Telefon:
+49 (0)241 95 163 153
Fax:
+49 (0)241 95 163 155
E-Mail:
orders@antikoerper-online.de

SOCS6 Antikörper

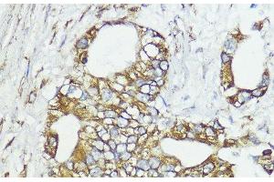
Dieser Kaninchen Polyklonal Antikörper detektiert spezifisch SOCS6 in IHC. Es zeigt Reaktivität gegenüber Proben von Human und Maus.
Produktnummer ABIN7264978
580,00 €
Zzgl. Versandkosten 20,00 € und MwSt
Lieferung nach: Deutschland
Lieferung in 9 bis 13 Werktagen

Kurzübersicht für SOCS6 Antikörper (ABIN7264978)

Target

Alle SOCS6 Antikörper anzeigen
SOCS6 (Suppressor of Cytokine Signaling 6 (SOCS6))

Reaktivität

  • 28
  • 25
  • 15
  • 1
Human, Maus

Wirt

  • 40
  • 3
Kaninchen

Klonalität

  • 42
  • 1
Polyklonal

Konjugat

  • 17
  • 3
  • 2
  • 2
  • 1
  • 1
  • 1
  • 1
  • 1
  • 1
  • 1
  • 1
  • 1
  • 1
  • 1
  • 1
  • 1
  • 1
  • 1
  • 1
  • 1
  • 1
  • 1
Dieser SOCS6 Antikörper ist unkonjugiert

Applikation

  • 34
  • 15
  • 14
  • 13
  • 13
  • 4
  • 3
  • 1
  • 1
  • 1
Immunohistochemistry (IHC)
Sie sind hier:
Chat with us!