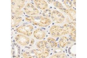
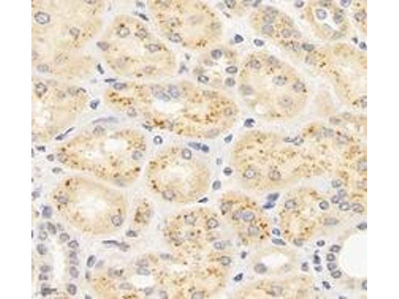
Der Kaninchen Polyklonal anti-MAP3K12 Antikörper (ABIN7074679) detektiert spezifisch MAP3K12 in IHC und IF.
Dieser Antikörper reagiert spezifisch mit Proben aus Human.
MAP3K12
Reaktivität: Human
ELISA
Wirt: Kaninchen
Polyclonal
unconjugated
Applikationshinweise
IHC/IF (H) 1:200-1:400
Beschränkungen
Nur für Forschungszwecke einsetzbar
Format
Liquid
Buffer
PBS, pH 7.4, 0.02 % sodium azide
Konservierungsmittel
Sodium azide
Vorsichtsmaßnahmen
This product contains Sodium azide: a POISONOUS AND HAZARDOUS SUBSTANCE which should be handled by trained staff only.
Lagerung
-20 °C
Target
MAP3K12
(Mitogen-Activated Protein Kinase Kinase Kinase 12 (MAP3K12))
Andere Bezeichnung
MAP3K12
Hintergrund
This gene encodes a member of the serine/threonine protein kinase family. This kinase contains a leucine-zipper domain and is predominately expressed in neuronal cells. The phosphorylation state of this kinase in synaptic terminals was shown to be regulated by membrane depolarization via calcineurin. This kinase forms heterodimers with leucine zipper containing transcription factors, such as cAMP responsive element binding protein (CREB) and MYC, and thus may play a regulatory role in PKA or retinoic acid induced neuronal differentiation. Alternatively spliced transcript variants encoding different proteins have been described.