Telefon:
+49 (0)241 95 163 153
Fax:
+49 (0)241 95 163 155
E-Mail:
orders@antikoerper-online.de

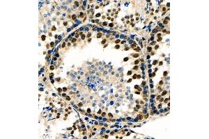
RNF7 Antikörper

Der Kaninchen Polyklonal anti-RNF7 Antikörper (ABIN7075471) detektiert spezifisch RNF7 in IHC und IF. Dieser Antikörper reagiert spezifisch mit Proben aus Human, Maus und Ratte.
Produktnummer ABIN7075471
592,31 €
Zzgl. Versandkosten 20,00 € und MwSt
100 μL
Lieferung nach: Deutschland
Lieferung in 13 bis 20 Werktagen

Kurzübersicht für RNF7 Antikörper (ABIN7075471)

Target

Alle RNF7 Antikörper anzeigen
RNF7 (Ring Finger Protein 7 (RNF7))

Reaktivität

Human, Maus, Ratte

Wirt

  • 34
  • 1
Kaninchen

Klonalität

  • 23
  • 12
Polyklonal

Konjugat

  • 13
  • 4
  • 2
  • 2
  • 2
  • 2
  • 2
  • 2
  • 2
  • 2
  • 1
  • 1
Dieser RNF7 Antikörper ist unkonjugiert

Applikation

  • 23
  • 15
  • 14
  • 10
  • 10
  • 1
  • 1
  • 1
Immunohistochemistry (IHC), Immunofluorescence (IF)
  • Kreuzreaktivität

    Human, Ratte

    Aufreinigung

    Affinity purification

    Immunogen

    KLH conjugated Synthetic peptide corresponding to Mouse RNF7
  • Applikationshinweise

    IHC/IF (H,M,R) 1:500-1:2000/1:500-1:3000

    Beschränkungen

    Nur für Forschungszwecke einsetzbar
  • Format

    Liquid

    Buffer

    PBS, pH 7.4, 0.02 % sodium azide

    Konservierungsmittel

    Sodium azide

    Vorsichtsmaßnahmen

    This product contains Sodium azide: a POISONOUS AND HAZARDOUS SUBSTANCE which should be handled by trained staff only.

    Lagerung

    -20 °C
  • Target

    RNF7 (Ring Finger Protein 7 (RNF7))

    Andere Bezeichnung

    RNF7

    Hintergrund

    The RNF7 is probable a component of the SCF (SKP1-CUL1-F-box protein) E3 ubiquitin ligase complex which mediates the ubiquitination and subsequent proteasomal degradation of target proteins involved in cell cycle progression, signal transduction and transcription. Through the RING-type zinc finger, seems to recruit the E2 ubiquitination enzyme to the complex and brings it into close proximity to the substrate. Promotes the neddylation of CUL5 via its interaction with UBE2F. May play a role in protecting cells from apoptosis induced by redox agents.

    Gen-ID

    19823

    NCBI Accession

    NP_001298064

    UniProt

    Q9WTZ1

    Pathways

    Positive Regulation of Endopeptidase Activity
Sie sind hier:
Chat with us!