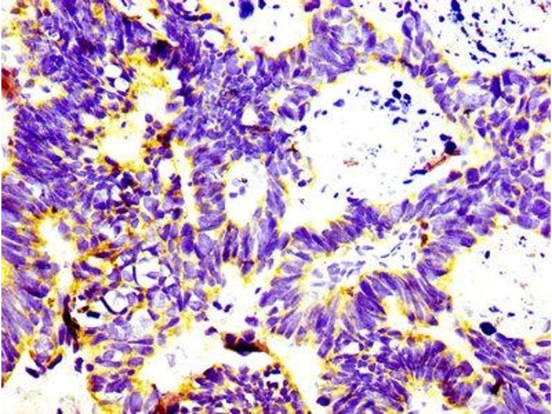
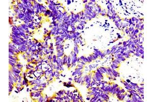
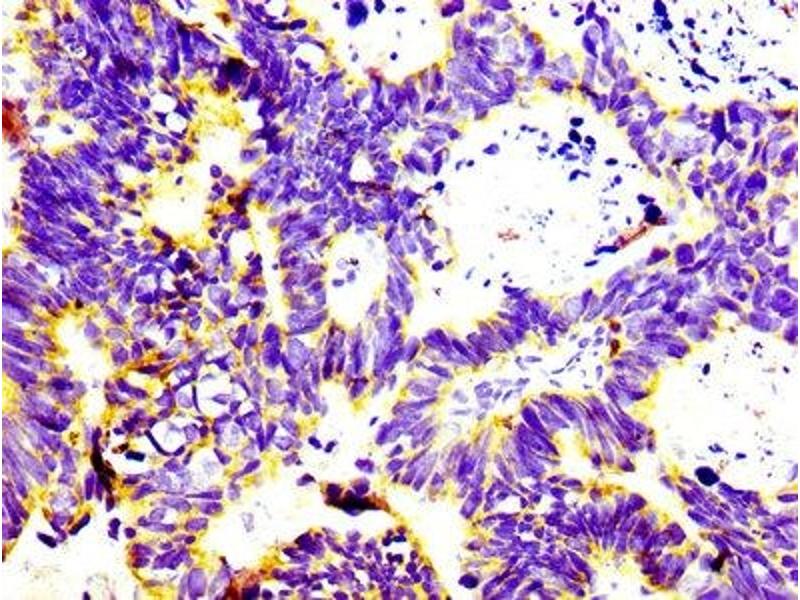
Rekombinanter CD74 Antikörper

Der Kaninchen Monoklonal anti-CD74 Antikörper wird verwendet zum Nachweis von CD74 in Proben von Human. Er wurde validiert für FACS, IHC und ELISA.
Produktnummer ABIN7127283
385,00 €
Zzgl. Versandkosten 20,00 € und MwSt
Lieferung nach: Deutschland
Lieferung in 11 bis 15 Werktagen

Kurzübersicht für Rekombinanter CD74 Antikörper (ABIN7127283)

Target

Alle CD74 Antikörper anzeigen
CD74 (HLA-DR-gamma (CD74))

Antikörpertyp

Recombinant Antibody

Reaktivität

  • 227
  • 79
  • 21
  • 14
Human

Wirt

  • 131
  • 108
  • 11
  • 4
  • 2
Kaninchen

Klonalität

  • 176
  • 74
  • 4
Monoklonal

Konjugat

  • 90
  • 18
  • 18
  • 12
  • 9
  • 8
  • 6
  • 5
  • 5
  • 5
  • 5
  • 5
  • 5
  • 5
  • 4
  • 4
  • 3
  • 3
  • 3
  • 3
  • 3
  • 3
  • 3
  • 2
  • 2
  • 2
  • 2
  • 2
  • 2
  • 2
  • 2
  • 2
  • 2
  • 2
  • 1
  • 1
  • 1
  • 1
  • 1
  • 1
  • 1
Dieser CD74 Antikörper ist unkonjugiert

Applikation

  • 150
  • 139
  • 87
  • 63
  • 41
  • 37
  • 33
  • 28
  • 16
  • 13
  • 13
  • 11
  • 11
  • 11
  • 5
  • 2
  • 2
  • 2
  • 1
  • 1
  • 1
  • 1
  • 1
Flow Cytometry (FACS), Immunohistochemistry (IHC), ELISA

Klon

8H11
  • Verwendungszweck

    CD74 Recombinant Monoclonal Antibody

    Aufreinigung

    Affinity-chromatography

    Immunogen

    A synthesized peptide

    Isotyp

    IgG
  • Applikationshinweise

    IHC:1:50-1:500

    Beschränkungen

    Nur für Forschungszwecke einsetzbar
  • Format

    Liquid

    Buffer

    phosphate buffered saline, pH 7.4, 150 mM NaCl, 0.02 % sodium azide and 50 % glycerol.

    Konservierungsmittel

    Sodium azide

    Vorsichtsmaßnahmen

    This product contains Sodium azide: a POISONOUS AND HAZARDOUS SUBSTANCE which should be handled by trained staff only.

    Lagerung

    -20 °C,-80 °C

    Informationen zur Lagerung

    Upon receipt, store at -20°C or -80°C. Avoid repeated freeze.
  • Target

    CD74 (HLA-DR-gamma (CD74))

    Andere Bezeichnung

    CD74

    Hintergrund

    Background: Plays a critical role in MHC class II antigen processing by stabilizing peptide-free class II alpha/beta heterodimers in a complex soon after their synthesis and directing transport of the complex from the endoplasmic reticulum to the endosomal/lysosomal system where the antigen processing and binding of antigenic peptides to MHC class II takes place. Serves as cell surface receptor for the cytokine MIF.

    Aliases: HLA class II histocompatibility antigen gamma chain, HLA-DR antigens-associated invariant chain, Ia antigen-associated invariant chain, Ii, p33, CD74, CD74, DHLAG

    UniProt

    P04233

    Pathways

    Positive Regulation of Immune Effector Process, Production of Molecular Mediator of Immune Response, Negative Regulation of intrinsic apoptotic Signaling, Cancer Immune Checkpoints
Sie sind hier:
Chat with us!